Validation Data Gallery
Tested Applications
| Positive WB detected in | Jurkat cells, MDA-MB-453 cells, HeLa cells, HEK-293T cells, HepG2 cells, PC-12 cells, NIH/3T3 cells |
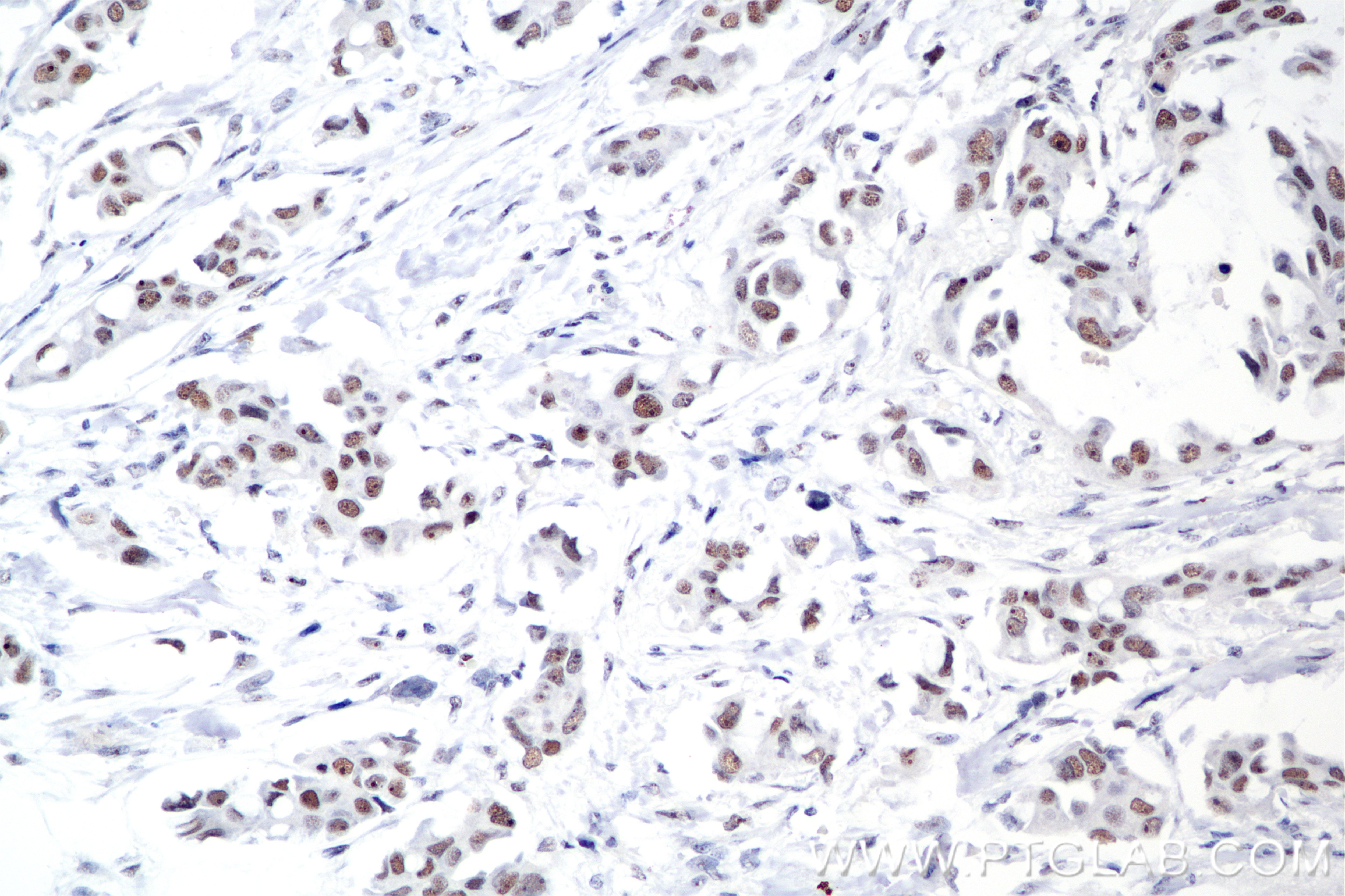
| Positive IHC detected in | Human Breast Cancer(Her2+;ER-;PR-) Note: suggested antigen retrieval with TE buffer pH 9.0; (*) Alternatively, antigen retrieval may be performed with citrate buffer pH 6.0 |
| Positive FC (Intra) detected in | A431 cells |
Recommended dilution
| Application | Dilution |
|---|---|
| Western Blot (WB) | WB : 1:5000-1:50000 |
| Immunohistochemistry (IHC) | IHC : 1:500-1:2000 |
| Flow Cytometry (FC) (INTRA) | FC (INTRA) : 0.25 ug per 10^6 cells in a 100 µl suspension |
| It is recommended that this reagent should be titrated in each testing system to obtain optimal results. | |
| Sample-dependent, Check data in validation data gallery. | |
Product Information
85408-5-RR targets PARN in WB, IHC, FC (Intra), ELISA applications and shows reactivity with human, mouse, rat samples.
| Tested Reactivity | human, mouse, rat |
| Host / Isotype | Rabbit / IgG |
| Class | Recombinant |
| Type | Antibody |
| Immunogen |
CatNo: Ag4774 Product name: Recombinant human PARN protein Source: e coli.-derived, PGEX-4T Tag: GST Domain: 1-347 aa of BC050029 Sequence: MEIIRSNFKSNLHKVYQAIEEADFFAIDGEFSGISDGPSVSALTNGFDTPEERYQKLKKHSMDFLLFQFGLCTFKYDYTDSKYITKSFNFYVFPKPFNRSSPDVKFVCQSSSIDFLASQGFDFNKVFRNGIPYLNQEEERQLREQYDEKRSQANGAGALSYVSPNTSKCPVTIPEDQKKFIDQVVEKIEDLLQSEENKNLDLEPCTGFQRKLIYQTLSWKYPKGIHVETLETEKKERYIVISKVDEEERKRREQQKHAKEQEELNDAVGFSRVIHAIANSGKLVIGHNMLLDVMHTVHQFYCPLPADLSEFKEMTTCVFPRLLDTKLMASTQPFKDIINNTSLAELE 相同性解析による交差性が予測される生物種 |
| Full Name | poly(A)-specific ribonuclease (deadenylation nuclease) |
| Calculated molecular weight | 639 aa, 73 kDa |
| Observed molecular weight | 74 kDa |
| GenBank accession number | BC050029 |
| Gene Symbol | PARN |
| Gene ID (NCBI) | 5073 |
| Conjugate | Unconjugated |
| Form | |
| Form | Liquid |
| Purification Method | Protein A purification |
| UNIPROT ID | O95453 |
| Storage Buffer | PBS with 0.02% sodium azide and 50% glycerol{{ptg:BufferTemp}}7.3 |
| Storage Conditions | Store at -20°C. Stable for one year after shipment. Aliquoting is unnecessary for -20oC storage. |
Background Information
Poly(A)-specific ribonuclease (PARN) is a deadenylase enzyme that is present in mammalian cells. As a deadenylase, PARN interacts with the cap and the poly(A) tail of mRNA to control the length of the poly(A) tail and regulate gene expression. Therefore, it plays a role in mRNA degradation in the nucleus and cytoplasm.
Protocols
| Product Specific Protocols | |
|---|---|
| FC protocol for PARN antibody 85408-5-RR | Download protocol |
| IHC protocol for PARN antibody 85408-5-RR | Download protocol |
| WB protocol for PARN antibody 85408-5-RR | Download protocol |
| Standard Protocols | |
|---|---|
| Click here to view our Standard Protocols |




