Validation Data Gallery
Tested Applications
| Positive WB detected in | HeLa cells, MCF-7 cells, CHO cells, mouse brain tissue, rat brain tissue, fetal human brain tissue, human placenta tissue |
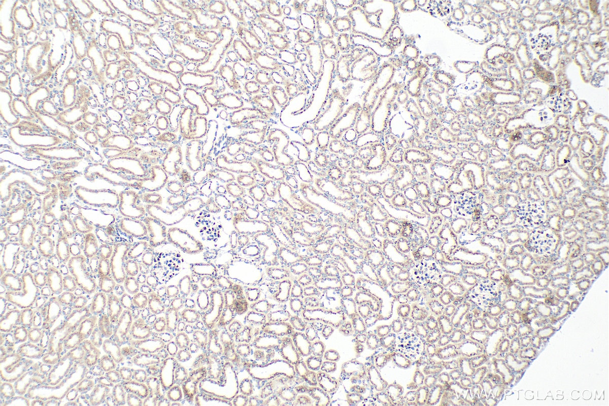
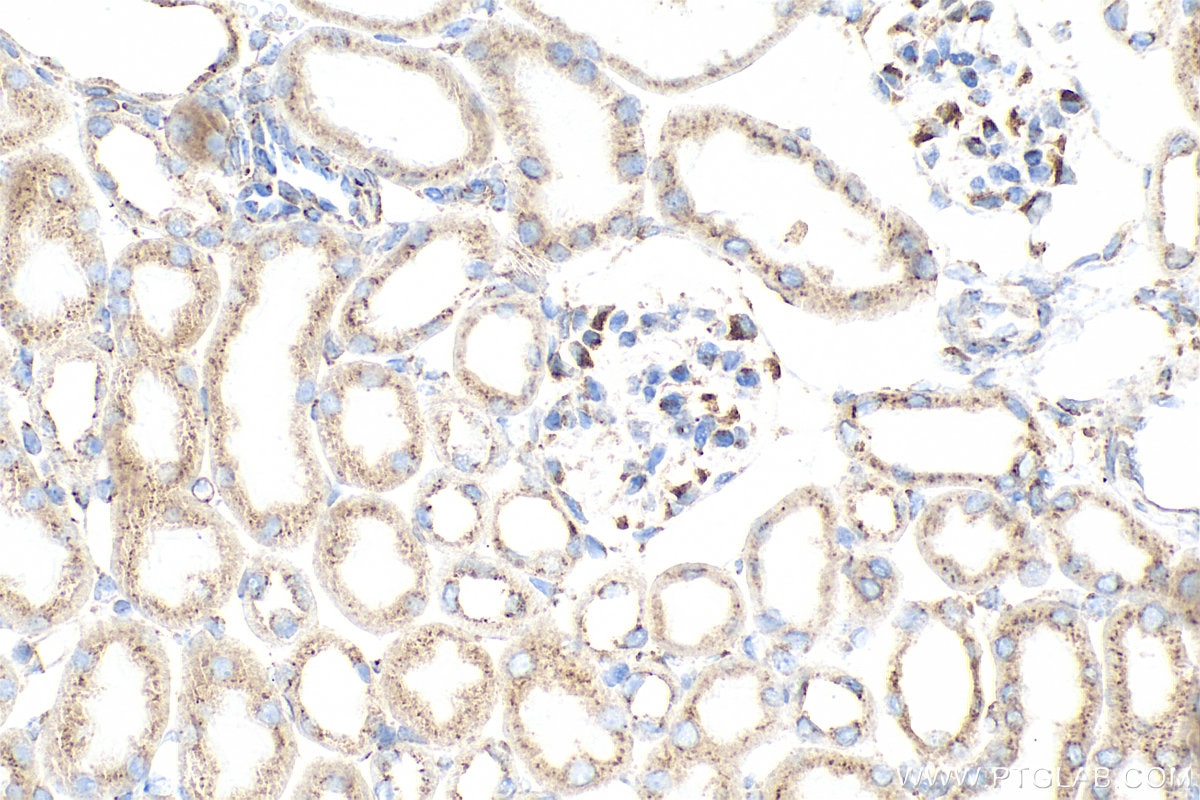
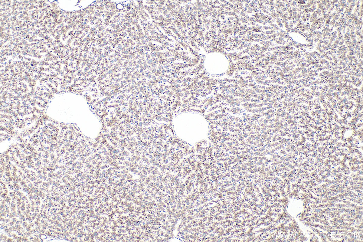
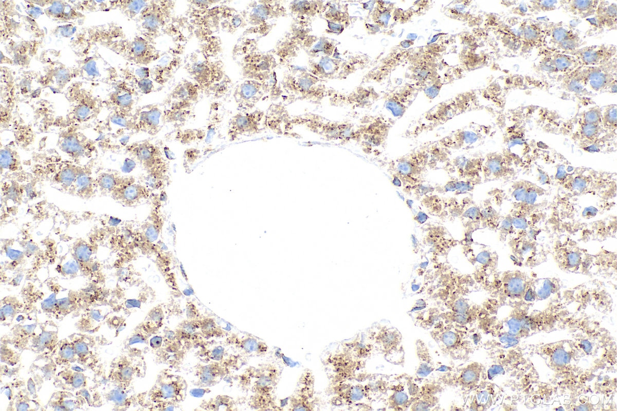
| Positive IHC detected in | mouse liver tissue, mouse kidney tissue Note: suggested antigen retrieval with TE buffer pH 9.0; (*) Alternatively, antigen retrieval may be performed with citrate buffer pH 6.0 |
| Positive FC (Intra) detected in | SH-SY5Y cells |
Recommended dilution
| Application | Dilution |
|---|---|
| Western Blot (WB) | WB : 1:5000-1:50000 |
| Immunohistochemistry (IHC) | IHC : 1:500-1:2000 |
| Flow Cytometry (FC) (INTRA) | FC (INTRA) : 0.25 ug per 10^6 cells in a 100 µl suspension |
| It is recommended that this reagent should be titrated in each testing system to obtain optimal results. | |
| Sample-dependent, Check data in validation data gallery. | |
Product Information
85037-5-RR targets SEC22B in WB, IHC, FC (Intra), ELISA applications and shows reactivity with human, mouse, rat, hamster samples.
| Tested Reactivity | human, mouse, rat, hamster |
| Host / Isotype | Rabbit / IgG |
| Class | Recombinant |
| Type | Antibody |
| Immunogen |
CatNo: Ag12981 Product name: Recombinant human SEC22B protein Source: e coli.-derived, PGEX-4T Tag: GST Domain: 2-215 aa of BC001364 Sequence: VLLTMIARVADGLPLAASMQEDEQSGRDLQQYQSQAKQLFRKLNEQSPTRCTLEAGAMTFHYIIEQGVCYLVLCEAAFPKKLAFAYLEDLHSEFDEQHGKKVPTVSRPYSFIEFDTFIQKTKKLYIDSRARRNLGSINTELQDVQRIMVANIEEVLQRGEALSALDSKANNLSSLSKKYRQDAKYLNMRSTYAKLAAVAVFFIMLIVYVRFWWL 相同性解析による交差性が予測される生物種 |
| Full Name | SEC22 vesicle trafficking protein homolog B (S. cerevisiae) |
| Calculated molecular weight | 25 kDa |
| Observed molecular weight | 24 kDa |
| GenBank accession number | BC001364 |
| Gene Symbol | SEC22B |
| Gene ID (NCBI) | 9554 |
| Conjugate | Unconjugated |
| Form | |
| Form | Liquid |
| Purification Method | Protein A purification |
| UNIPROT ID | O75396 |
| Storage Buffer | PBS with 0.02% sodium azide and 50% glycerol{{ptg:BufferTemp}}7.3 |
| Storage Conditions | Store at -20°C. Stable for one year after shipment. Aliquoting is unnecessary for -20oC storage. |
Background Information
Soluble N-ethylmaleimide-sensitive factor (NSF) attachment protein receptor (SNARE) proteins are critical components of the membrane fusion machinery (PMID: 20163564). SEC22B is a SNARE involved in endoplasmic reticulum (ER)/Golgi membrane trafficking. SEC22B localizes to the ER-Golgi intermediate compartment (ERGIC) and has been identified as a regulator of antigen crosspresentation (PMID: 22153078).
Protocols
| Product Specific Protocols | |
|---|---|
| FC protocol for SEC22B antibody 85037-5-RR | Download protocol |
| IHC protocol for SEC22B antibody 85037-5-RR | Download protocol |
| WB protocol for SEC22B antibody 85037-5-RR | Download protocol |
| Standard Protocols | |
|---|---|
| Click here to view our Standard Protocols |







