Validation Data Gallery
Tested Applications
| Positive WB detected in | human saliva, human peripheral blood leukocyte |
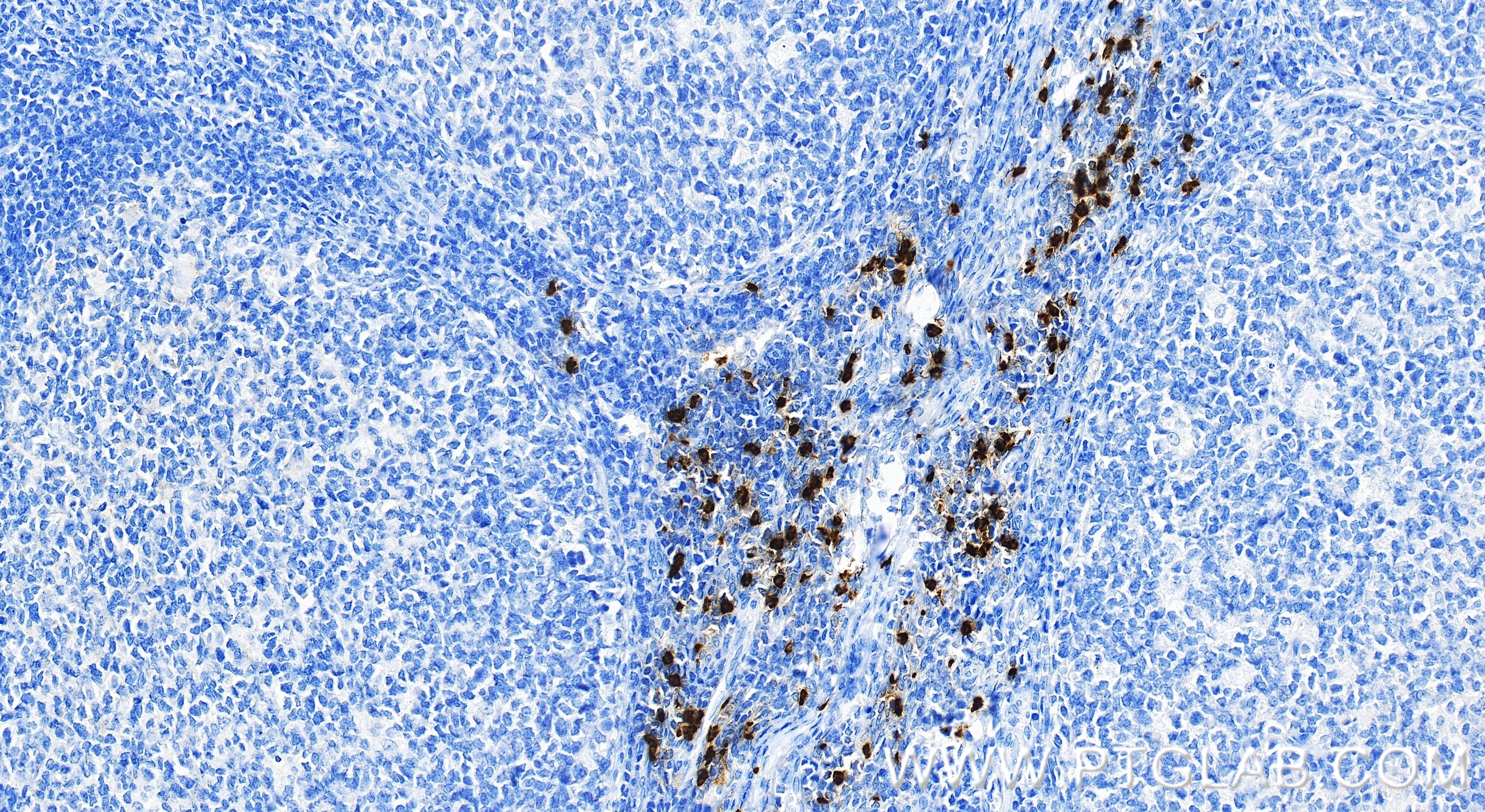
| Positive IHC detected in | human tonsillitis tissue Note: suggested antigen retrieval with TE buffer pH 9.0; (*) Alternatively, antigen retrieval may be performed with citrate buffer pH 6.0 |
| Positive IF/ICC detected in | Transfected CHO-K1 |
Recommended dilution
| Application | Dilution |
|---|---|
| Western Blot (WB) | WB : 1:5000-1:50000 |
| Immunohistochemistry (IHC) | IHC : 1:5000-1:20000 |
| Immunofluorescence (IF)/ICC | IF/ICC : 1:200-1:800 |
| It is recommended that this reagent should be titrated in each testing system to obtain optimal results. | |
| Sample-dependent, Check data in validation data gallery. | |
Product Information
83105-6-RR targets CEACAM8/CD66b in WB, IHC, IF/ICC, ELISA applications and shows reactivity with human samples.
| Tested Reactivity | human |
| Host / Isotype | Rabbit / IgG |
| Class | Recombinant |
| Type | Antibody |
| Immunogen |
CatNo: Eg32133 Product name: Recombinant Human CEACAM-8 protein (Myc Tag, His Tag) Source: mammalian cells-derived, pHZ-KIsec Tag: Myc & 6*His Domain: 35-319 aa of BC026263 Sequence: QLTIEAVPSNAAEGKEVLLLVHNLPQDPRGYNWYKGETVDANRRIIGYVISNQQITPGPAYSNRETIYPNASLLMRNVTRNDTGSYTLQVIKLNLMSEEVTGQFSVHPETPKPSISSNNSNPVEDKDAVAFTCEPETQNTTYLWWVNGQSLPVSPRLQLSNGNRTLTLLSVTRNDVGPYECEIQNPASANFSDPVTLNVLYGPDAPTISPSDTYYHAGVNLNLSCHAASNPPSQYSWSVNGTFQQYTQKLFIPNITTKNSGSYACHTTNSATGRNRTTVRMITVS 相同性解析による交差性が予測される生物種 |
| Full Name | carcinoembryonic antigen-related cell adhesion molecule 8 |
| Calculated molecular weight | 38 kDa |
| Observed molecular weight | 95-100kDa |
| GenBank accession number | BC026263 |
| Gene Symbol | CEACAM8 |
| Gene ID (NCBI) | 1088 |
| Conjugate | Unconjugated |
| Form | |
| Form | Liquid |
| Purification Method | Protein A purification |
| UNIPROT ID | P31997 |
| Storage Buffer | PBS with 0.02% sodium azide and 50% glycerol{{ptg:BufferTemp}}7.3 |
| Storage Conditions | Store at -20°C. Stable for one year after shipment. Aliquoting is unnecessary for -20oC storage. |
Background Information
Carcinoembryonic antigen-related cell adhesion molecule 8 (CEACAM8), also known as CD66b, CGM6 or NCA-95, is a member of the cacinoembryonic antigen (CEA) family which belongs to the immunoglobulin superfamily of cell adhesion molecules (PMID: 16919437). CEACAM8 is a glycosylphosphatidylinositol (GPI)-linked glycoprotein expressed on granulocytes (PMID: 8104998; 18056392). It is involved in regulating adhesion and activation of eosinophils (PMID: 18056392).
Protocols
| Product Specific Protocols | |
|---|---|
| IF protocol for CEACAM8/CD66b antibody 83105-6-RR | Download protocol |
| IHC protocol for CEACAM8/CD66b antibody 83105-6-RR | Download protocol |
| WB protocol for CEACAM8/CD66b antibody 83105-6-RR | Download protocol |
| Standard Protocols | |
|---|---|
| Click here to view our Standard Protocols |





