Validation Data Gallery
Tested Applications
| Positive WB detected in | nocodazole treated HeLa cells, Calyculin A treated HSC-T6 cells, nocodazole NIH/3T3 cells |
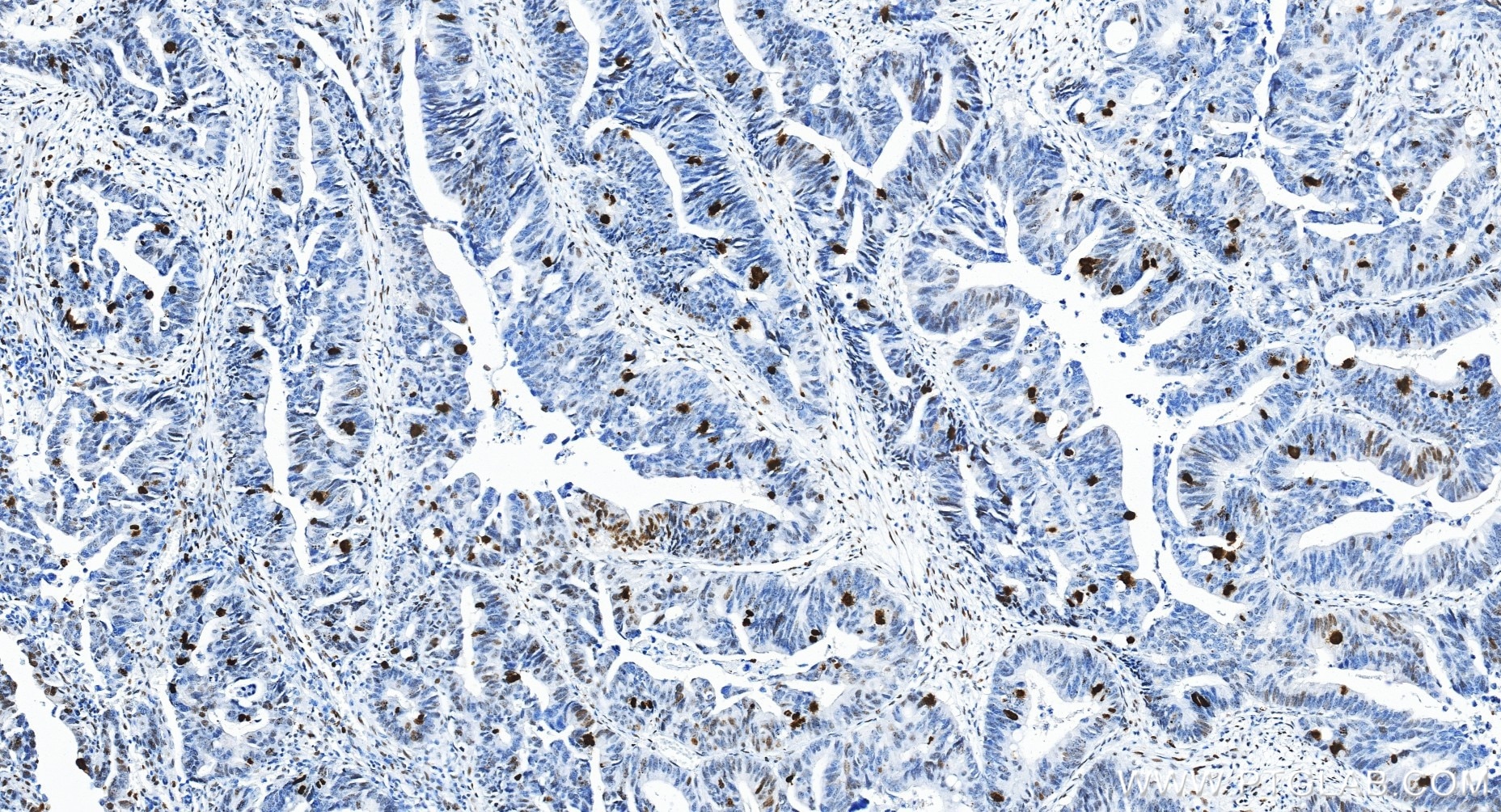
| Positive IHC detected in | mouse brain tissue, human colon cancer tissue, human ovary cancer tissue, human tonsillitis tissue Note: suggested antigen retrieval with TE buffer pH 9.0; (*) Alternatively, antigen retrieval may be performed with citrate buffer pH 6.0 |
| Positive IF/ICC detected in | HepG2 cells |
| Positive ChIP-qPCR detected in | Nocodazole (100 ng/ml, 16 h) HeLa cells |
Recommended dilution
| Application | Dilution |
|---|---|
| Western Blot (WB) | WB : 1:1000-1:4000 |
| Immunohistochemistry (IHC) | IHC : 1:500-1:2000 |
| Immunofluorescence (IF)/ICC | IF/ICC : 1:400-1:1600 |
| CHIP-QPCR | CHIP-QPCR : 1:10-1:100 |
| It is recommended that this reagent should be titrated in each testing system to obtain optimal results. | |
| Sample-dependent, Check data in validation data gallery. | |
Published Applications
| WB | See 1 publications below |
| IHC | See 1 publications below |
Product Information
82828-10-RR targets Phospho-Histone H3 (Ser10) in WB, IHC, IF/ICC, ELISA, ChIP-qPCR applications and shows reactivity with human, mouse, rat samples.
| Tested Reactivity | human, mouse, rat |
| Cited Reactivity | mouse |
| Host / Isotype | Rabbit / IgG |
| Class | Recombinant |
| Type | Antibody |
| Immunogen |
Peptide 相同性解析による交差性が予測される生物種 |
| Full Name | histone cluster 1, H3a |
| Calculated molecular weight | 15 kDa |
| Observed molecular weight | 15 kDa |
| GenBank accession number | NM_003529 |
| Gene Symbol | HIST1H3A |
| Gene ID (NCBI) | 8350 |
| Conjugate | Unconjugated |
| Form | |
| Form | Liquid |
| Purification Method | Protein A purification |
| UNIPROT ID | P68431 |
| Storage Buffer | PBS with 0.02% sodium azide and 50% glycerol{{ptg:BufferTemp}}7.3 |
| Storage Conditions | Store at -20°C. Stable for one year after shipment. Aliquoting is unnecessary for -20oC storage. |
Background Information
Phospho-histone-H3 (PHH3) is a core histone protein, which in its phosphorylated state forms the principal constituents of eukaryotic chromatin, with histone H3 being phosphorylated at serine (Ser) 10 or Ser28 as well as its phosphorylation of Ser10 being strongly correlated with the late G2 to M-phase transition in mammalian mitotic cells. On the basis of previous research, a few cell line- and animal model-based researches have displayed an increase in phosphorylation of histone H3 at Ser10 (H3S10ph), the only histone marker that is involved in carcinogenesis and cellular transformation. Histone H3 phosphorylation on serine-10 is specific to mitosis and phosphorylated histone H3 (PHH3) proliferation markers (as counts defined per area or as indices defined per cell numbers) are increasingly being used to evaluate proliferation in various tumors.
Protocols
| Product Specific Protocols | |
|---|---|
| IF protocol for Phospho-Histone H3 (Ser10) antibody 82828-10-RR | Download protocol |
| IHC protocol for Phospho-Histone H3 (Ser10) antibody 82828-10-RR | Download protocol |
| WB protocol for Phospho-Histone H3 (Ser10) antibody 82828-10-RR | Download protocol |
| Standard Protocols | |
|---|---|
| Click here to view our Standard Protocols |











