Validation Data Gallery
Tested Applications
Recommended dilution
| Application | Dilution |
|---|---|
| It is recommended that this reagent should be titrated in each testing system to obtain optimal results. | |
Product Information
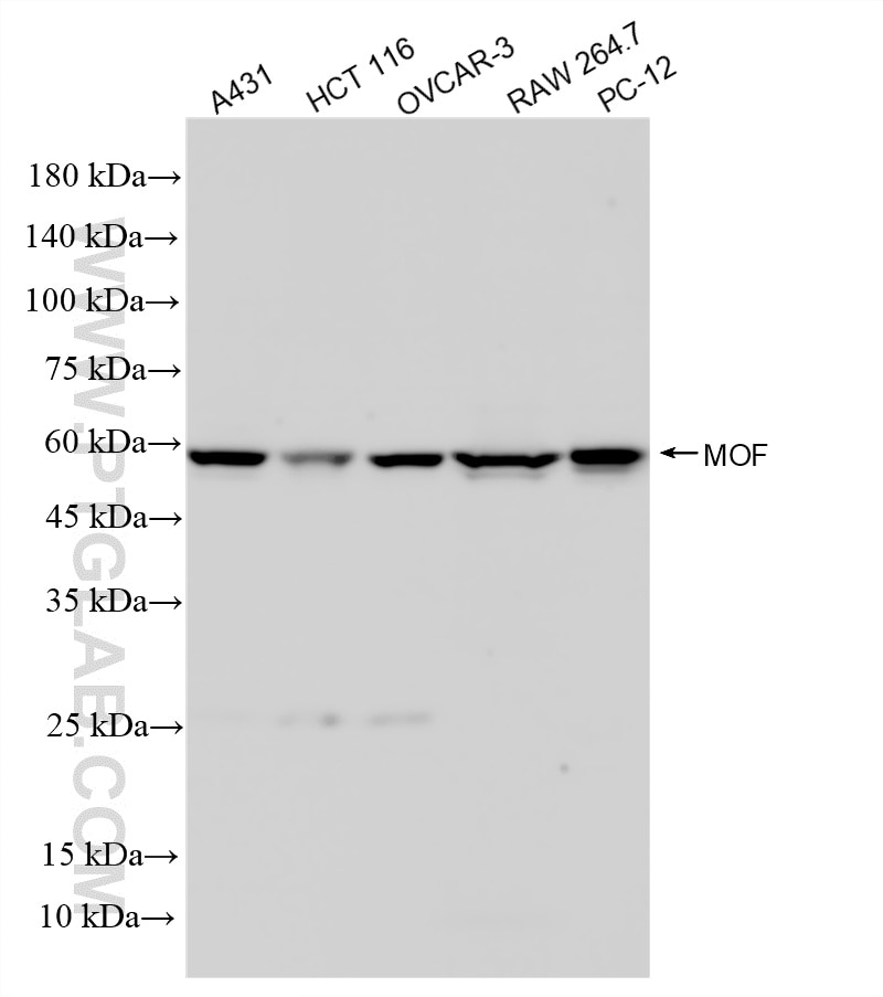
86910-3-PBS targets MOF in WB, IF/ICC, FC (Intra), Indirect ELISA applications and shows reactivity with human, mouse, rat samples.
| Tested Reactivity | human, mouse, rat |
| Host / Isotype | Rabbit / IgG |
| Class | Recombinant |
| Type | Antibody |
| Immunogen |
CatNo: Ag4802 Product name: Recombinant human MOF protein Source: e coli.-derived, PGEX-4T Tag: GST Domain: 118-467 aa of BC037773 Sequence: AVQKNSEKYLSELAEQPERKITRNQKRKHDEINHVQKTYAEMDPTTAALEKEHEAITKVKYVDKIHIGNYEIDAWYFSPFPEDYGKQPKLWLCEYCLKYMKYEKSYRFHLGQCQWRQPPGKEIYRKSNISVYEVDGKDHKIYCQNLCLLAKLFLDHKTLYFDVEPFVFYILTEVDRQGAHIVGYFSKEKESPDGNNVACILTLPPYQRRGYGKFLIAFSYELSKLESTVGSPEKPLSDLGKLSYRSYWSWVLLEILRDFRGTLSIKDLSQMTSITQNDIISTLQSLNMVKYWKGQHVICVTPKLVEEHLKSAQYKKPPITGGWGAAVCRGRWGSVSMWTGRSQGLLIAVT 相同性解析による交差性が予測される生物種 |
| Full Name | MYST histone acetyltransferase 1 |
| Calculated molecular weight | 467 aa, 53 kDa |
| Observed molecular weight | 52 kDa |
| GenBank accession number | BC037773 |
| Gene Symbol | KAT8/MOF |
| Gene ID (NCBI) | 84148 |
| Conjugate | Unconjugated |
| Form | |
| Form | Liquid |
| Purification Method | Protein A purification |
| UNIPROT ID | Q9H7Z6 |
| Storage Buffer | PBS only{{ptg:BufferTemp}}7.3 |
| Storage Conditions | Store at -80°C. |
Background Information
MOF, also known as MYST1, KAT8, is a member of the MYST acetyltransferase family, which is homologous to Drosophila males absent on the first (MOF) protein. Deletion of MYST1 in cells leads to genomic instability, spontaneous chromosomal aberration, cell cycle defects, reduced transcription of certain genes and defective DNA damage repair (PMID: 32711345). MYST1 dually localizes to the nucleus and mitochondria of human cancer cells (PMID: 37813994).



