Validation Data Gallery
Tested Applications
| Positive WB detected in | HeLa cells, HEK-293T cells, Jurkat cells | 
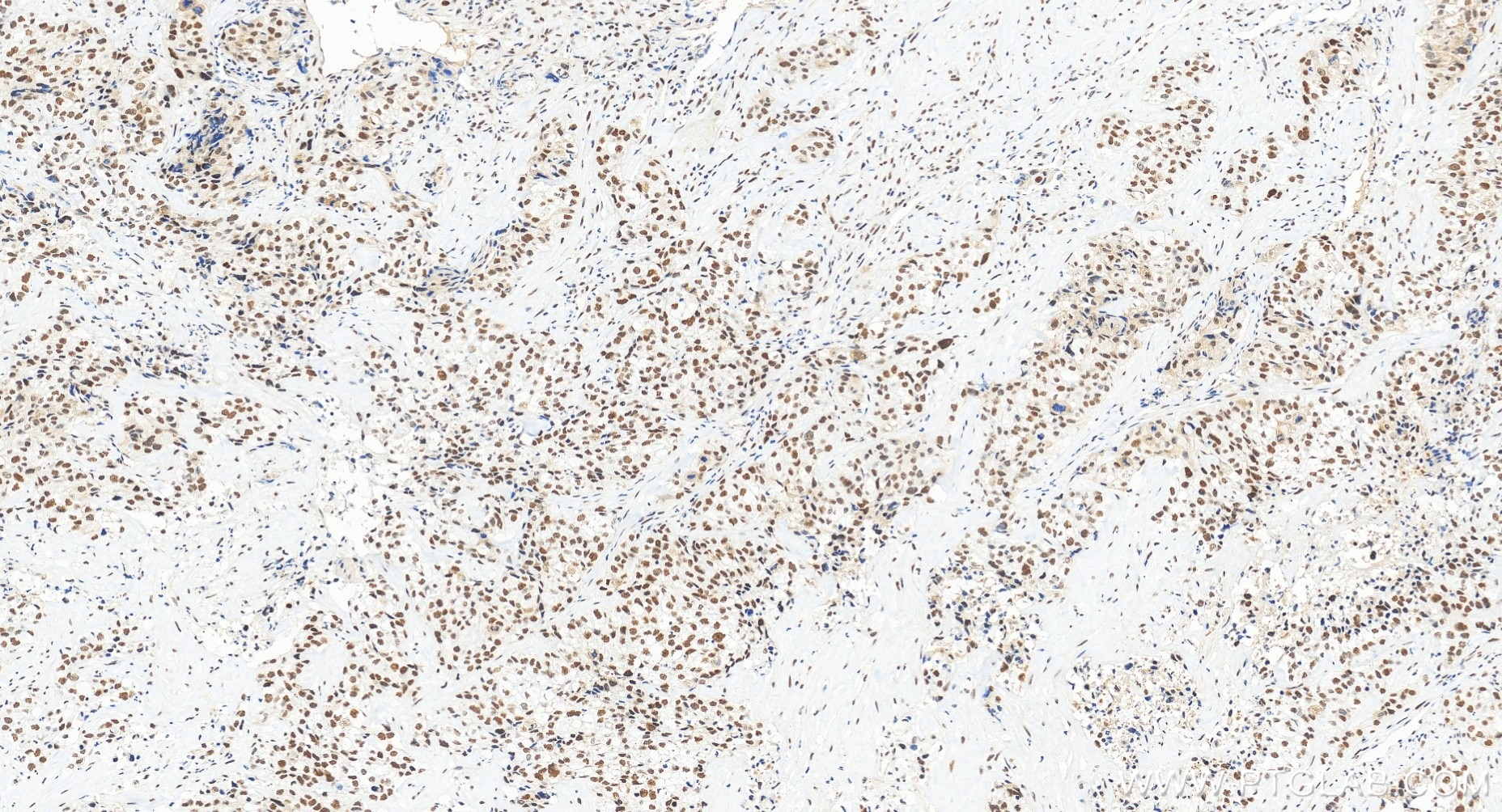
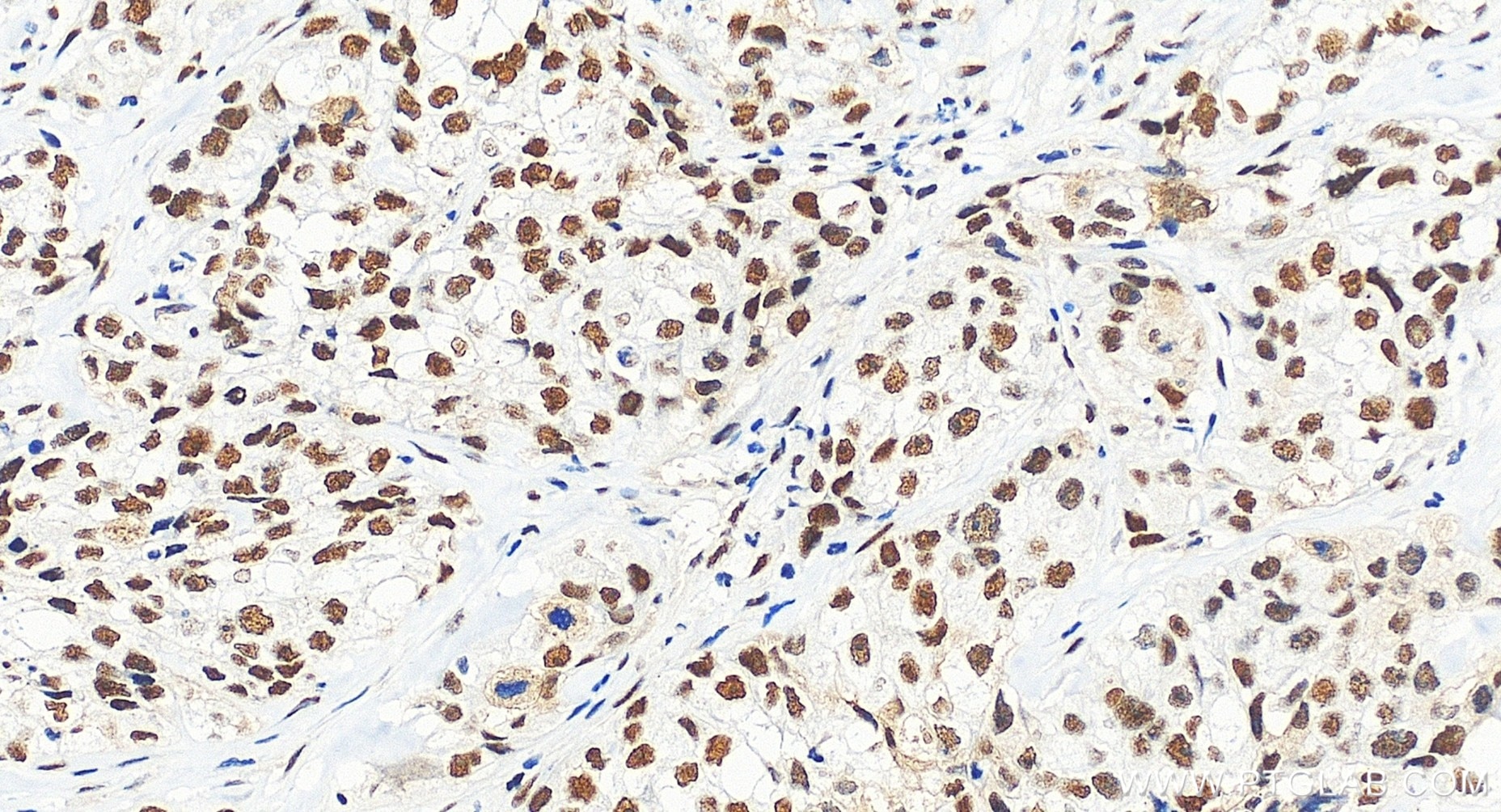
| Positive IHC detected in | human ovary cancer tissue Note: suggested antigen retrieval with TE buffer pH 9.0; (*) Alternatively, antigen retrieval may be performed with citrate buffer pH 6.0 | 
| Positive IF/ICC detected in | HeLa cells | 
Recommended dilution
| Application | Dilution | 
|---|---|
| Western Blot (WB) | WB : 1:5000-1:50000 | 
| Immunohistochemistry (IHC) | IHC : 1:250-1:1000 | 
| Immunofluorescence (IF)/ICC | IF/ICC : 1:50-1:500 | 
| It is recommended that this reagent should be titrated in each testing system to obtain optimal results. | |
| Sample-dependent, Check data in validation data gallery. | |
Product Information
85705-2-RR targets DIS3 in WB, IHC, IF/ICC, ELISA applications and shows reactivity with human samples.
| Tested Reactivity | human | 
| Host / Isotype | Rabbit / IgG | 
| Class | Recombinant | 
| Type | Antibody | 
| Immunogen | CatNo: Ag31725 Product name: Recombinant human DIS3 protein Source: e coli.-derived, PET28a Tag: 6*His Domain: 607-958 aa of NM_014953 Sequence: TTSLRGLNKLAKILKKRRIEKGALTLSSPEVRFHMDSETHDPIDLQTKELRETNSMVEEFMLLANISVAKKIHEEFSEHALLRKHPAPPPSNYEILVKAARSRNLEIKTDTAKSLAESLDQAESPTFPYLNTLLRILATRCMMQAVYFCSGMDNDFHHYGLASPIYTHFTSPIRRYADVIVHRLLAVAIGADCTYPELTDKHKLADICKNLNFRHKMAQYAQRASVAFHTQLFFKSKGIVSEEAYILFVRKNAIVVLIPKYGLEGTVFFEEKDKPNPQLIYDDEIPSLKIEDTVFHVFDKVKVKIMLDSSNLQHQKIRMSLVEPQIPGISIPTDTSNMDLNGPKKKKMKLGK相同性解析による交差性が予測される生物種 | 
| Full Name | DIS3 mitotic control homolog (S. cerevisiae) | 
| Calculated molecular weight | 109KD | 
| Observed molecular weight | 110 kDa | 
| GenBank accession number | NM_014953 | 
| Gene Symbol | DIS3 | 
| Gene ID (NCBI) | 22894 | 
| Conjugate | Unconjugated | 
| Form | |
| Form | Liquid | 
| Purification Method | Protein A purification | 
| UNIPROT ID | Q9Y2L1 | 
| Storage Buffer | PBS with 0.02% sodium azide and 50% glycerol{{ptg:BufferTemp}}7.3 | 
| Storage Conditions | Store at -20°C. Stable for one year after shipment. Aliquoting is unnecessary for -20oC storage. | 
Protocols
| Product Specific Protocols | |
|---|---|
| WB protocol for DIS3 antibody 85705-2-RR | Download protocol | 
| Standard Protocols | |
|---|---|
| Click here to view our Standard Protocols | 




