抗体メーカーの現場から生まれた、視認性抜群の分子量マーカー

鮮明な着色バンドで転写効率を目視可能。そのままロードできて、3つのレンジ(3 kDa~310 kDaまで対応)から選べます


SDS-PAGEやウェスタンブロット(WB:Western blot)において、分子量の確認は単なる通過点ではありません。

プロテインテックの「プレステインド分子量マーカー(ラダー)」は、鮮明な3色の色分けにより、泳動状況のモニタリングからメンブレンへの転写効率の確認まで、目視での確実な評価を可能にします。

 

プレステインドタンパク質マーカーの選択ガイド

実験の目的や、ターゲットタンパク質の分子量に合わせて最適なレンジ(分子量範囲)をお選びください。

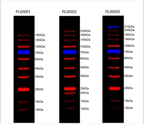
  レギュラーレンジ ブロードレンジ エクストラレンジ
分子量範囲 10 kDa~180 kDa 3 kDa~245 kDa 10 kDa~310 kDa
マーカー数 10点 13点 12点
泳動例 プロテインテックのレギュラーレンジプレステインド分子量マーカーのゲル上でのバンドパターン比較。分子量と赤・緑・青の3色の色分けを示した図 プロテインテックのブロードレンジプレステインド分子量マーカーのゲル上でのバンドパターン比較。分子量と赤・緑・青の3色の色分けを示した図 プロテインテックのエクストラレンジプレステインド分子量マーカーのゲル上でのバンドパターン比較。分子量と赤・緑・青の3色の色分けを示した図
カタログ番号 PL00001 PL00002 PL00003
包装 100 μL/2x250 μL/10x250 μL
こんな方に最適 標準的なサイズの解析に 低~高分子量の範囲まで幅広く さらに高分子の範囲までの確認に

 

プレステインドタンパク質マーカーとは?

ポリアクリルアミドゲル電気泳動(SDS-PAGE)やウェスタンブロット(WB)における、タンパク質のサイズ確認に最適な着色済み("プレステインド"の)分子量マーカーです。

プロテインテックの「プレステインドタンパク質マーカー(Regular/Broad/Extra Range)」は、抗体製品の品質管理(QC)において、日々膨大な数のWB検証を実施しているプロテインテックが現場の声を反映して開発しました。「使いやすさ」に直結する分子量範囲とバンドの視認性にこだわり、世界中で高い評価を獲得しているベストセラー商品です。

  1. 一目でサイズを特定。計算不要のカラーコード
    全てのレンジにおいて、基準となるバンドに明瞭な色分けを採用しました。
    リファレンスバンドの配置:25 kDa(緑色)および75 kDa(赤色)を配置。
    瞬時の把握:電気泳動中や転写後のメンブレン上で、位置関係を即座に把握できます。
    正確な目印:多重プロービング時のメンブレン切断の目印としても非常に有用です。
    ※ エクストラレンジ(カタログ番号:PL00003)では、310 kDaも赤色のリファレンスバンドです。

  2. 蛍光イメージャー対応。デジタル解析をよりスマートに
    各ラダータンパク質には蛍光色素が含まれており、可視光だけでなく蛍光観察も可能です。
    同時撮像:ChemiDoc™等の蛍光イメージャーで、サンプルと同時にマーカーを鮮明に撮像できます。
    多重染色をサポート:蛍光ウェスタンブロットの際も、チャンネルを妨げず正確なサイズ判定が可能です。

  3. 加熱・希釈・還元剤は一切不要。Ready-to-useの利便性
    貴重なサンプルを扱う研究者の手を止めないよう、徹底した使いやすさを追求しました。
    そのままロード可能:ゲルローディングバッファー中に保存されているため、取り出して軽く混ぜるだけでロードできます。
    加熱不要で時間短縮:「加熱不要」のため準備時間を短縮し、熱によるサンプルの劣化リスクも排除します。
    ※ 保存期間:冷蔵(4℃)で12週間、冷凍(-20℃)で1年間。

  4. 鮮明なバンドと高い転写効率
    ユーザーレビューで最も高く評価されているのが、その「鮮明さ」です。
    シャープなバンド:ゲルの種類を問わず、拡散の少ないシャープなバンドを提供します。
    実験成否を早期判定:PVDF膜やニトロセルロース膜への転写効率も目視で容易に確認でき、実験の成否を早い段階で判定できます。

 

蛍光ウェスタンブロット対応。デジタル解析をさらに正確、スムーズに。

可視光での観察はもちろん、蛍光イメージャーを用いた検出にも適合します。全てのレンジ(Regular/Broad/Extra Range)のラダータンパク質に蛍光色素が含まれているため、メンブレン上のターゲットタンパク質と同時にサイズを確認できます

多重染色の精度向上:複数のチャンネルを使用する蛍光WBにおいて、正確なサイズ判定を強力にサポートします。

デジタル撮像に最適化:550 nm(青色バンド)および 680 nm(赤色バンド)のフィルターに対応し、鮮明なデジタルデータを取得可能です
※装置:Bio-Rad社 ChemiDoc™ MP Imaging System等

蛍光イメージャーで撮像したプレステインド分子量マーカー。可視光だけでなく、蛍光チャンネルでもシャープで鮮明なバンドが検出されている様子

 

転写効率の確認から、抗体反応まで。あなたのWBを1/6の時間へ

プレステインド分子量マーカー × Blotting Acceleratorで実現する最短ワークフロー

3色の分子量マーカーがメンブレン上に現れたら、それはSDS-PAGEと転写が成功した証です。

後続のステップにおいて「Blotting Accelerator(カタログ番号:PR20039)」を併用することで、従来のWB実験の「その後」に待ち受ける「長い待ち時間」を劇的に短縮できます。

併用が生み出す3つの利点

✓ ブロッキング工程を原則不要に:ラダーで転写を確認後、ブロッキングをスキップして即座に抗体反応へ移行できます。

✓ WB完了までわずか40分:独自の反応促進組成により、抗体反応から洗浄までを約40分で完結。従来の約1/6の時間で画像解析が可能です。

✓ 低バックグラウンドを実現:特殊な不活性タンパク質が非特異結合を抑制。低発現ターゲットでも鮮明なバンドを検出します。

従来のウェスタンブロット工程とBlotting Acceleratorを使用した最短ワークフローの比較図。ブロッキング工程をスキップし、WB完了までを約40分に短縮する流れの解説 一般的な5%スキムミルクとBlotting Acceleratorを使用したウェスタンブロットの結果比較。短時間反応でも非特異結合が抑えられ、ターゲットタンパク質が鮮明に検出されているデータ。

 

期間限定:発売記念!40%OFFキャンペーン

新しい最速ワークフローを、今だけの特別価格でご体験いただけます。

  • キャンペーン期間:2026年4月1日(水)〜2026年6月30日(火)

  • キャンペーン特別価格:

    • 100 mL(WB回数目安:5~10回):希望販売価格 ¥11,000 ¥6,600

    • 500 mL(WB回数目安:25~50回):希望販売価格 ¥31,000 →  ¥18,600

  • 詳細URL:https://www.ptglab.co.jp/promotions/ba40off-2026/

||
New chat

Able

正在加载,请稍候...