Validation Data Gallery
Tested Applications
| Positive WB detected in | HeLa cells, HepG2 cells, Jurkat cells, HSC-T6 cells, pig brain tissue, rabbit brain tissue, rat brain tissue, mouse brain tissue, mouse heart tissue |
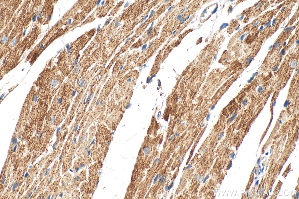
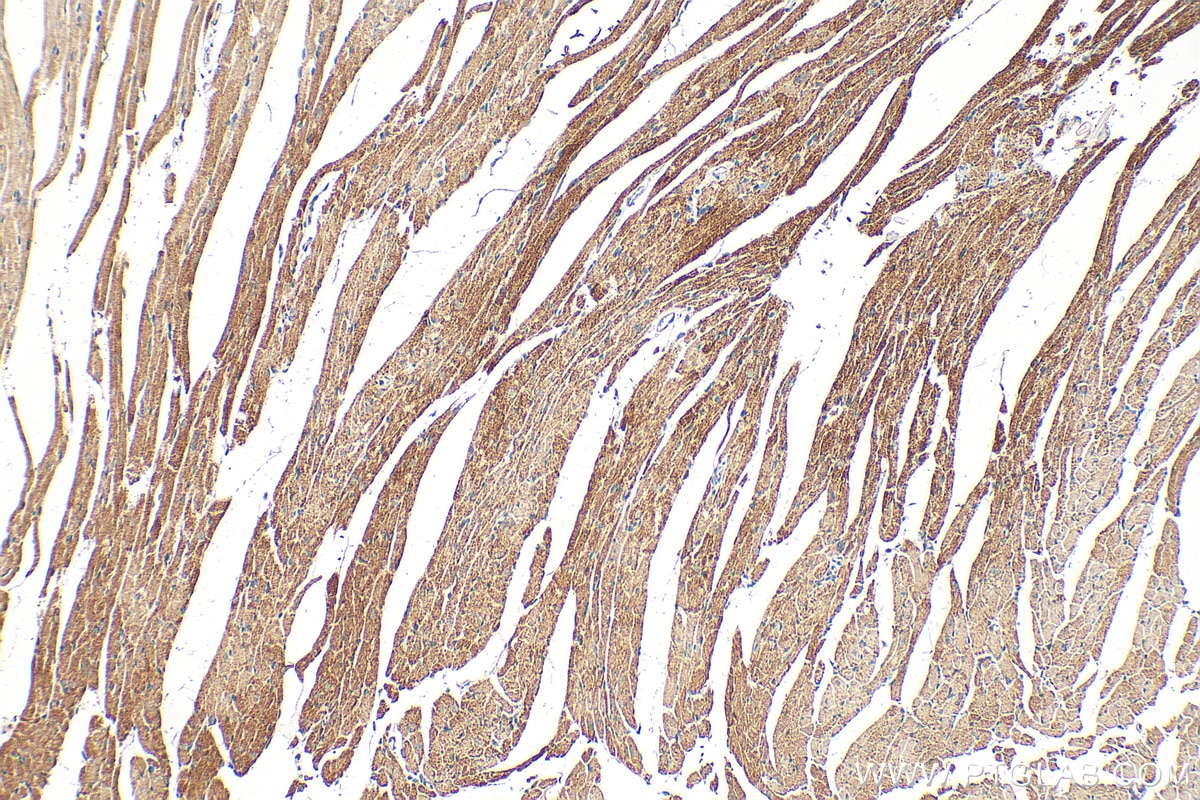
| Positive IHC detected in | mouse heart tissue, mouse kidney tissue, mouse skeletal muscle tissue, rat skeletal muscle tissue, rat stomach tissue Note: suggested antigen retrieval with TE buffer pH 9.0; (*) Alternatively, antigen retrieval may be performed with citrate buffer pH 6.0 |
| Positive IF/ICC detected in | HeLa cells |
Recommended dilution
| Application | Dilution |
|---|---|
| Western Blot (WB) | WB : 1:5000-1:50000 |
| Immunohistochemistry (IHC) | IHC : 1:500-1:2000 |
| Immunofluorescence (IF)/ICC | IF/ICC : 1:500-1:2000 |
| It is recommended that this reagent should be titrated in each testing system to obtain optimal results. | |
| Sample-dependent, Check data in validation data gallery. | |
Product Information
68238-1-Ig targets PDHB in WB, IHC, IF/ICC, ELISA applications and shows reactivity with human, mouse, rat, pig, rabbit samples.
| Tested Reactivity | human, mouse, rat, pig, rabbit |
| Host / Isotype | Mouse / IgG1 |
| Class | Monoclonal |
| Type | Antibody |
| Immunogen |
CatNo: Ag6857 Product name: Recombinant human PDHB protein Source: e coli.-derived, PET28a Tag: 6*His Domain: 1-359 aa of BC000439 Sequence: MAAVSGLVRRPLREVSGLLKRRFHWTAPAALQVTVRDAINQGMDEELERDEKVFLLGEEVAQYDGAYKVSRGLWKKYGDKRIIDTPISEMGFAGIAVGAAMAGLRPICEFMTFNFSMQAIDQVINSAAKTYYMSGGLQPVPIVFRGPNGASAGVAAQHSQCFAAWYGHCPGLKVVSPWNSEDAKGLIKSAIRDNNPVVVLENELMYGVPFEFPPEAQSKDFLIPIGKAKIERQGTHITVVSHSRPVGHCLEAAAVLSKEGVECEVINMRTIRPMDMETIEASVMKTNHLVTVEGGWPQFGVGAEICARIMEGPAFNFLDAPAVRVTGADVPMPYAKILEDNSIPQVKDIIFAIKKTLNI 相同性解析による交差性が予測される生物種 |
| Full Name | pyruvate dehydrogenase (lipoamide) beta |
| Calculated molecular weight | 39 kDa |
| Observed molecular weight | 34 kDa |
| GenBank accession number | BC000439 |
| Gene Symbol | PDHB |
| Gene ID (NCBI) | 5162 |
| RRID | AB_2935325 |
| Conjugate | Unconjugated |
| Form | |
| Form | Liquid |
| Purification Method | Protein G purification |
| UNIPROT ID | P11177 |
| Storage Buffer | PBS with 0.02% sodium azide and 50% glycerol{{ptg:BufferTemp}}7.3 |
| Storage Conditions | Store at -20°C. Stable for one year after shipment. Aliquoting is unnecessary for -20oC storage. |
Background Information
PDHB (Pyruvate dehydrogenase E1 component subunit beta, mitochondrial) is also named PHE1B. The enzyme, which is found in mitochondria, is one of the component enzymes of the pyruvate dehydrogenase multienzyme complex (PDH). It catalyzes the first reaction of an oxidative decarboxylation sequence converting pyruvate to acetyl-CoA and CO(2)(PMID:3422424). Defects in PDHB are the cause of pyruvate dehydrogenase E1-beta deficiency (PDHBD)(PMID:15138885).
Protocols
| Product Specific Protocols | |
|---|---|
| IF protocol for PDHB antibody 68238-1-Ig | Download protocol |
| IHC protocol for PDHB antibody 68238-1-Ig | Download protocol |
| WB protocol for PDHB antibody 68238-1-Ig | Download protocol |
| Standard Protocols | |
|---|---|
| Click here to view our Standard Protocols |











