Calponin Recombinant monoclonal antibody, PBS Only (Detector)

Calponin Uni-rAb® Recombinant Antibody for WB, IHC, IF-P, Sandwich ELISA, Indirect ELISA
Cat No. 86977-4-PBS
Clone No.252040C7

Host / Isotype

Rabbit / IgG

Reactivity

human, mouse, rat

Applications

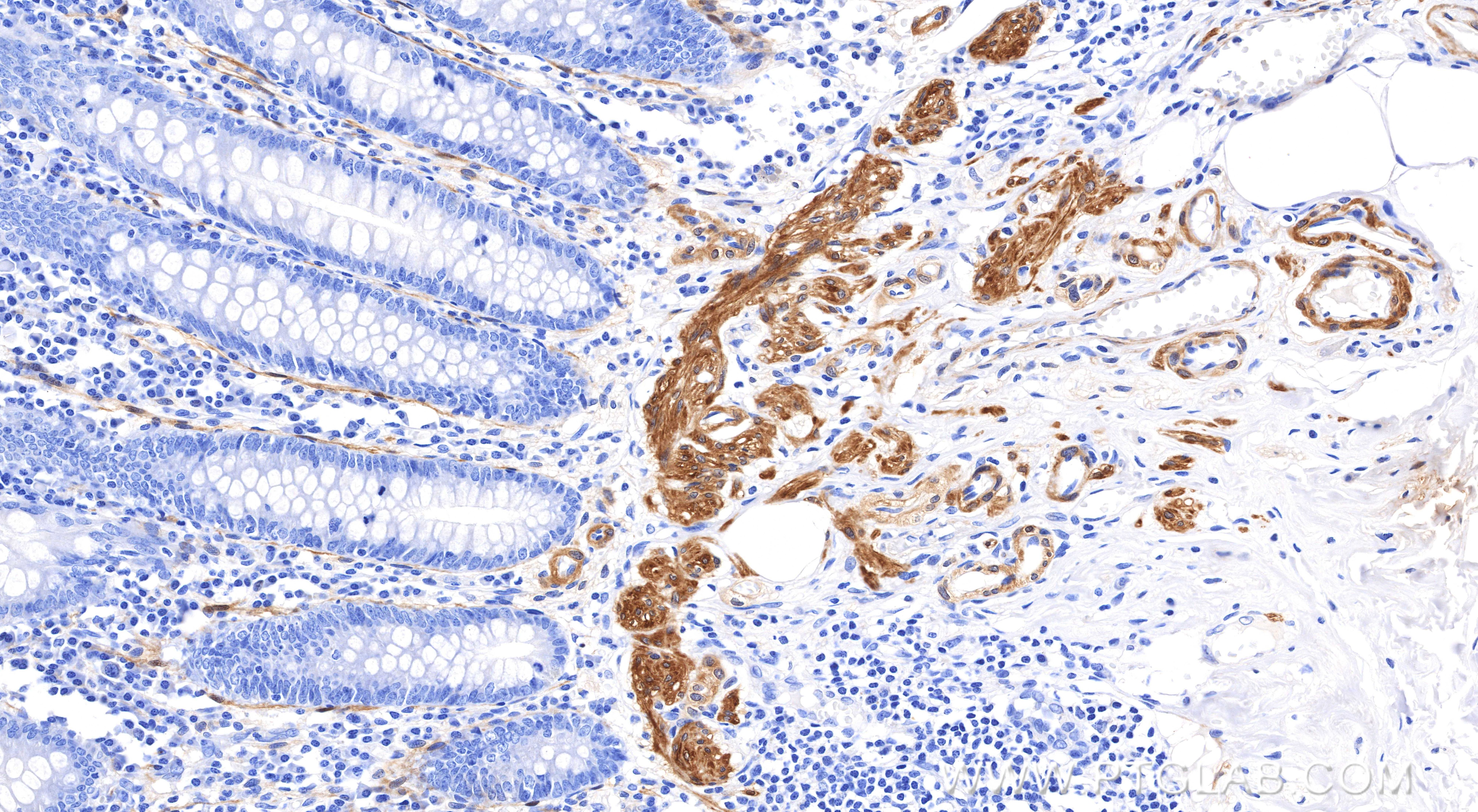
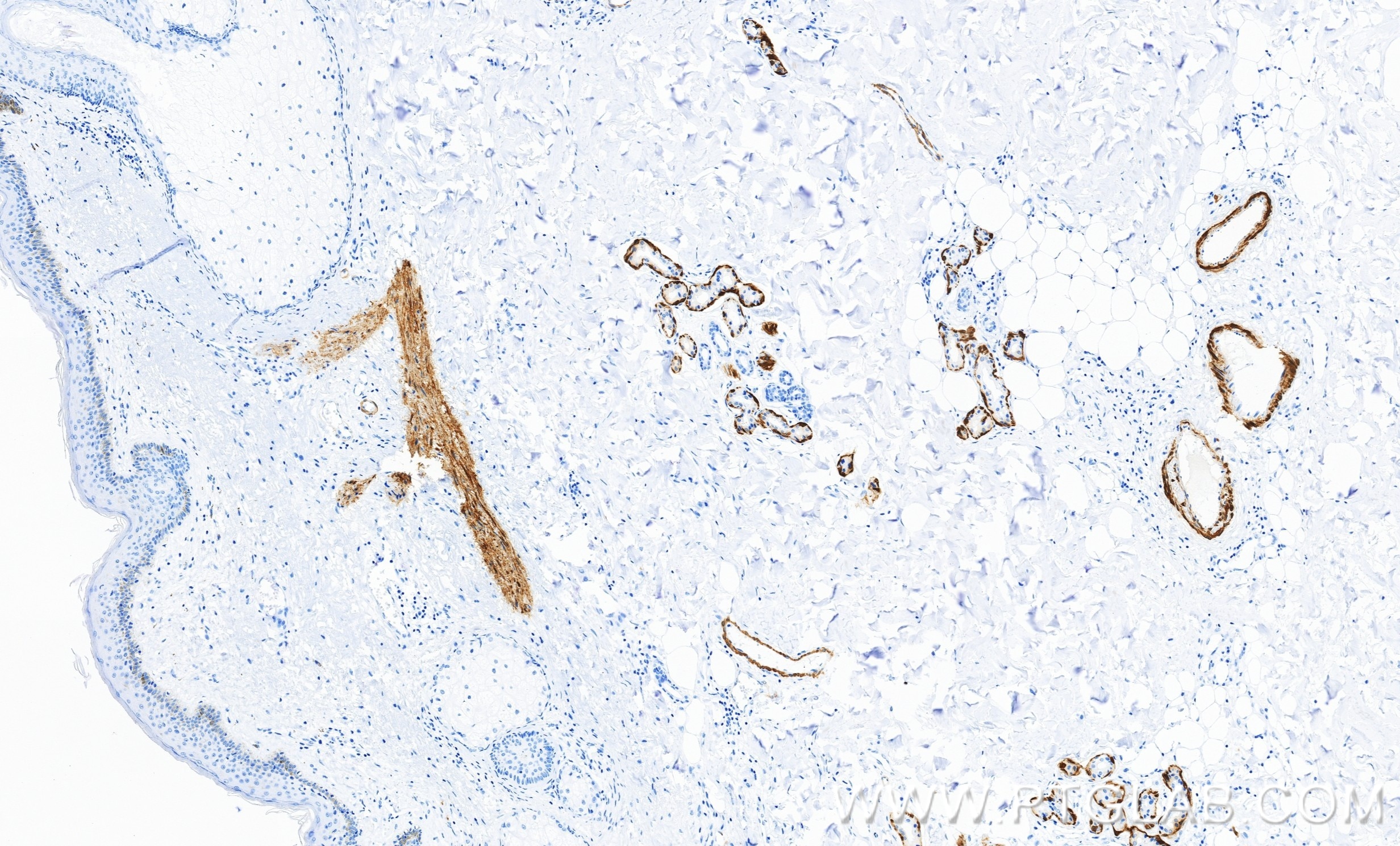
WB, IHC, IF-P, Sandwich ELISA, Indirect ELISA

CNN1, Basic calponin, Calponin 1, Calponin-1, CNN 1

Formulation:  PBS Only
Conjugate:  Unconjugated
Size/Concentration: 

-/ -


ご購入について

国内販売は「コスモ・バイオ株式会社」を通じて行っております。お見積り・ご注文はお近くの販売代理店へご連絡ください。


国内在庫・納期について

約2万点のプロテインテック製品をコスモバイオ社物流センター(国内)に在庫しています。国内在庫の有無はコスモバイオ社ホームページの「品番検索」でカタログ番号を検索して確認できます。


保証・サポートについて

テクニカルサポートまたはご購入後1年間の交換/補填対応を承ります。詳細はこちらをご覧ください。


Tested Applications

Recommended dilution

ApplicationDilution
It is recommended that this reagent should be titrated in each testing system to obtain optimal results.

Product Information

86977-4-PBS targets Calponin as part of a matched antibody pair:

MP02782-1: 86977-5-PBS capture and 86977-4-PBS detection (validated in Sandwich ELISA)

Unconjugated rabbit recombinant monoclonal antibody in PBS only (BSA and azide free) storage buffer at a concentration of 1 mg/mL, ready for conjugation. Created using Proteintech’s proprietary in-house recombinant technology. Recombinant production enables unrivalled batch-to-batch consistency, easy scale-up, and future security of supply.

This conjugation ready format makes antibodies ideal for use in many applications including: ELISAs, multiplex assays requiring matched pairs, mass cytometry, and multiplex imaging applications.Antibody use should be optimized by the end user for each application and assay.

Tested Reactivity human, mouse, rat
Host / Isotype Rabbit / IgG
Class Recombinant
Type Antibody
Immunogen

CatNo: Ag21384

Product name: Recombinant human Calponin protein

Source: e coli.-derived, PGEX-4T

Tag: GST

Domain: 225-265 aa of BC022015

Sequence: KRQIFEPGLGMEHCDTLNVSLQMGSNKGASQRGMTVYGLPR

相同性解析による交差性が予測される生物種
Full Name calponin 1, basic, smooth muscle
Calculated molecular weight 33 kDa
Observed molecular weight 34 kDa
GenBank accession numberBC022015
Gene Symbol Calponin
Gene ID (NCBI) 1264
Conjugate Unconjugated
Form
FormLiquid
Purification MethodProtein A purification
UNIPROT IDP51911
Storage Buffer PBS only{{ptg:BufferTemp}}7.3
Storage ConditionsStore at -80°C.

Background Information

Calponin is a family of actin filament-associated proteins which regulate smooth muscle cell contraction. Three isoforms of calponin exist: calponin h1 (CNN1) , calponin h2 (CNN2) and calponin 3 (CNN3). CNN1 is a basic 34-kDa protein specifically expressed in smooth muscle and a marker of smooth muscle cell differentiation.

Loading...
||
New chat

Able

正在加载,请稍候...