Validation Data Gallery
Tested Applications
| Positive WB detected in | human kidney tissue, PC-3 cells, human heart tissue, mouse kidney tissue, mouse heart tissue |
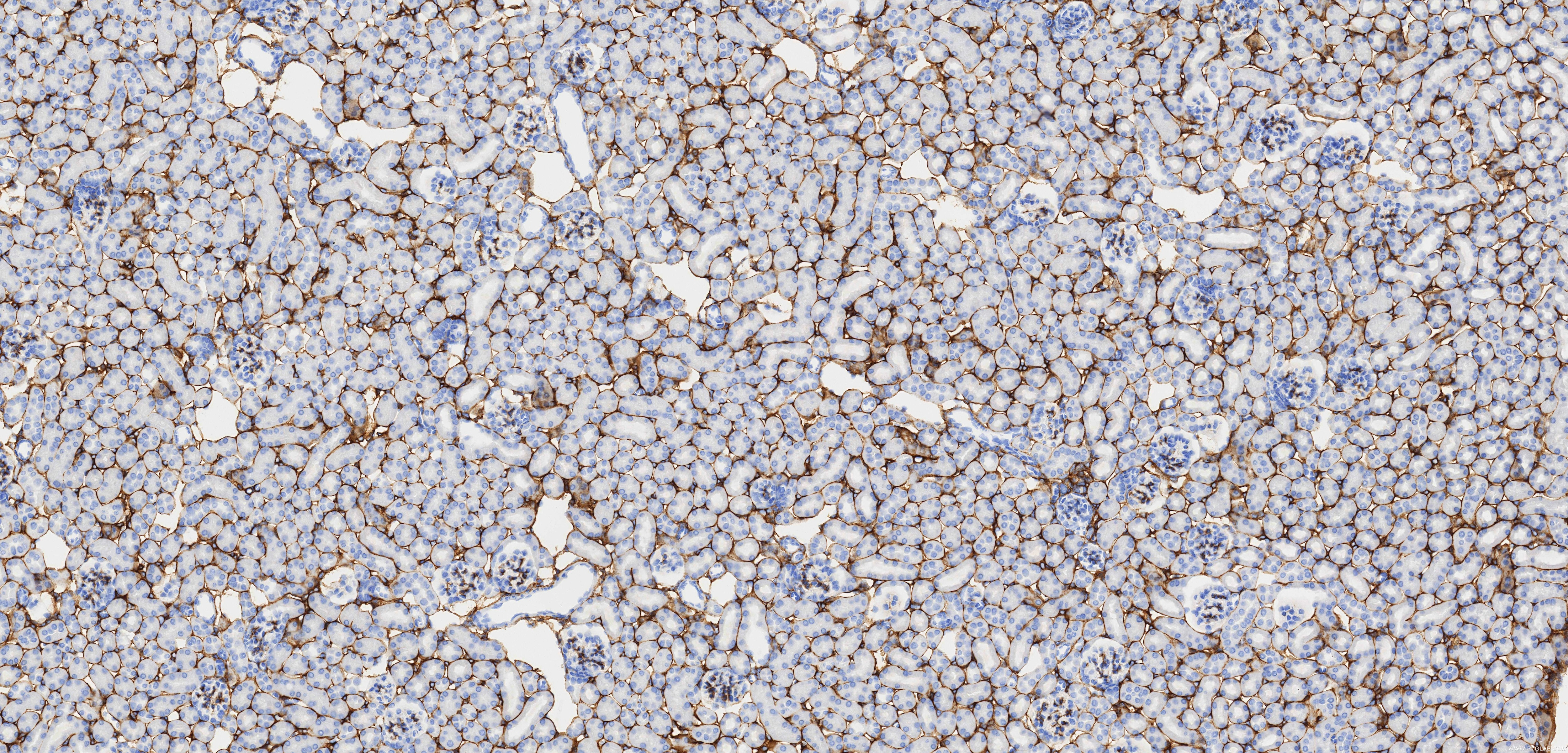
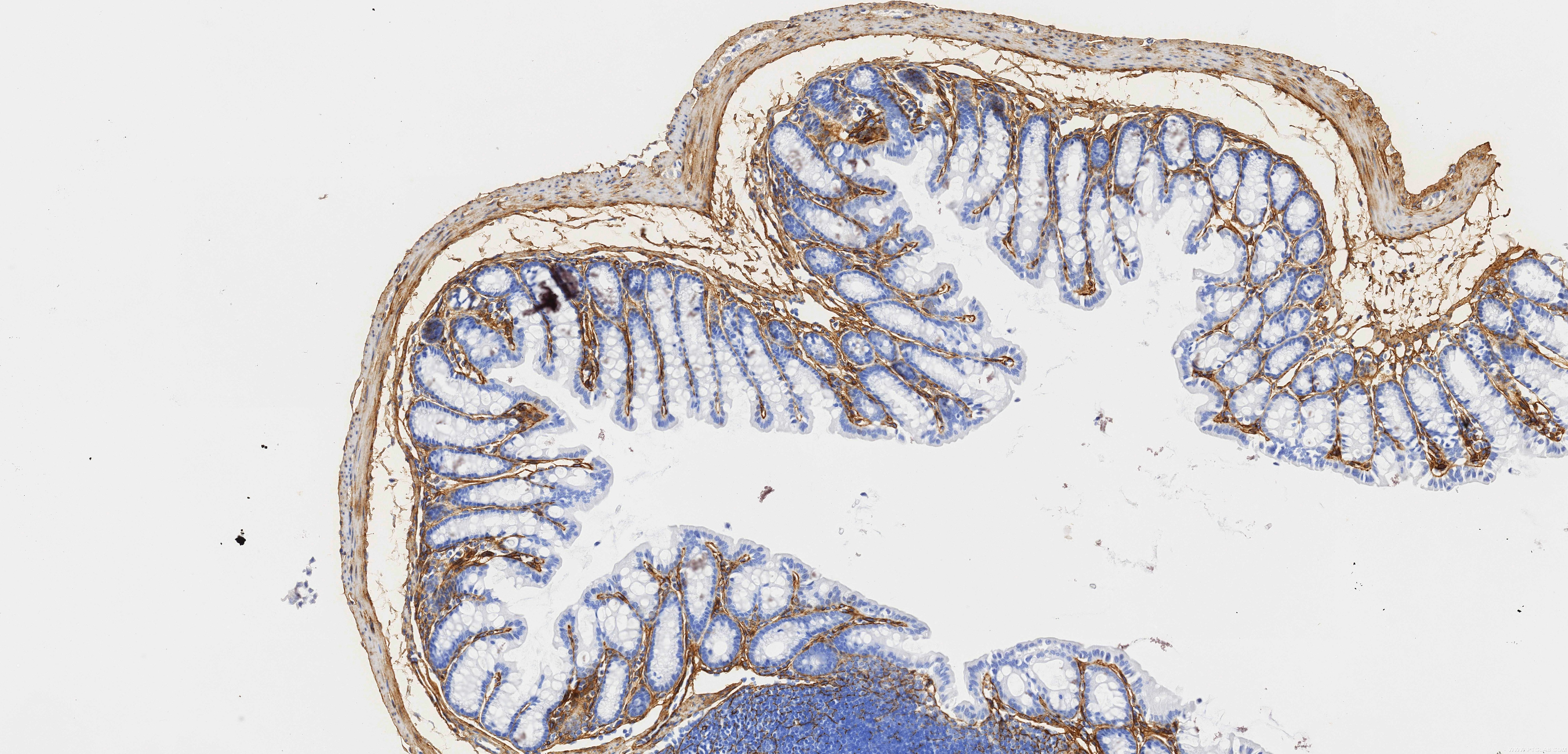
| Positive IHC detected in | mouse liver tissue, human colon tissue, mouse colon tissue, mouse kidney tissue Note: suggested antigen retrieval with TE buffer pH 9.0; (*) Alternatively, antigen retrieval may be performed with citrate buffer pH 6.0 |
Recommended dilution
| Application | Dilution |
|---|---|
| Western Blot (WB) | WB : 1:1000-1:4000 |
| Immunohistochemistry (IHC) | IHC : 1:250-1:1000 |
| It is recommended that this reagent should be titrated in each testing system to obtain optimal results. | |
| Sample-dependent, Check data in validation data gallery. | |
Product Information
85704-1-RR targets COL6A1 in WB, IHC, ELISA applications and shows reactivity with human, mouse samples.
| Tested Reactivity | human, mouse |
| Host / Isotype | Rabbit / IgG |
| Class | Recombinant |
| Type | Antibody |
| Immunogen |
CatNo: Ag11809 Product name: Recombinant human COL6A1 protein Source: e coli.-derived, PET28a Tag: 6*His Domain: 770-1028 aa of BC052575 Sequence: NVISCQGLAPSQGRPGLSLVKENYAELLEDAFLKNVTAQICIDKKCPDYTCPITFSSPADITILLDGSASVGSHNFDTTKRFAKRLAERFLTAGRTDPAHDVRVAVVQYSGTGQQRPERASLQFLQNYTALASAVDAMDFINDATDVNDALGYVTRFYREASSGAAKKRLLLFSDGNSQGATPAAIEKAVQEAQRAGIEIFVVVVGRQVNEPHIRVLVTGKTAEYDVAYGESHLFRVPSYQALLRGVFHQTVSRKVALG 相同性解析による交差性が予測される生物種 |
| Full Name | collagen, type VI, alpha 1 |
| Calculated molecular weight | 1028 aa, 109 kDa |
| Observed molecular weight | 140 kDa |
| GenBank accession number | BC052575 |
| Gene Symbol | COL6A1 |
| Gene ID (NCBI) | 1291 |
| Conjugate | Unconjugated |
| Form | |
| Form | Liquid |
| Purification Method | Protein A purification |
| UNIPROT ID | P12109 |
| Storage Buffer | PBS with 0.02% sodium azide and 50% glycerol{{ptg:BufferTemp}}7.3 |
| Storage Conditions | Store at -20°C. Stable for one year after shipment. Aliquoting is unnecessary for -20oC storage. |
Background Information
Type VI Collagen is a major structural component of microfibrils. Type VI Collagen was found to be present throughout the connective tissue and in the extracellular matrix of cultured fibroblasts (PMID: 6723253). It is a heterotrimer composed of three different chains: alpha-1(VI), alpha-2(VI), and alpha-3(VI) or alpha-5(VI) or alpha-6(VI). The alpha-1(VI) chain is encoded by COL6A1 gene. Mutations in this gene result in Bethlem myopathy and Ullrich congenital muscular dystrophy.
Protocols
| Product Specific Protocols | |
|---|---|
| IHC protocol for COL6A1 antibody 85704-1-RR | Download protocol |
| WB protocol for COL6A1 antibody 85704-1-RR | Download protocol |
| Standard Protocols | |
|---|---|
| Click here to view our Standard Protocols |








