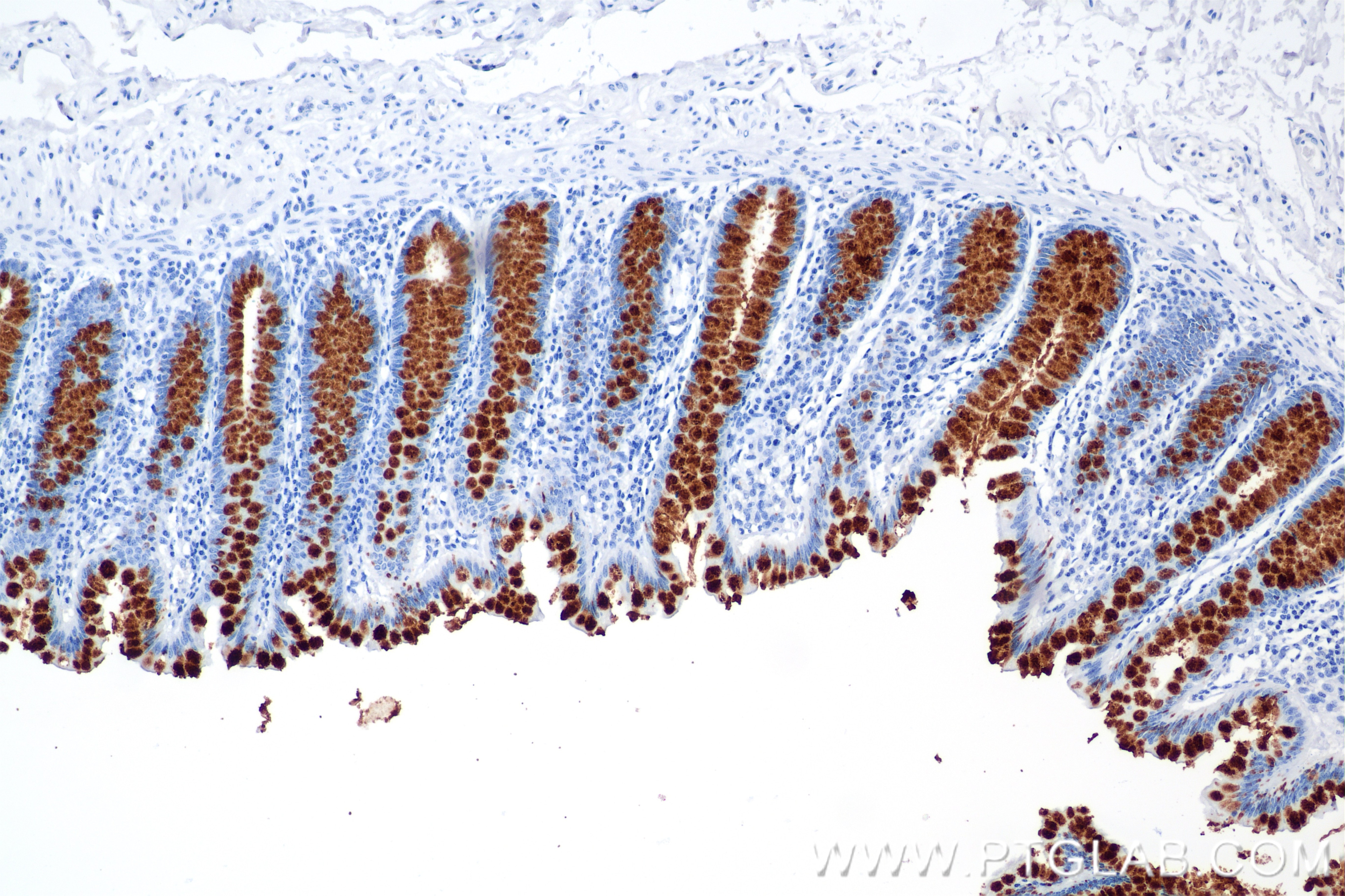
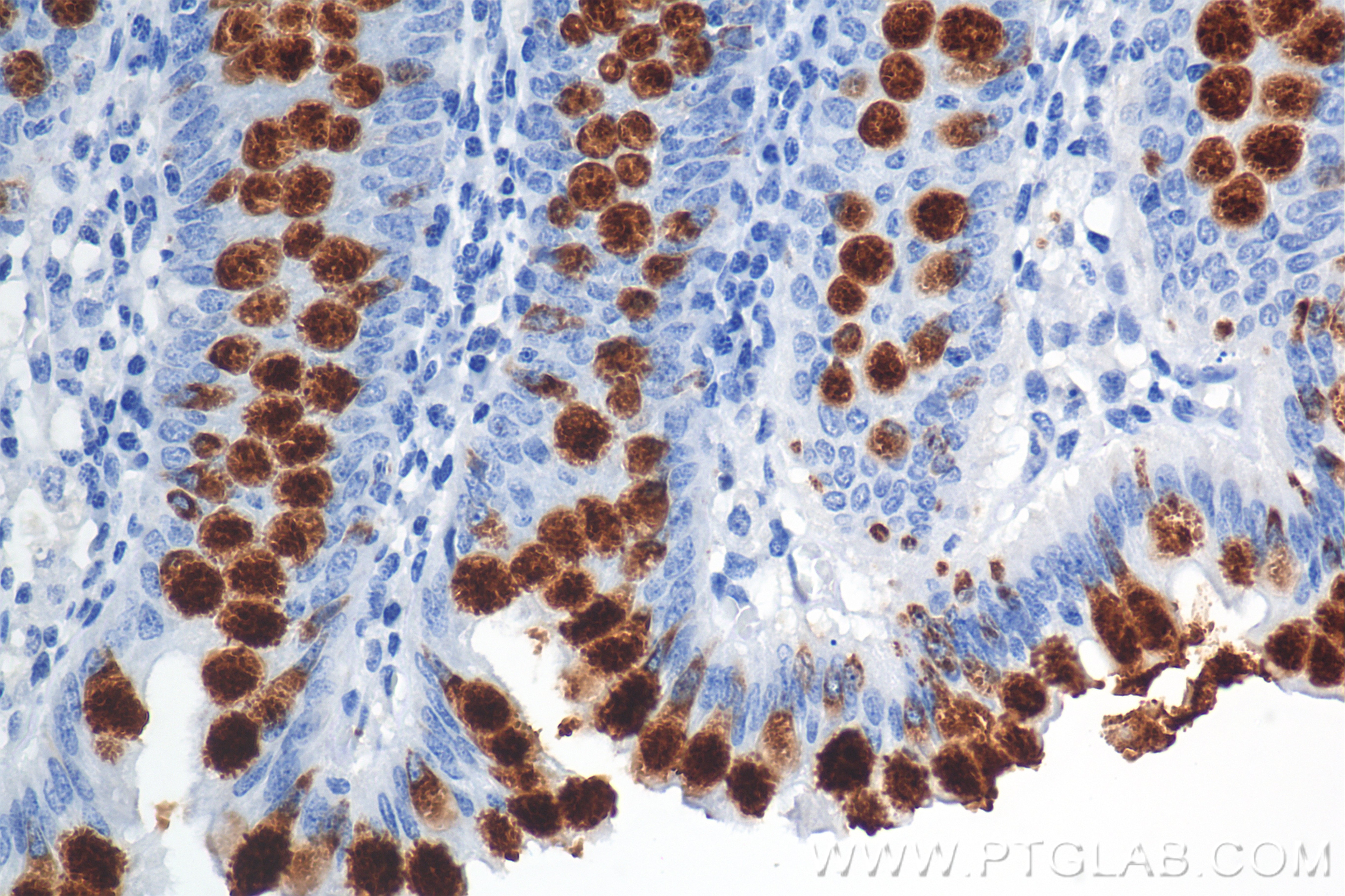
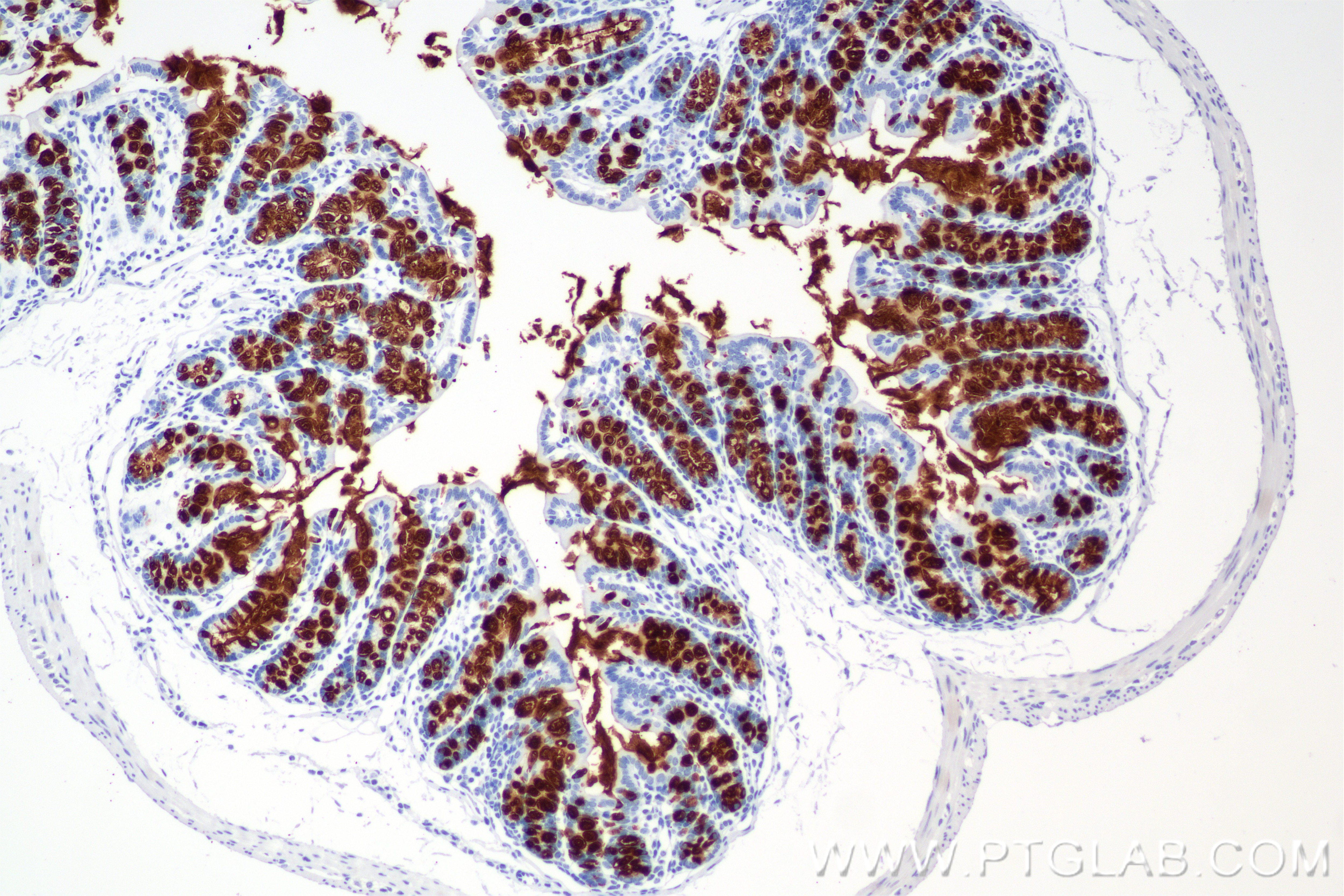
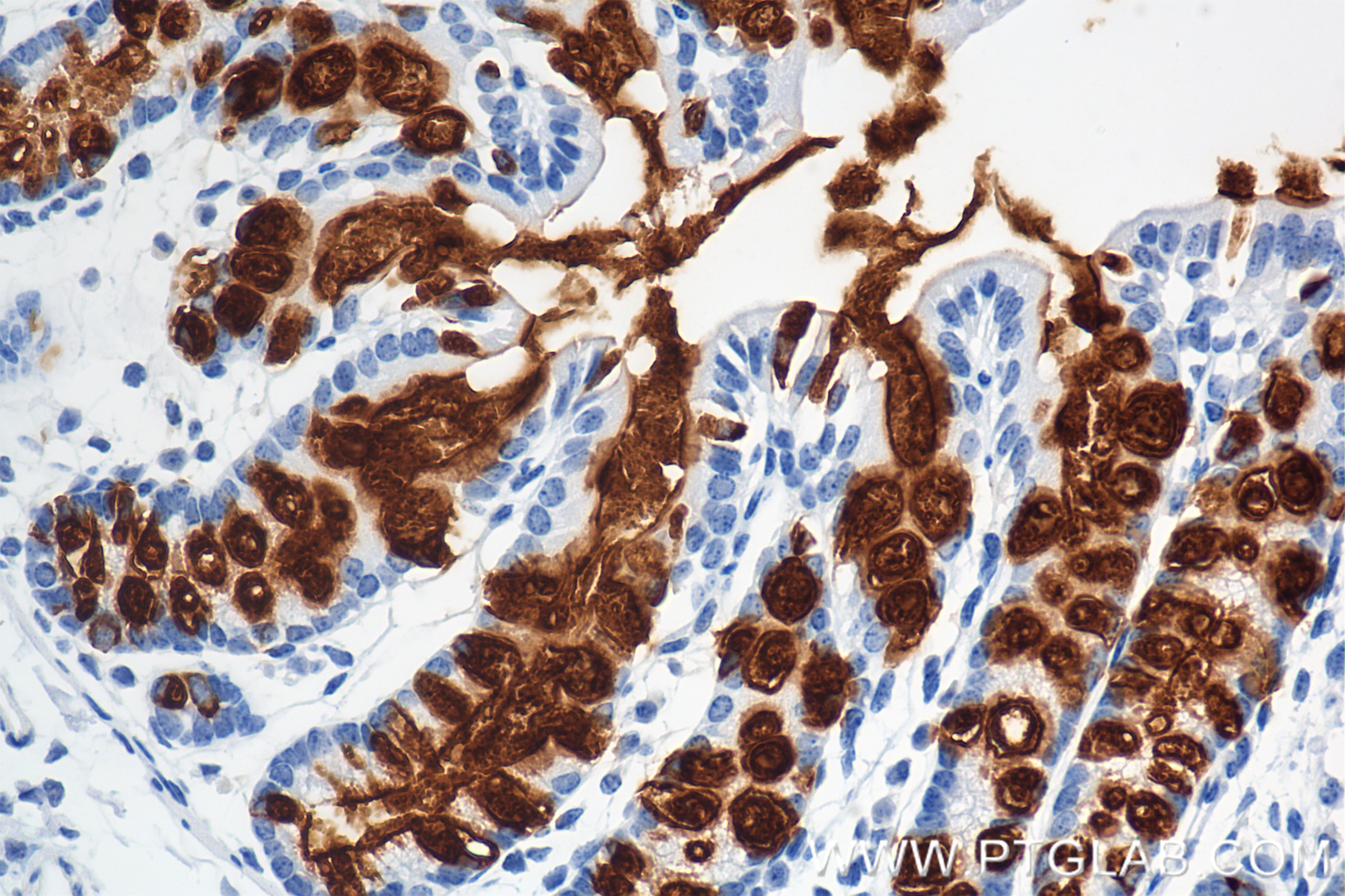
Validation Data Gallery
Tested Applications
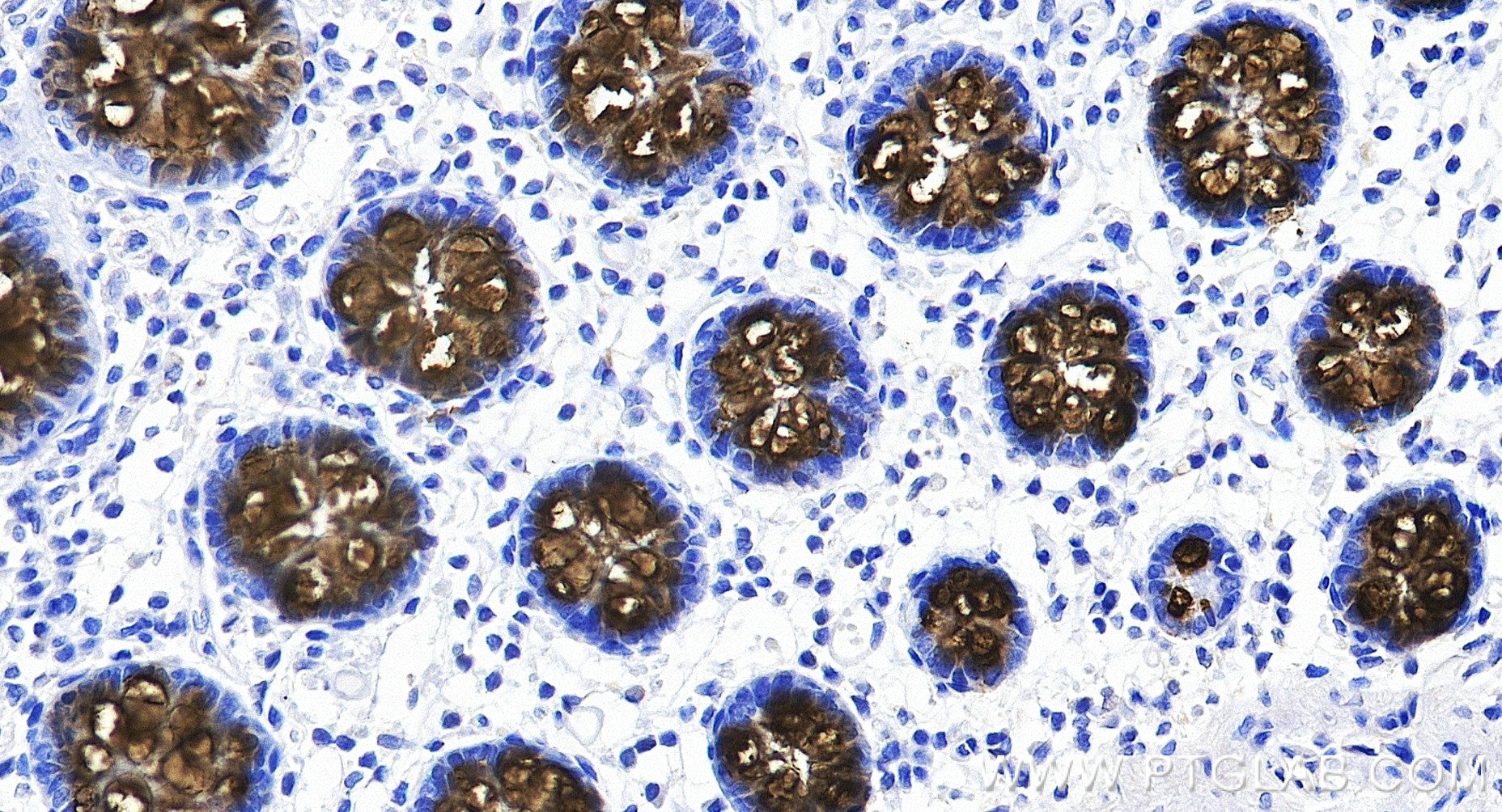
| Positive IHC detected in | mouse colon tissue, human colon tissue Note: suggested antigen retrieval with TE buffer pH 9.0; (*) Alternatively, antigen retrieval may be performed with citrate buffer pH 6.0 |
| Positive IF-P detected in | mouse colon tissue, human colon tissue |
Recommended dilution
| Application | Dilution |
|---|---|
| Immunohistochemistry (IHC) | IHC : 1:1000-1:4000 |
| Immunofluorescence (IF)-P | IF-P : 1:200-1:800 |
| It is recommended that this reagent should be titrated in each testing system to obtain optimal results. | |
| Sample-dependent, Check data in validation data gallery. | |
Product Information
82792-2-RR targets MUC2 in IHC, IF-P, ELISA applications and shows reactivity with human, mouse samples.
| Tested Reactivity | human, mouse |
| Host / Isotype | Rabbit / IgG |
| Class | Recombinant |
| Type | Antibody |
| Immunogen |
CatNo: Ag25800 Product name: Recombinant human MUC2 protein Source: e coli.-derived, PET30a Tag: 6*His Domain: 726-850 aa of M94132 Sequence: MYLEAGDVVVRQEERCVCRDGRLHCRQIRLIGQSCTAPKIHMDCSNLTALATSKPRALSCQTLAAGYYHTECVSGCVCPDGLMDDGRGGCVVEKECPCVHNNDLYSSGAKIKVDCNTCTCKRGRWV 相同性解析による交差性が予測される生物種 |
| Full Name | mucin 2, oligomeric mucus/gel-forming |
| Calculated molecular weight | 540 kDa |
| GenBank accession number | M94132 |
| Gene Symbol | MUC2 |
| Gene ID (NCBI) | 4583 |
| Conjugate | Unconjugated |
| Form | |
| Form | Liquid |
| Purification Method | Protein A purification |
| Storage Buffer | PBS with 0.02% sodium azide and 50% glycerol{{ptg:BufferTemp}}7.3 |
| Storage Conditions | Store at -20°C. Stable for one year after shipment. Aliquoting is unnecessary for -20oC storage. |
Background Information
This gene encodes a member of the mucin protein family. Mucins are high molecular weight glycoproteins produced by many epithelial tissues. The protein encoded by this gene is secreted and forms an insoluble mucous barrier that protects the gut lumen. The protein polymerizes into a gel of which 80% is composed of oligosaccharide side chains by weight. Downregulation of this gene has been observed in patients with Crohn disease and ulcerative colitis.
Protocols
| Product Specific Protocols | |
|---|---|
| IF protocol for MUC2 antibody 82792-2-RR | Download protocol |
| IHC protocol for MUC2 antibody 82792-2-RR | Download protocol |
| Standard Protocols | |
|---|---|
| Click here to view our Standard Protocols |







