Validation Data Gallery
Tested Applications
| Positive WB detected in | K-562 cells, HepG2 cells, HeLa cells, HEK-293 cells, A431 cells, Jurkat cells |
| Positive IP detected in | HeLa cells |
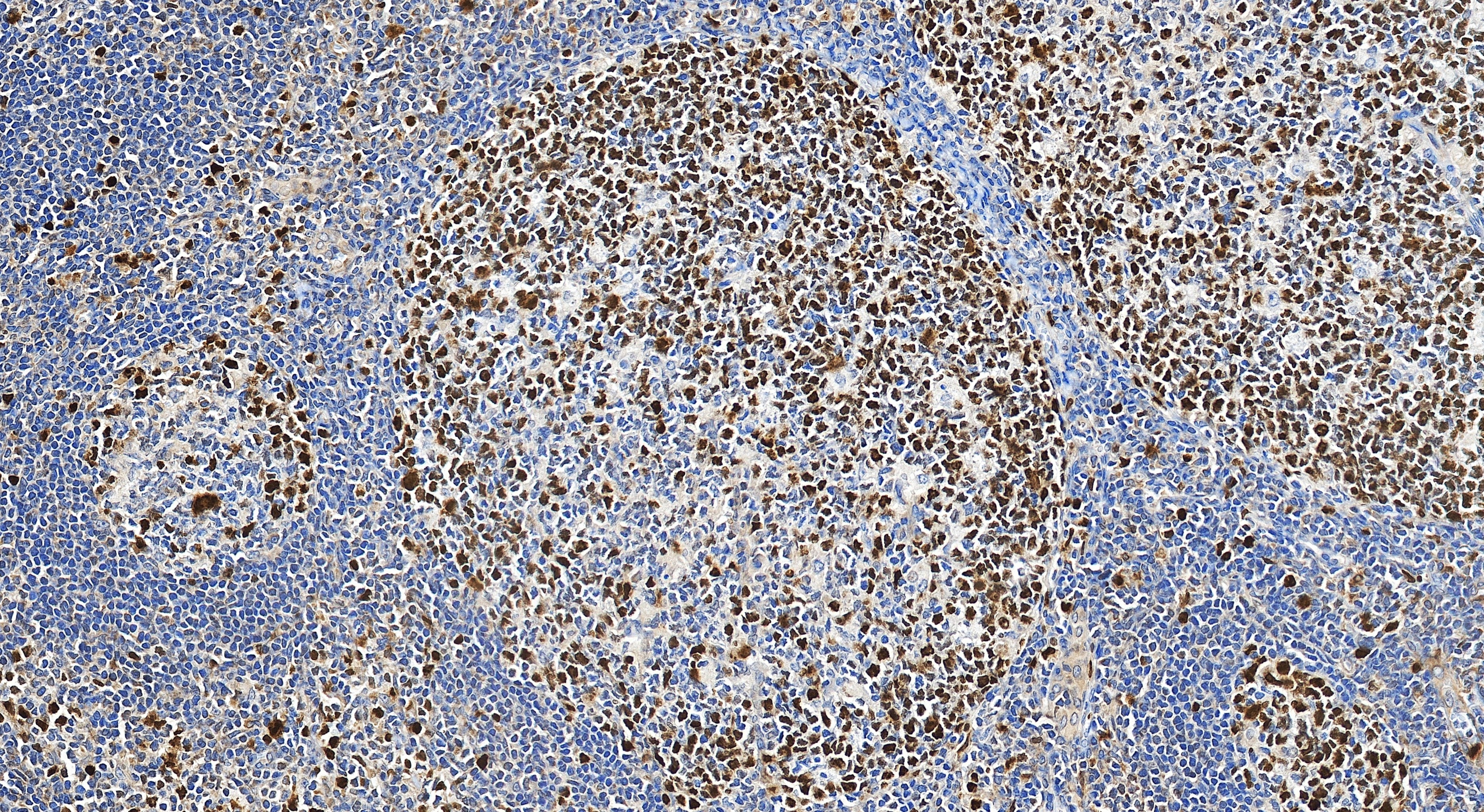
| Positive IHC detected in | human tonsillitis tissue Note: suggested antigen retrieval with TE buffer pH 9.0; (*) Alternatively, antigen retrieval may be performed with citrate buffer pH 6.0 |
| Positive IF/ICC detected in | A431 cells |
Recommended dilution
| Application | Dilution |
|---|---|
| Western Blot (WB) | WB : 1:2000-1:10000 |
| Immunoprecipitation (IP) | IP : 0.5-4.0 ug for 1.0-3.0 mg of total protein lysate |
| Immunohistochemistry (IHC) | IHC : 1:2000-1:8000 |
| Immunofluorescence (IF)/ICC | IF/ICC : 1:250-1:1000 |
| It is recommended that this reagent should be titrated in each testing system to obtain optimal results. | |
| Sample-dependent, Check data in validation data gallery. | |
Product Information
82738-4-RR targets TOP2A in WB, IHC, IF/ICC, IP, ELISA applications and shows reactivity with human samples.
| Tested Reactivity | human |
| Host / Isotype | Rabbit / IgG |
| Class | Recombinant |
| Type | Antibody |
| Immunogen |
CatNo: Ag19551 Product name: Recombinant human TOP2A protein Source: e coli.-derived, PGEX-4T Tag: GST Domain: 1187-1531 aa of BC140791 Sequence: QDEQVGLPGKGGKAKGKKTQMAEVLPSPRGQRVIPRITIEMKAEAEKKNKKKIKNENTEGSPQEDGVELEGLKQRLEKKQKREPGTKTKKQTTLAFKPIKKGKKRNPWSDSESDRSSDESNFDVPPRETEPRRAATKTKFTMDLDSDEDFSDFDEKTDDEDFVPSDASPPKTKTSPKLSNKELKPQKSVVSDLEADDVKGSVPLSSSPPATHFPDETEITNPVPKKNVTVKKTAAKSQSSTSTTGAKKRAAPKGTKRDPALNSGVSQKPDPAKTKNRRKRKPSTSDDSDSNFEKIVSKAVTSKKSKGESDDFHMDFDSAVAPRAKSVRAKKPIKYLEESDEDDLF 相同性解析による交差性が予測される生物種 |
| Full Name | topoisomerase (DNA) II alpha 170kDa |
| Calculated molecular weight | 1531 aa, 174 kDa |
| Observed molecular weight | ~170 kDa |
| GenBank accession number | BC140791 |
| Gene Symbol | TOP2A |
| Gene ID (NCBI) | 7153 |
| RRID | AB_3086521 |
| Conjugate | Unconjugated |
| Form | |
| Form | Liquid |
| Purification Method | Protein A purification |
| UNIPROT ID | P11388 |
| Storage Buffer | PBS with 0.02% sodium azide and 50% glycerol{{ptg:BufferTemp}}7.3 |
| Storage Conditions | Store at -20°C. Stable for one year after shipment. Aliquoting is unnecessary for -20oC storage. |
Background Information
TOP2A, also named as TOP2, belongs to the type II topoisomerase family. Topoisomerase II makes double-strand breaks. TOP2 control the topological states of DNA by transient breakage and subsequent rejoining of DNA strands. TOP2A may play a role in regulating the period length of ARNTL/BMAL1 transcriptional oscillation. DNA topoisomerase IIa (170 kDa, TOP2a/170) is essential in proliferating cells by resolving DNA topological entanglements during chromosome condensation, replication, and segregation.
Protocols
| Product Specific Protocols | |
|---|---|
| IF protocol for TOP2A antibody 82738-4-RR | Download protocol |
| IHC protocol for TOP2A antibody 82738-4-RR | Download protocol |
| IP protocol for TOP2A antibody 82738-4-RR | Download protocol |
| WB protocol for TOP2A antibody 82738-4-RR | Download protocol |
| Standard Protocols | |
|---|---|
| Click here to view our Standard Protocols |





