Validation Data Gallery
Tested Applications
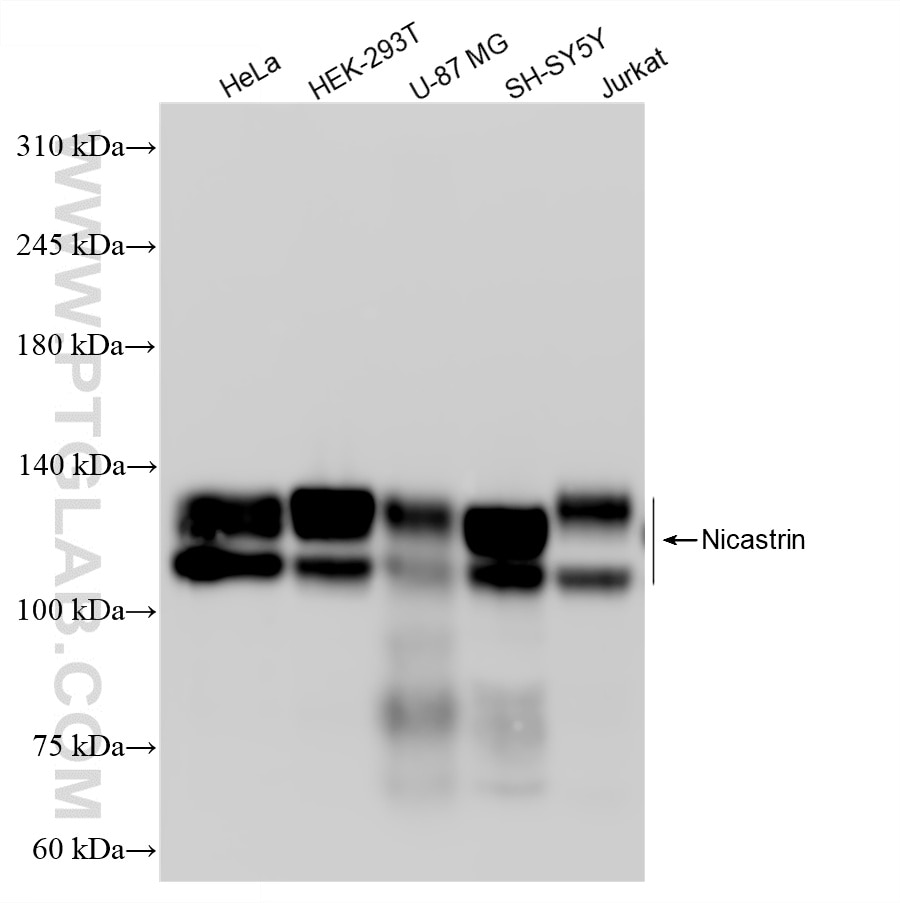
| Positive WB detected in | HeLa cells, Neuro-2a cells, HEK293-T cells, U87 MG cells, SH-SY5Y cells, Jurkat cells, C6 cells |
| Positive IF/ICC detected in | C6 cells |
Recommended dilution
| Application | Dilution |
|---|---|
| Western Blot (WB) | WB : 1:5000-1:50000 |
| Immunofluorescence (IF)/ICC | IF/ICC : 1:250-1:1000 |
| It is recommended that this reagent should be titrated in each testing system to obtain optimal results. | |
| Sample-dependent, Check data in validation data gallery. | |
Product Information
87471-1-RR targets Nicastrin in WB, IF/ICC, ELISA applications and shows reactivity with human, mouse, rat samples.
| Tested Reactivity | human, mouse, rat |
| Host / Isotype | Rabbit / IgG |
| Class | Recombinant |
| Type | Antibody |
| Immunogen |
CatNo: Ag5137 Product name: Recombinant human Nicastrin protein Source: e coli.-derived, PET28a Tag: 6*His Domain: 338-689 aa of BC047621 Sequence: NVDSFVELGQVALRTSLELWMHTDPVSQKNESVRNQVEDLLATLEKSGAGVPAVILRRPNQSQPLPPSSLQRFLRARNISGVVLADHSGAFHNKYYQSIYDTAENINVSYPEWLSPEEDLNFVTDTAKALADVATVLGRALYELAGGTNFSDTVQADPQTVTRLLYGFLIKANNSWFQSILRQDLRSYLGDGPLQHYIAVSSPTNTTYVVQYALANLTGTVVNLTREQCQDPSKVPSENKDLYEYSWVQGPLHSNETDRLPRCVRSTARLARALSPAFELSQWSSTEYSTWTESRWKDIHARIFLIASKELELITLTVGFGILIFSLIVTYCINAKADVLFIAPREPGAVSY 相同性解析による交差性が予測される生物種 |
| Full Name | nicastrin |
| Calculated molecular weight | 709 aa, 78.4 kDa |
| Observed molecular weight | 110 kDa, 130 kDa |
| GenBank accession number | BC047621 |
| Gene Symbol | Nicastrin |
| Gene ID (NCBI) | 23385 |
| Conjugate | Unconjugated |
| Form | |
| Form | Liquid |
| Purification Method | Protein A purification |
| UNIPROT ID | Q92542 |
| Storage Buffer | PBS with 0.02% sodium azide and 50% glycerol{{ptg:BufferTemp}}7.3 |
| Storage Conditions | Store at -20°C. Stable for one year after shipment. Aliquoting is unnecessary for -20oC storage. |
Background Information
Nicastrin (NCT) is a type I transmembrane glycoprotein, which forms high molecular weight gamma-secretase complexes with presenilin 1 and presenilin 2 (PMID: 16096051). The gamma-secretase is an intramembrane protease that cleaves many type I membrane proteins, including amyloid precursor protein (APP) and Notch, generating peptide fragments that are important signaling components (PMID: 16096062). The proteolytic processing of APP results in the release of amyloid-βpeptide, a principal component of the plaques found in the brains of Alzheimer's disease patients (PMID: 12716934).
Protocols
| Product Specific Protocols | |
|---|---|
| IF protocol for Nicastrin antibody 87471-1-RR | Download protocol |
| WB protocol for Nicastrin antibody 87471-1-RR | Download protocol |
| Standard Protocols | |
|---|---|
| Click here to view our Standard Protocols |



