Validation Data Gallery
Tested Applications
| Positive WB detected in | HeLa cells, HepG2 cells, Jurkat cells, K-562 cells, MCF-7 cells, NIH/3T3 cells, C6 cells |
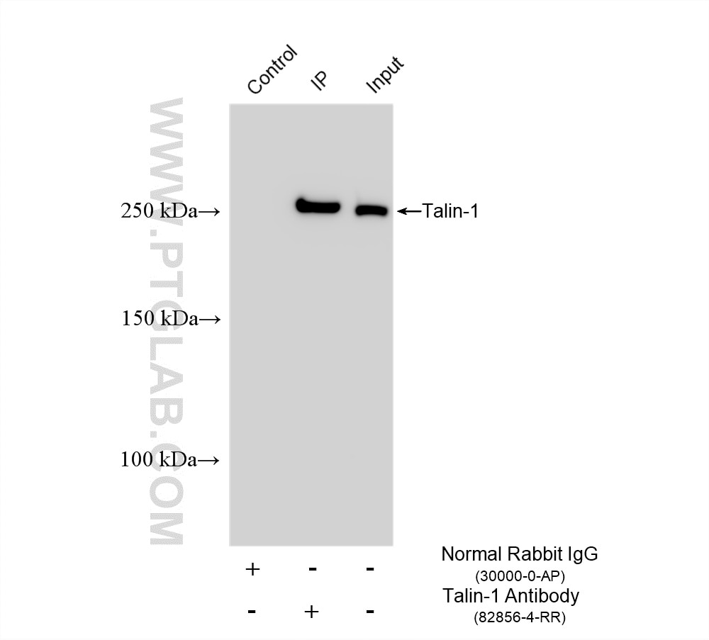
| Positive IP detected in | HeLa cells |
| Positive IHC detected in | human colon tissue, mouse colon tissue Note: suggested antigen retrieval with TE buffer pH 9.0; (*) Alternatively, antigen retrieval may be performed with citrate buffer pH 6.0 |
| Positive IF/ICC detected in | A549 cells, HUVEC cells |
Recommended dilution
| Application | Dilution |
|---|---|
| Western Blot (WB) | WB : 1:5000-1:50000 |
| Immunoprecipitation (IP) | IP : 0.5-4.0 ug for 1.0-3.0 mg of total protein lysate |
| Immunohistochemistry (IHC) | IHC : 1:1000-1:4000 |
| Immunofluorescence (IF)/ICC | IF/ICC : 1:500-1:2000 |
| It is recommended that this reagent should be titrated in each testing system to obtain optimal results. | |
| Sample-dependent, Check data in validation data gallery. | |
Product Information
82856-4-RR targets Talin-1 in WB, IHC, IF/ICC, IP, ELISA applications and shows reactivity with human, mouse, rat samples.
| Tested Reactivity | human, mouse, rat |
| Host / Isotype | Rabbit / IgG |
| Class | Recombinant |
| Type | Antibody |
| Immunogen |
CatNo: Ag5367 Product name: Recombinant human TLN1 protein Source: e coli.-derived, PGEX-4T Tag: GST Domain: 2193-2541 aa of BC042923 Sequence: GNSCRQEDVIATANLSRRAIADMLRACKEAAYHPEVAPDVRLRALHYGRECANGYLELLDHVLLTLQKPSPELKQQLTGHSKRVAGSVTELIQAAEAMKGTEWVDPEDPTVIAENELLGAAAAIEAAAKKLEQLKPRAKPKEADESLNFEEQILEAAKSIAAATSALVKAASAAQRELVAQGKVGAIPANALDDGQWSQGLISAARMVAAATNNLCEAANAAVQGHASQEKLISSAKQVAASTAQLLVACKVKADQDSEAMKRLQAAGNAVKRASDNLVKAAQKAAAFEEQENETVVVKEKMVGGIAQIIAAQEEMLRKERELEEARKKLAQIRQQQYKFLPSELRDEH 相同性解析による交差性が予測される生物種 |
| Full Name | talin 1 |
| Calculated molecular weight | 2541 aa, 270 kDa |
| Observed molecular weight | 270 kDa |
| GenBank accession number | BC042923 |
| Gene Symbol | Talin-1 |
| Gene ID (NCBI) | 7094 |
| RRID | AB_3086557 |
| Conjugate | Unconjugated |
| Form | |
| Form | Liquid |
| Purification Method | Protein A purification |
| UNIPROT ID | Q9Y490 |
| Storage Buffer | PBS with 0.02% sodium azide and 50% glycerol{{ptg:BufferTemp}}7.3 |
| Storage Conditions | Store at -20°C. Stable for one year after shipment. Aliquoting is unnecessary for -20oC storage. |
Background Information
Talin-1 is a large cytoskeletal protein consisting of a globular head domain and a long rod comprised of a series of α-helical bundles (PMID: 35266014). Talin-1 is ubiquitously expressed and is a major component of focal adhesions which are multi-protein, integrin-containing complexes, mediating cell migration, adhesion and integrin signalling (PMID: 33431906). Talin-1 also plays a role in tumor formation, migration and metastasis in various malignancies (PMID: 37013489).
Protocols
| Product Specific Protocols | |
|---|---|
| IF protocol for Talin-1 antibody 82856-4-RR | Download protocol |
| IHC protocol for Talin-1 antibody 82856-4-RR | Download protocol |
| IP protocol for Talin-1 antibody 82856-4-RR | Download protocol |
| WB protocol for Talin-1 antibody 82856-4-RR | Download protocol |
| Standard Protocols | |
|---|---|
| Click here to view our Standard Protocols |











