Validation Data Gallery
Tested Applications
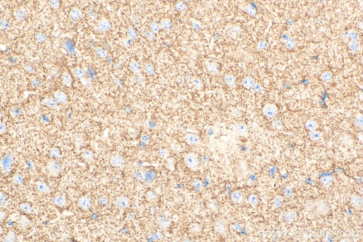
| Positive IHC detected in | mouse brain tissue Note: suggested antigen retrieval with TE buffer pH 9.0; (*) Alternatively, antigen retrieval may be performed with citrate buffer pH 6.0 | 
Recommended dilution
| Application | Dilution | 
|---|---|
| Immunohistochemistry (IHC) | IHC : 1:50-1:500 | 
| It is recommended that this reagent should be titrated in each testing system to obtain optimal results. | |
| Sample-dependent, Check data in validation data gallery. | |
Product Information
Biotin-20785 targets GLAST/EAAT1 in IHC applications and shows reactivity with human, mouse, rat samples.
| Tested Reactivity | human, mouse, rat | 
| Host / Isotype | Rabbit / IgG | 
| Class | Polyclonal | 
| Type | Antibody | 
| Immunogen | CatNo: Ag14177 Product name: Recombinant human SLC1A3 protein Source: e coli.-derived, PGEX-4T Tag: GST Domain: 471-542 aa of BC037310 Sequence: VDWFLDRLRTTTNVLGDSLGAGIVEHLSRHELKNRDVEMGNSVIEENEMKKPYQLIAQDNETEKPIDSETKM相同性解析による交差性が予測される生物種 | 
| Full Name | solute carrier family 1 (glial high affinity glutamate transporter), member 3 | 
| Calculated molecular weight | 542 aa, 60 kDa | 
| Observed molecular weight | 50-55 kDa, 90-100 kDa | 
| GenBank accession number | BC037310 | 
| Gene Symbol | GLAST | 
| Gene ID (NCBI) | 6507 | 
| Conjugate | Biotin | 
| Form | |
| Form | Liquid | 
| Purification Method | Antigen affinity purification | 
| UNIPROT ID | P43003 | 
| Storage Buffer | PBS with 50% glycerol, 0.05% Proclin300, 0.5% BSA{{ptg:BufferTemp}}7.3 | 
| Storage Conditions | Store at -20°C. Avoid exposure to light. Stable for one year after shipment. Aliquoting is unnecessary for -20oC storage. | 
Background Information
SLC1A3, also known as EAAT-1 or GLAST, is a membrane-bound protein localized in glial cells and pre-synaptic glutamatergic nerve endings. It transports the excitatory neurotransmitters L-glutamate and D-aspartate, which is essential for terminating the postsynaptic acction of glutamate. Recently, a correlation between expression/function of glial EAAT-1 and tumor proliferation has been reported. The exceptionally rare expression of EAAT-1 in non-neoplastic choroid plexus (CP) compared to choroid plexus tumors (CPT) may distinguishes neoplastic from normal CP. There are a number of splicing variants of SLC1A3, like GLAST1a and GLAST1b, exist due to the exon skipping. It also undergo glycosylation. Variety of bands can be observed in the western blotting assay: 50-55 kDa represents the unglycosylated GLAST1a or GLAST1b, 65-70 kDa correspond to the glycosylated proteins, larger proteins between 90-130 kDa may be the multimers of SLC1A3. (11086157, 17471058, 12546822)
Protocols
| Product Specific Protocols | |
|---|---|
| IHC protocol for Biotin GLAST/EAAT1 antibody Biotin-20785 | Download protocol | 
| Standard Protocols | |
|---|---|
| Click here to view our Standard Protocols | 


