Validation Data Gallery
Tested Applications
| Positive WB detected in | LNCaP cells, pig brain tissue, Jurkat cells, rat brain tissue, HeLa cells |
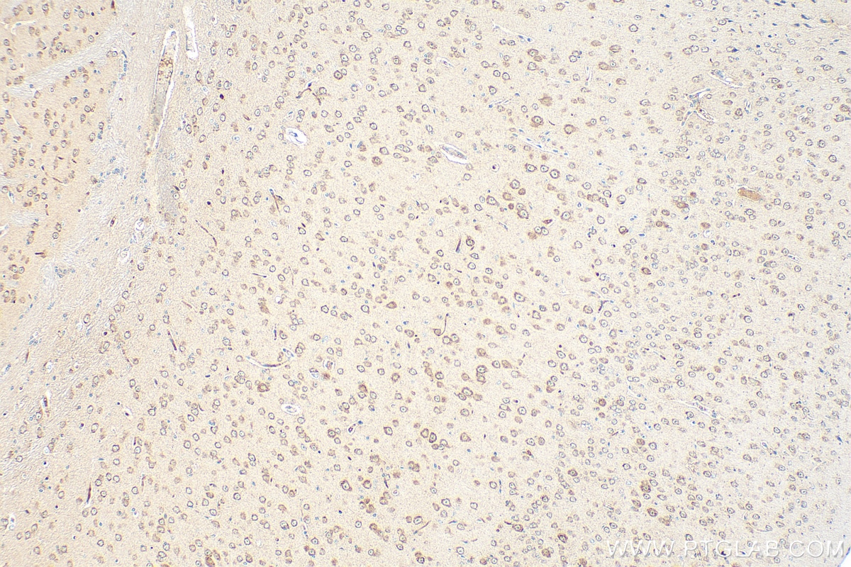
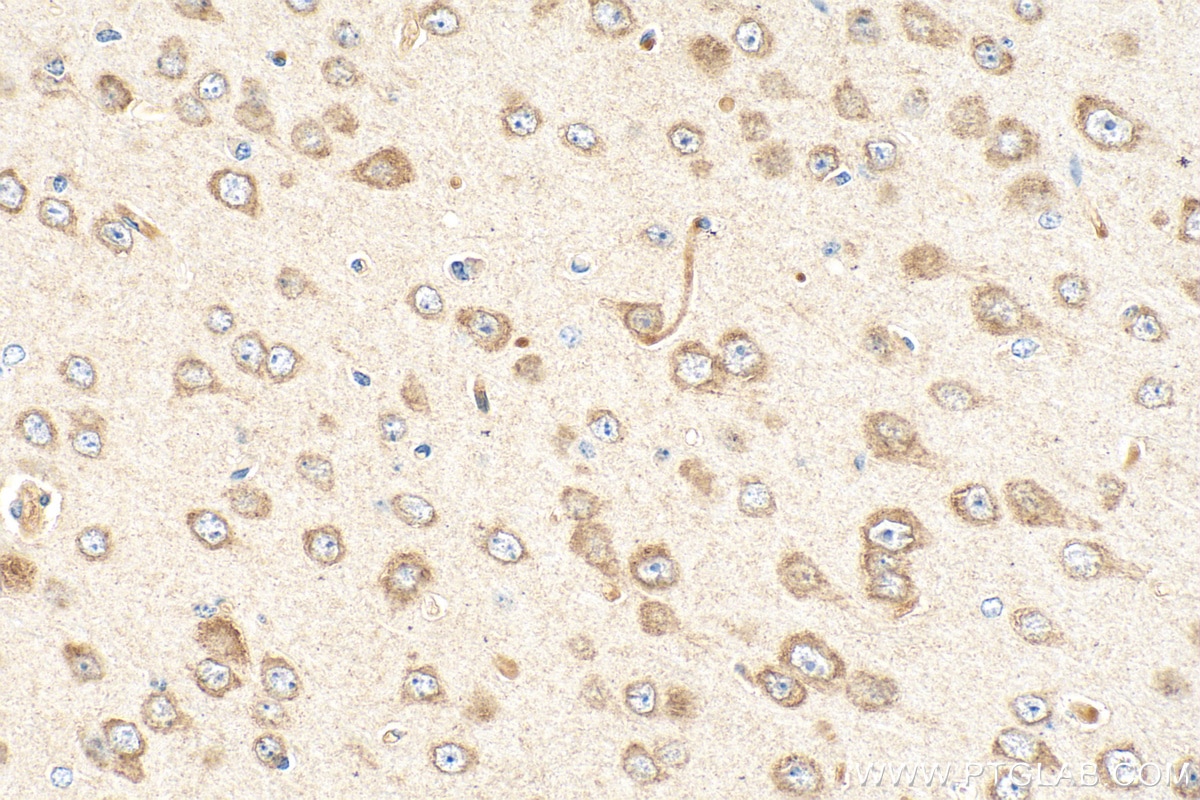
| Positive IHC detected in | mouse brain tissue Note: suggested antigen retrieval with TE buffer pH 9.0; (*) Alternatively, antigen retrieval may be performed with citrate buffer pH 6.0 |
| Positive IF/ICC detected in | HepG2 cells, HeLa cells |
Recommended dilution
| Application | Dilution |
|---|---|
| Western Blot (WB) | WB : 1:5000-1:50000 |
| Immunohistochemistry (IHC) | IHC : 1:1000-1:4000 |
| Immunofluorescence (IF)/ICC | IF/ICC : 1:200-1:800 |
| It is recommended that this reagent should be titrated in each testing system to obtain optimal results. | |
| Sample-dependent, Check data in validation data gallery. | |
Published Applications
| WB | See 1 publications below |
| IF | See 1 publications below |
Product Information
68256-1-Ig targets SNX17 in WB, IHC, IF/ICC, ELISA applications and shows reactivity with human, rat, pig samples.
| Tested Reactivity | human, rat, pig |
| Cited Reactivity | mouse |
| Host / Isotype | Mouse / IgG1 |
| Class | Monoclonal |
| Type | Antibody |
| Immunogen |
CatNo: Ag32624 Product name: Recombinant human SNX17 protein Source: e coli.-derived, PET28a Tag: 6*His Domain: 17-226 aa of BC002524 Sequence: GSAYVAYNIHVNGVLHCRVRYSQLLGLHEQLRKEYGANVLPAFPPKKLFSLTPAEVEQRREQLEKYMQAVRQDPLLGSSETFNSFLRRAQQETQQVPTEEVSLEVLLSNGQKVLVNVLTSDQTEDVLEAVAAKLDLPDDLIGYFSLFLVREKEDGAFSFVRKLQEFELPYVSVTSLRSQEYKIVLRKSYWDSAYDDDVMENRVGLNLLYA 相同性解析による交差性が予測される生物種 |
| Full Name | sorting nexin 17 |
| Calculated molecular weight | 53 kDa |
| Observed molecular weight | 55 kDa |
| GenBank accession number | BC002524 |
| Gene Symbol | SNX17 |
| Gene ID (NCBI) | 9784 |
| RRID | AB_2935341 |
| Conjugate | Unconjugated |
| Form | |
| Form | Liquid |
| Purification Method | Protein G purification |
| UNIPROT ID | Q15036 |
| Storage Buffer | PBS with 0.02% sodium azide and 50% glycerol{{ptg:BufferTemp}}7.3 |
| Storage Conditions | Store at -20°C. Stable for one year after shipment. Aliquoting is unnecessary for -20oC storage. |
Background Information
Sorting nexin 17 (SNX17, synonym: KIAA0064) is a member of the sorting nexin family. Members of this family contain a phox (PX) domain, which is a phosphoinositide binding domain, and are involved in intracellular trafficking. SNX17 does not contain a coiled coil region, like some family members, but contains a B41 domain. This protein interacts with the cytoplasmic domain of P-selectin, and may function in the intracellular trafficking of P-selectin.
Protocols
| Product Specific Protocols | |
|---|---|
| IF protocol for SNX17 antibody 68256-1-Ig | Download protocol |
| IHC protocol for SNX17 antibody 68256-1-Ig | Download protocol |
| WB protocol for SNX17 antibody 68256-1-Ig | Download protocol |
| Standard Protocols | |
|---|---|
| Click here to view our Standard Protocols |
Publications
| Species | Application | Title |
|---|---|---|
Life Sci SNX17 knockdown improves post-ischemic angiogenesis via blocking lysosomal dependent VEGFR degradation | ||
Nat Commun A glucose-enriched lung pre-metastatic niche triggered by matrix stiffness-tuned exosomal miRNAs in hepatocellular carcinoma |






