Validation Data Gallery
Tested Applications
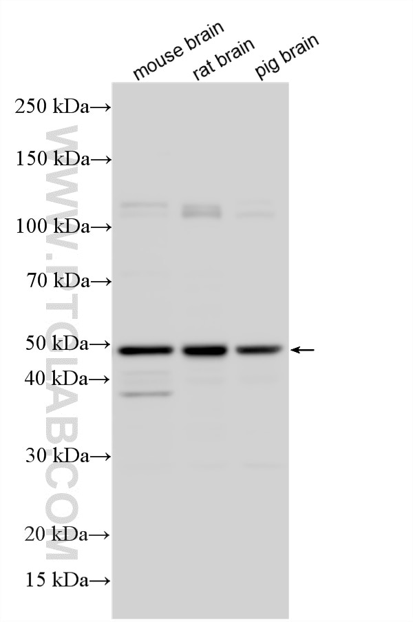
| Positive WB detected in | mouse brain tissue, C6 cells, HEK-293 cells, mouse liver tissue, PC-12 cells, rat brain tissue, pig brain tissue | 
| Positive IHC detected in | mouse kidney tissue Note: suggested antigen retrieval with TE buffer pH 9.0; (*) Alternatively, antigen retrieval may be performed with citrate buffer pH 6.0  | 
| Positive IF-P detected in | mouse heart tissue, mouse brain tissue | 
| Positive IF/ICC detected in | RAW 264.7 cells | 
Recommended dilution
| Application | Dilution | 
|---|---|
| Western Blot (WB) | WB : 1:1000-1:8000 | 
| Immunohistochemistry (IHC) | IHC : 1:50-1:500 | 
| Immunofluorescence (IF)-P | IF-P : 1:50-1:500 | 
| Immunofluorescence (IF)/ICC | IF/ICC : 1:200-1:800 | 
| It is recommended that this reagent should be titrated in each testing system to obtain optimal results. | |
| Sample-dependent, Check data in validation data gallery. | |
Published Applications
| KD/KO | See 12 publications below | 
| WB | See 350 publications below | 
| IHC | See 41 publications below | 
| IF | See 85 publications below | 
| IP | See 5 publications below | 
| CoIP | See 6 publications below | 
Product Information
14060-1-AP targets PARK2/Parkin in WB, IHC, IF/ICC, IF-P, IP, CoIP, ELISA applications and shows reactivity with human, mouse, rat, pig samples.
| Tested Reactivity | human, mouse, rat, pig | 
| Cited Reactivity | human, mouse, rat, pig, rabbit, monkey, chicken, bovine, cattle, ducks | 
| Host / Isotype | Rabbit / IgG | 
| Class | Polyclonal | 
| Type | Antibody | 
| Immunogen | 
                                             CatNo: Ag5092 Product name: Recombinant human Parkin protein Source: e coli.-derived, PGEX-4T Tag: GST Domain: 81-387 aa of BC022014 Sequence: NATGGDDPRNAAGGCEREPQSLTRVDLSSSVLPGDSVGLAVILHTDSRKDSPPAGSPAGRSIYNSFYVYCKGPCQRVQPGKLRVQCSTCRQATLTLTQGPSCWDDVLIPNRMSGECQSPHCPGTSAEFFFKCGAHPTSDKETSVALHLIATNSRNITCITCTDVRSPVLVFQCNSRHVICLDCFHLYCVTRLNDRQFVHDPQLGYSLPCVGTGDTVVLRGALGGFRRGVAGCPNSLIKELHHFRILGEEQYNRYQQYGAEECVLQMGGVLCPRPGCGAGLLPEPDQRKVTCEGGNGLGCGYGQRRTK 相同性解析による交差性が予測される生物種 | 
                                    
| Full Name | Parkinson disease (autosomal recessive, juvenile) 2, parkin | 
| Calculated molecular weight | 52 kDa | 
| Observed molecular weight | 42-52 kDa | 
| GenBank accession number | BC022014 | 
| Gene Symbol | Parkin | 
| Gene ID (NCBI) | 5071 | 
| RRID | AB_2878005 | 
| Conjugate | Unconjugated | 
| Form | |
| Form | Liquid | 
| Purification Method | Antigen affinity purification | 
| UNIPROT ID | O60260 | 
| Storage Buffer | PBS with 0.02% sodium azide and 50% glycerol{{ptg:BufferTemp}}7.3 | 
| Storage Conditions | Store at -20°C. Stable for one year after shipment. Aliquoting is unnecessary for -20oC storage. | 
Background Information
Parkin, a RING-type E3 ubiquitin-protein ligase, is involved in the ubiquitination pathway and contributes to protection from neurotoxicity induced by unfolded protein stresses. Its ubiquitin-protein ligase activity promotes the degradation of a variety of proteins including itself. Mutations in Parkin are implicated in the pathogenesis of autosomal recessive familial Parkinson's disease. It has 8 isoforms produced by alternative splicing with molecular weights of 24, 31, 36 and 42-52 kDa. Sometimes an additional band of 70 kDa or 110 kDa may be detected, which is caused by ubiquitination modification or formation of Parkin complex (PMID: 10976934, PMID: 18190519).
Protocols
| Product Specific Protocols | |
|---|---|
| IHC protocol for PARK2/Parkin antibody 14060-1-AP | Download protocol | 
| WB protocol for PARK2/Parkin antibody 14060-1-AP | Download protocol | 
| IF protocol for PARK2/Parkin antibody 14060-1-AP | Download protocol | 
| Standard Protocols | |
|---|---|
| Click here to view our Standard Protocols | 
Publications
| Species | Application | Title | 
|---|---|---|
Nat Cell Biol Ammonia-induced lysosomal and mitochondrial damage causes cell death of effector CD8+ T cells | ||
Nat Commun Augmented temperature fluctuation aggravates muscular atrophy through the gut microbiota | ||
Acta Pharm Sin B Histone deacetylase inhibitors inhibit cervical cancer growth through Parkin acetylation-mediated mitophagy. | ||
Acta Pharm Sin B Engineering cannabidiol synergistic carbon monoxide nanocomplexes to enhance cancer therapy via excessive autophagy | ||
Autophagy Increased mitochondrial fission promotes autophagy and hepatocellular carcinoma cell survival through the ROS-modulated coordinated regulation of the NFKB and TP53 pathways. | 








