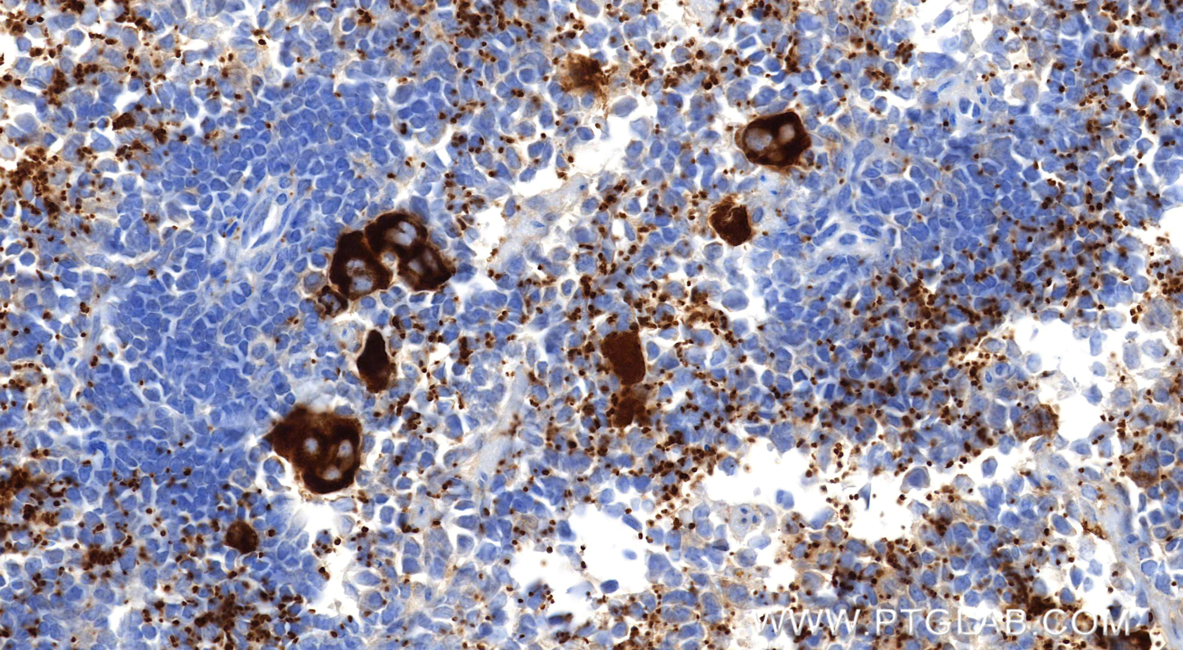
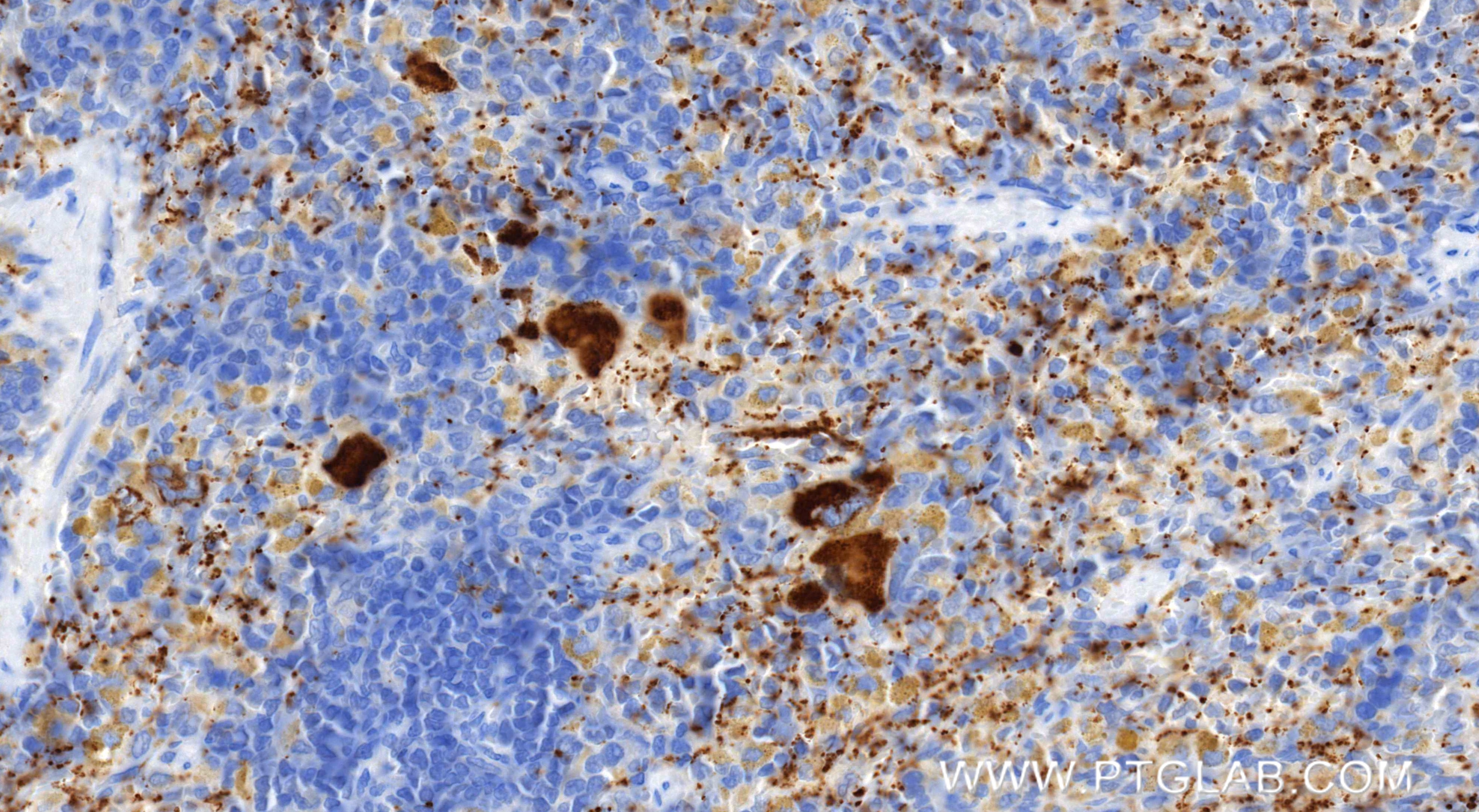
Validation Data Gallery
Tested Applications
| Positive WB detected in | human peripheral blood leukocyte | 
| Positive IHC detected in | human tonsillitis tissue, mouse spleen tissue,  rat spleen tissue Note: suggested antigen retrieval with TE buffer pH 9.0; (*) Alternatively, antigen retrieval may be performed with citrate buffer pH 6.0 | 
| Positive IF-P detected in | human tonsillitis tissue | 
Recommended dilution
| Application | Dilution | 
|---|---|
| Western Blot (WB) | WB : 1:5000-1:50000 | 
| Immunohistochemistry (IHC) | IHC : 1:400-1:1600 | 
| Immunofluorescence (IF)-P | IF-P : 1:250-1:1000 | 
| It is recommended that this reagent should be titrated in each testing system to obtain optimal results. | |
| Sample-dependent, Check data in validation data gallery. | |
Product Information
83947-5-RR targets P-Selectin/CD62P in WB, IHC, IF-P, ELISA applications and shows reactivity with human, mouse, rat samples.
| Tested Reactivity | human, mouse, rat | 
| Host / Isotype | Rabbit / IgG | 
| Class | Recombinant | 
| Type | Antibody | 
| Immunogen | CatNo: Eg0691 Product name: Recombinant Mouse Selp/P-selectin protein (His Tag) Source: mammalian cells-derived, pHZ-KIsec-C-6*HIS Tag: C-6*HIS Domain: 42-709 aa of NM_011347.2 Sequence: WTYNYSTKAYSWNNSRVFCRRHFTDLVAIQNKNEIAHLNDVIPFFNSYYWIGIRKINNKWTWVGTNKTLTEEAENWADNEPNNKKNNQDCVEIYIKSNSAPGKWNDEPCFKRKRALCYTASCQDMSCSNQGECIETIGSYTCSCYPGFYGPECEYVKECGKVNIPQHVLMNCSHPLGEFSFNSQCTFSCAEGYELDGPGELQCLASGIWTNNPPKCDAVQCQSLEAPPHGTMACMHPIAAFAYDSSCKFECQPGYRARGSNTLHCTGSGQWSEPLPTCEAIACEPPEIPIHGSMDCVPSTGTFGYNSSCTFLCAEGFVLKGNDAIQCADSGQWTAPAPFCEALQCPEFPVPSKAQVNCSDPFGTLTYQSVCSFSCDEGSLLVGASVIRCLATGHWNGAPPECQAVSCAPMLSPENGSMTCVQPLGNSTYKSTCQFMCDEGFYLSGPERLDCSPSGHWTGTPPTCEAIKCPGIFAPEQGNLDCSHVHGEFGVGSICHFSCNEDFELLGSENVECTVSGRWSAPPPTCKGITSLPAPAVRCPALTTPGQGTMSCQHHLGSFGPNTTCYFGCKTGFTLRGANSLRCRASGQWTAVTPMCRAVKCSELHMDTAVAMNCSNPWGNFSYGSTCTFQCPEGQSLNGSVRATCREDGHWSDAMPTCQAGTLTIQEA相同性解析による交差性が予測される生物種 | 
| Full Name | selectin, platelet | 
| Calculated molecular weight | 83 kDa | 
| Observed molecular weight | 140 kDa | 
| GenBank accession number | NM_011347.2 | 
| Gene Symbol | Selp | 
| Gene ID (NCBI) | 20344 | 
| RRID | AB_3671527 | 
| Conjugate | Unconjugated | 
| Form | |
| Form | Liquid | 
| Purification Method | Protein A purfication | 
| UNIPROT ID | Q01102 | 
| Storage Buffer | PBS with 0.02% sodium azide and 50% glycerol{{ptg:BufferTemp}}7.3 | 
| Storage Conditions | Store at -20°C. Stable for one year after shipment. Aliquoting is unnecessary for -20oC storage. | 
Background Information
P-selectin, also known as GMP140 or CD62P, is a transmembrane glycoprotein that mediates the interaction of activated endothelial cells or platelets with leukocytes. It is an adhesion molecule involved in the pathogenesis of inflammation, thrombosis, and oncogenesis. P-selectin is stored in the alpha-granules of platelets and Weibel-Palade bodies of endothelial cells. Upon cell activation by agonists, P-selectin is transported rapidly to the cell surface.
Protocols
| Product Specific Protocols | |
|---|---|
| IF protocol for P-Selectin/CD62P antibody 83947-5-RR | Download protocol | 
| IHC protocol for P-Selectin/CD62P antibody 83947-5-RR | Download protocol | 
| WB protocol for P-Selectin/CD62P antibody 83947-5-RR | Download protocol | 
| Standard Protocols | |
|---|---|
| Click here to view our Standard Protocols | 












