Validation Data Gallery
Tested Applications
| Positive WB detected in | K-562 cells, mouse placenta tissue, HuH-7 cells, L02 cells, 4T1 cells |
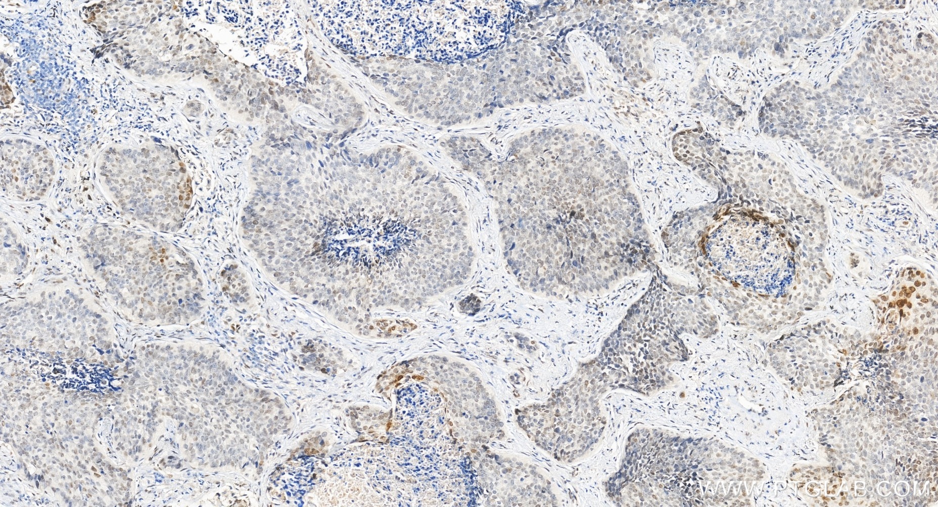
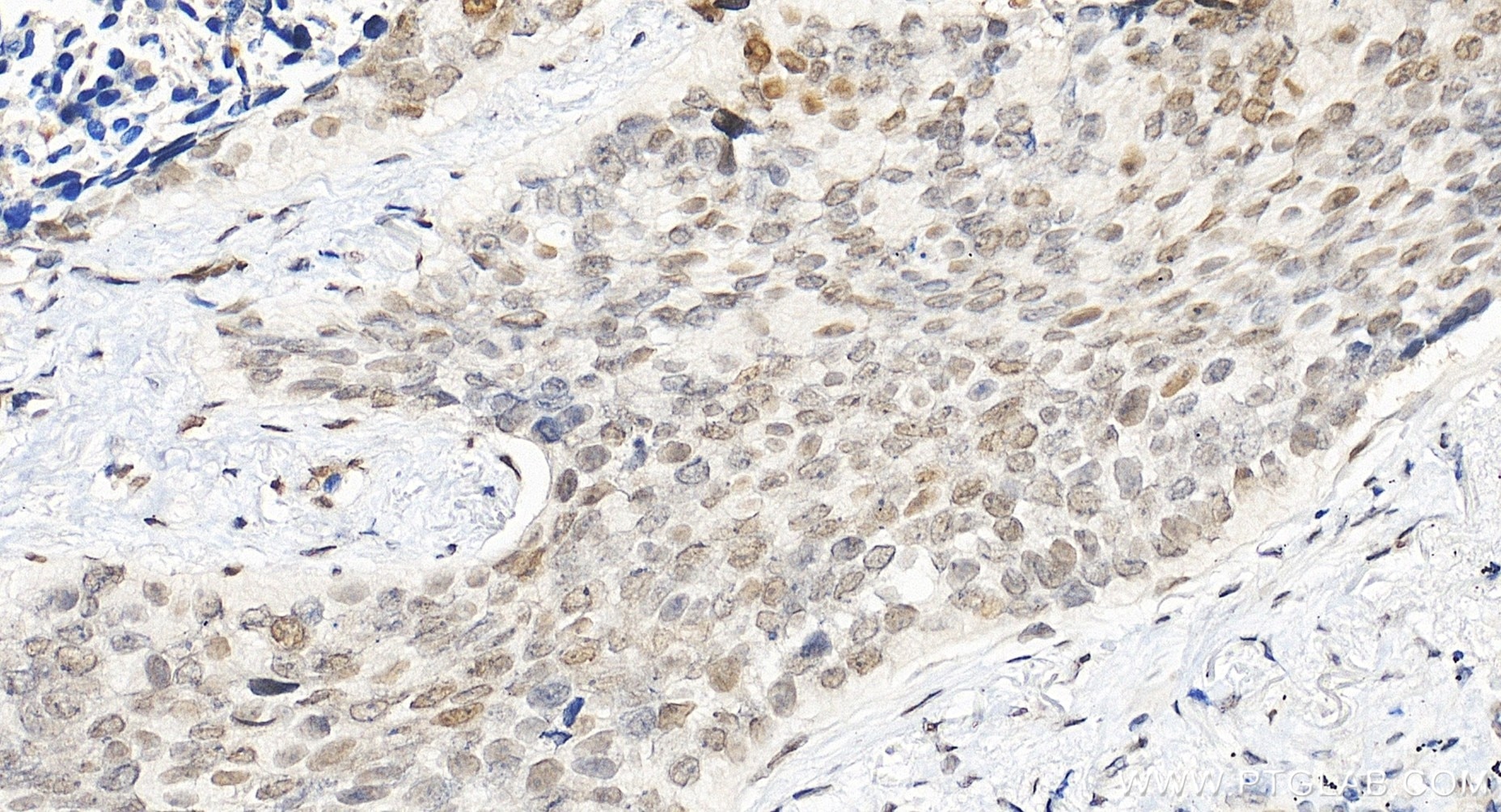
| Positive IHC detected in | human lung cancer tissue, human ovary cancer tissue Note: suggested antigen retrieval with TE buffer pH 9.0; (*) Alternatively, antigen retrieval may be performed with citrate buffer pH 6.0 |
| Positive IF/ICC detected in | U2OS cells |
| Positive ChIP-qPCR detected in | HeLa cells |
Recommended dilution
| Application | Dilution |
|---|---|
| Western Blot (WB) | WB : 1:500-1:2000 |
| Immunohistochemistry (IHC) | IHC : 1:50-1:500 |
| Immunofluorescence (IF)/ICC | IF/ICC : 1:50-1:500 |
| CHIP-QPCR | CHIP-QPCR : 1:10-1:100 |
| It is recommended that this reagent should be titrated in each testing system to obtain optimal results. | |
| Sample-dependent, Check data in validation data gallery. | |
Product Information
85186-3-RR targets MAFF in WB, IHC, IF/ICC, ELISA, ChIP-qPCR applications and shows reactivity with human, mouse samples.
| Tested Reactivity | human, mouse |
| Host / Isotype | Rabbit / IgG |
| Class | Recombinant |
| Type | Antibody |
| Immunogen |
CatNo: Ag3460 Product name: Recombinant human MAFF protein Source: e coli.-derived, PGEX-4T Tag: GST Domain: 1-164 aa of BC015037 Sequence: MSVDPLSSKALKIKRELSENTPHLSDEALMGLSVRELNRHLRGLSAEEVTRLKQRRRTLKNRGYAASCRVKRVCQKEELQKQKSELEREVDKLARENAAMRLELDALRGKCEALQGFARSVAAARGPATLVAPASVITIVKSTPGSGSGPAHGPDPAHGPASCS 相同性解析による交差性が予測される生物種 |
| Full Name | v-maf musculoaponeurotic fibrosarcoma oncogene homolog F (avian) |
| Calculated molecular weight | 17 aa, 8 kDa |
| Observed molecular weight | 18-23 kDa |
| GenBank accession number | BC015037 |
| Gene Symbol | MAFF |
| Gene ID (NCBI) | 23764 |
| Conjugate | Unconjugated |
| Form | |
| Form | Liquid |
| Purification Method | Protein A purification |
| UNIPROT ID | Q9ULX9 |
| Storage Buffer | PBS with 0.02% sodium azide and 50% glycerol{{ptg:BufferTemp}}7.3 |
| Storage Conditions | Store at -20°C. Stable for one year after shipment. Aliquoting is unnecessary for -20oC storage. |
Background Information
MAFF encodes a basic region and leucine zipper (bZIP)-type transcription factor protein (PMID: 8361754). MAFF interacts with the upstream promoter region of oxytocin receptor (OXTR) and plays a role in OXTR upregulation (PubMed: 7798245, PubMed:10527846). Mice lacking MAFF, MAFG and MAFK are embryonic lethal (PMID: 22158967). MAFF has a higher expression in adipose, colon, lung, prostate and skeletal muscle tissues (PMID: 24304889).
Protocols
| Product Specific Protocols | |
|---|---|
| IF protocol for MAFF antibody 85186-3-RR | Download protocol |
| IHC protocol for MAFF antibody 85186-3-RR | Download protocol |
| WB protocol for MAFF antibody 85186-3-RR | Download protocol |
| Standard Protocols | |
|---|---|
| Click here to view our Standard Protocols |






