Validation Data Gallery
Tested Applications
| Positive WB detected in | mouse liver tissue, rat liver tissue |
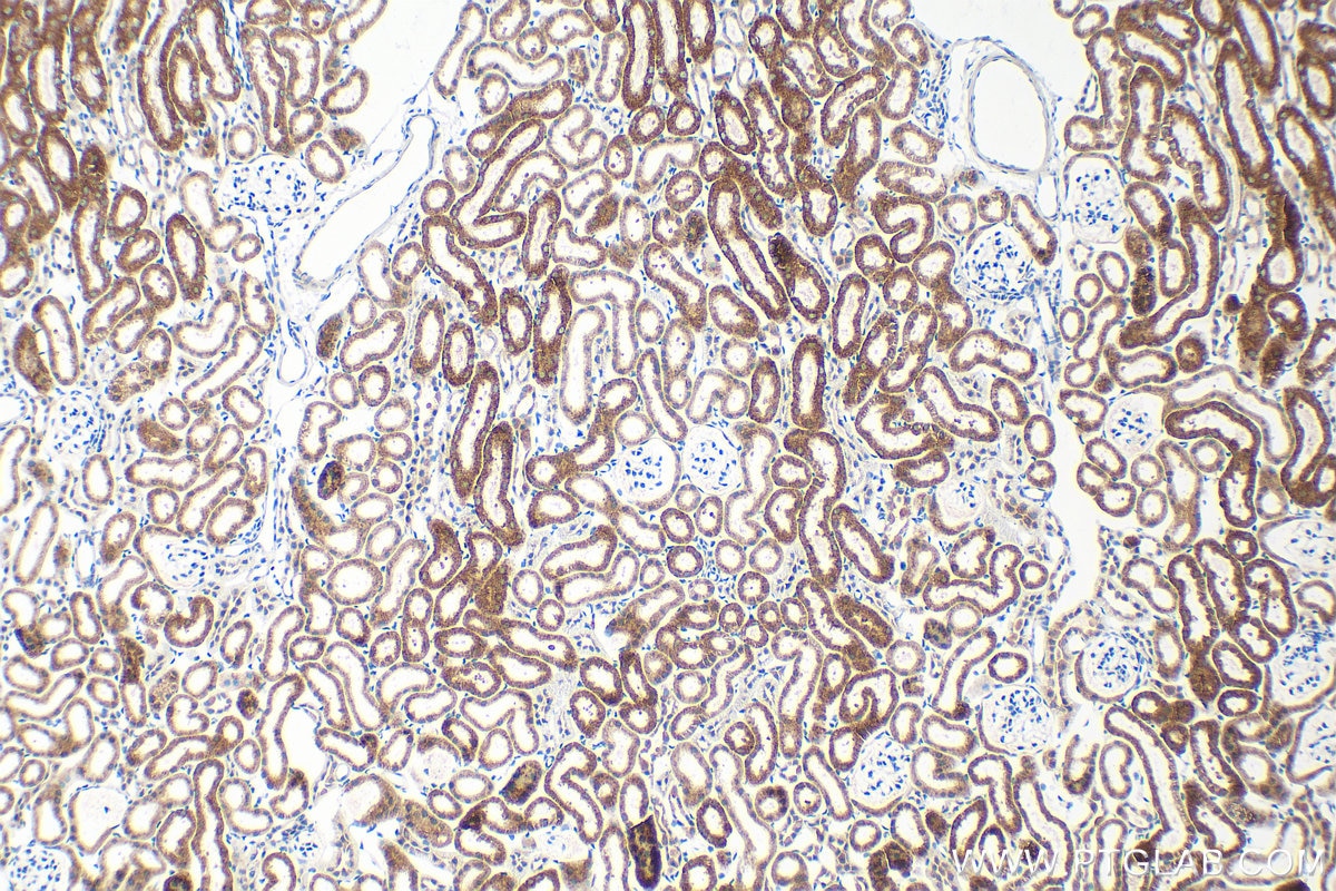
| Positive IHC detected in | human ovarian cancer, mouse kidney tissue Note: suggested antigen retrieval with TE buffer pH 9.0; (*) Alternatively, antigen retrieval may be performed with citrate buffer pH 6.0 |
| Positive FC (Intra) detected in | A431 cells |
Recommended dilution
| Application | Dilution |
|---|---|
| Western Blot (WB) | WB : 1:5000-1:50000 |
| Immunohistochemistry (IHC) | IHC : 1:500-1:2000 |
| Flow Cytometry (FC) (INTRA) | FC (INTRA) : 0.25 ug per 10^6 cells in a 100 µl suspension |
| It is recommended that this reagent should be titrated in each testing system to obtain optimal results. | |
| Sample-dependent, Check data in validation data gallery. | |
Published Applications
| WB | See 2 publications below |
Product Information
83731-2-RR targets ACOX1 in WB, IHC, FC (Intra), ELISA applications and shows reactivity with human, mouse, rat samples.
| Tested Reactivity | human, mouse, rat |
| Cited Reactivity | human |
| Host / Isotype | Rabbit / IgG |
| Class | Recombinant |
| Type | Antibody |
| Immunogen |
CatNo: Ag1405 Product name: Recombinant human AOX protein Source: e coli.-derived, PGEX-4T Tag: GST Domain: 275-660 aa of BC010425 Sequence: YGTMVFVRSFLVGEAARALSKACTIAIRYSAVRHQSEMKPGEPEPQILDFQTQQYKLFPLLATAYAFQFVGAYMKETYHRINEGIGQGDLSELPELHALTAGLKAFTSWTANTGIEACRMACGGHGYSHCSGLPNIYVNFTPSCTFEGENTVMMLQTARFLMKSYDQVHSGKLVCGMVSYLNDLPSQRIQPQQVAVWPTMVDINSPESLTEAYKLRAARLVEIAAKNLQKEVIHRKSKEVAWNLTSVDLVRASEAHCHYVVVKLFSEKLLKIQDKAIQAVLRSLCLLYSLYGISQNAGDFLQGSIMTEPQITQVNQRVKELLTLIRSDAVALVDAFDFQDVTLGSVLGRYDGNVYENLFEWAKNSPLNKAEVHESYKHLKSLQSKL 相同性解析による交差性が予測される生物種 |
| Full Name | acyl-Coenzyme A oxidase 1, palmitoyl |
| Calculated molecular weight | 74 kDa |
| Observed molecular weight | 70-74 kDa, 22 kDa |
| GenBank accession number | BC010425 |
| Gene Symbol | ACOX1 |
| Gene ID (NCBI) | 51 |
| RRID | AB_3671331 |
| Conjugate | Unconjugated |
| Form | |
| Form | Liquid |
| Purification Method | Protein A purification |
| UNIPROT ID | Q15067 |
| Storage Buffer | PBS with 0.02% sodium azide and 50% glycerol{{ptg:BufferTemp}}7.3 |
| Storage Conditions | Store at -20°C. Stable for one year after shipment. Aliquoting is unnecessary for -20oC storage. |
Background Information
ACOX1(Peroxisomal acyl-coenzyme A oxidase 1) is the first and rate-limiting enzyme in the peroxisomal fatty acid beta-oxidation pathway and catalyzes the desaturation of acyl-CoAs to 2-trans-enoyl-CoAs. It belongs to the acyl-CoA oxidase family and also named as ACOX, AOX, SCOX. It has 3 isoforms produced by alternative splicing with the molecular mass of 70-74 kDa and can be cleaved post-translationally into a 50-kDa and a 22-kDa subunit between Val468 and Ala469 (PMID: 10672038). Defects in ACOX1 are the cause of adrenoleukodystrophy pseudoneonatal (Pseudo-NALD).
Protocols
| Product Specific Protocols | |
|---|---|
| FC protocol for ACOX1 antibody 83731-2-RR | Download protocol |
| IHC protocol for ACOX1 antibody 83731-2-RR | Download protocol |
| WB protocol for ACOX1 antibody 83731-2-RR | Download protocol |
| Standard Protocols | |
|---|---|
| Click here to view our Standard Protocols |
Publications
| Species | Application | Title |
|---|---|---|
J Cell Mol Med Succinate Accumulation Accelerates Oxidative Stress to Promote Pulmonary Epithelial Cell Apoptosis During Lung Ischemia-Reperfusion Injury | ||
Biochim Biophys Acta Mol Basis Dis TRIM34 inhibits triple-negative breast cancer progression by attenuating fatty acid synthesis via facilitating FASN ubiquitination |





