Validation Data Gallery
Tested Applications
Recommended dilution
| Application | Dilution |
|---|---|
| It is recommended that this reagent should be titrated in each testing system to obtain optimal results. | |
Product Information
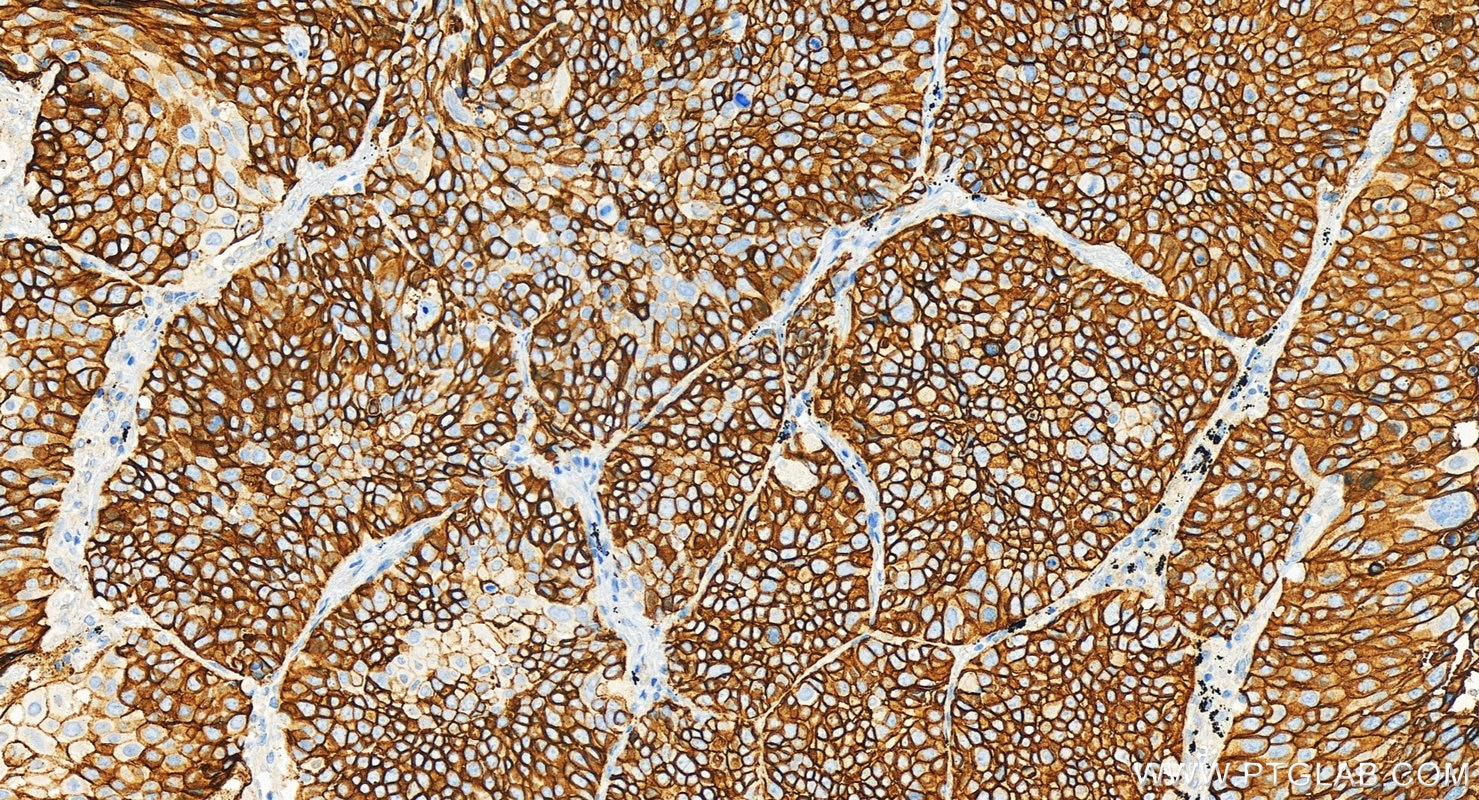
67056-1-PBS targets Tissue Factor/CD142 in WB, IHC, Indirect ELISA applications and shows reactivity with human samples.
| Tested Reactivity | human |
| Host / Isotype | Mouse / IgG1 |
| Class | Monoclonal |
| Type | Antibody |
| Immunogen |
CatNo: Ag27563 Product name: Recombinant human F3 protein Source: e coli.-derived, PET28a Tag: 6*His Domain: 113-251 aa of BC011029 Sequence: GNVESTGSAGEPLYENSPEFTPYLETNLGQPTIQSFEQVGTKVNVTVEDERTLVRRNNTFLSLRDVFGKDLIYTLYYWKSSSSGKKTAKTNTNEFLIDVDKGENYCFSVQAVIPSRTVNRKSTDSPVECMGQEKGEFRE 相同性解析による交差性が予測される生物種 |
| Full Name | coagulation factor III (thromboplastin, tissue factor) |
| Calculated molecular weight | 295 aa, 33 kDa |
| Observed molecular weight | 45-50 kDa |
| GenBank accession number | BC011029 |
| Gene Symbol | F3 |
| Gene ID (NCBI) | 2152 |
| RRID | AB_2882367 |
| Conjugate | Unconjugated |
| Form | |
| Form | Liquid |
| Purification Method | Protein G purification |
| UNIPROT ID | P13726 |
| Storage Buffer | PBS only{{ptg:BufferTemp}}7.3 |
| Storage Conditions | Store at -80°C. |


