Validation Data Gallery
Tested Applications
| Positive WB detected in | A431 cells |
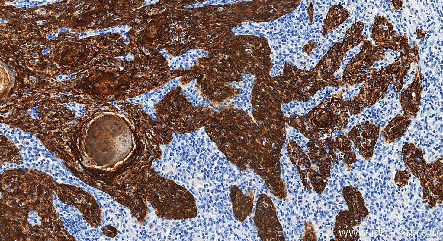
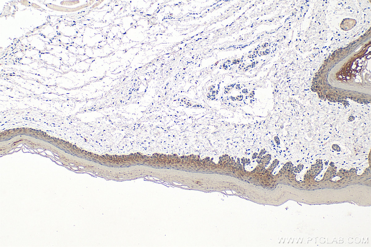
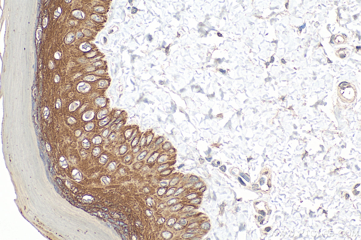
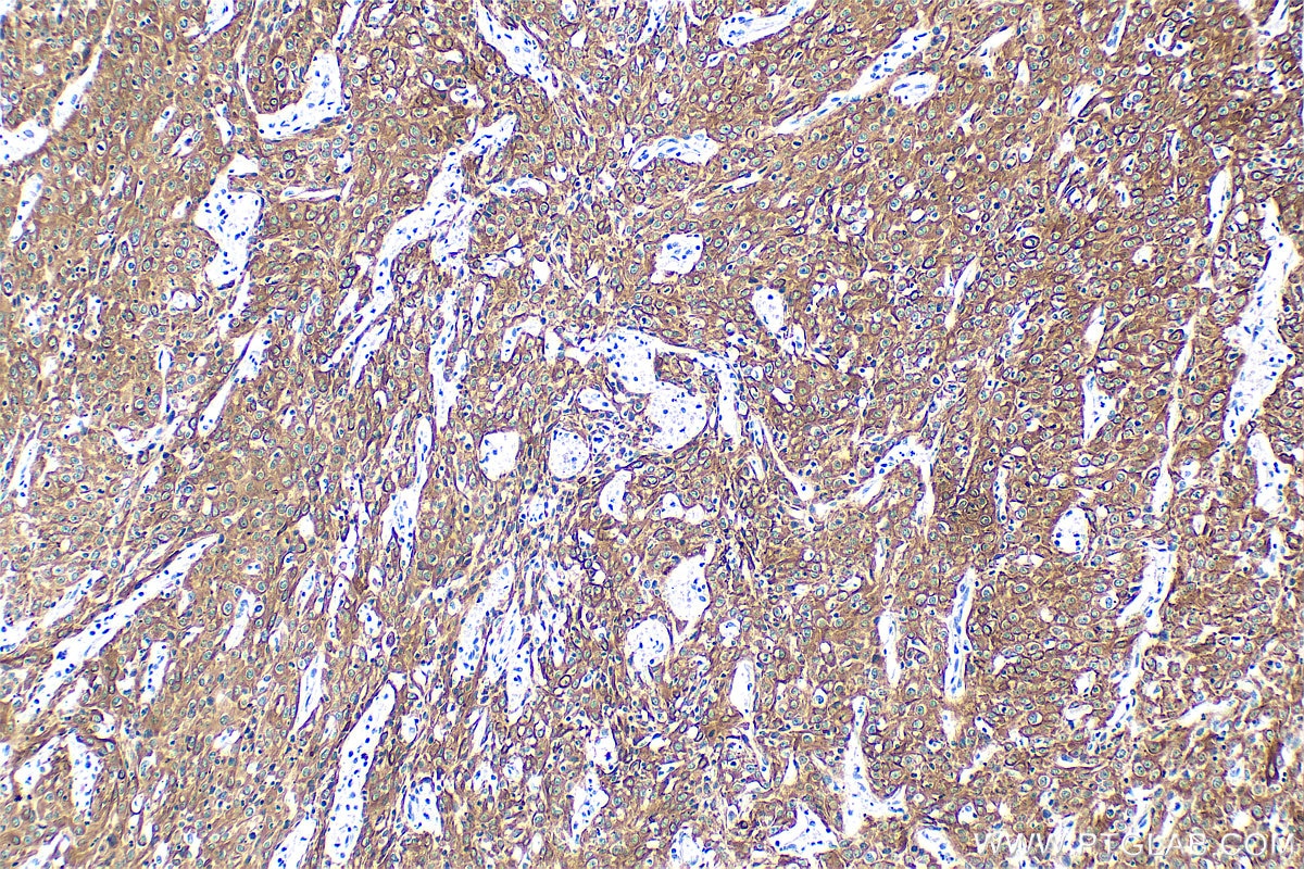
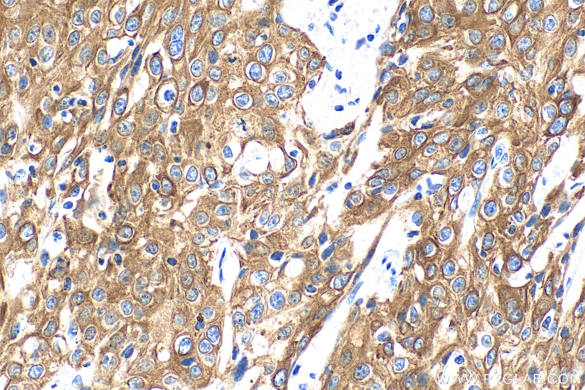
| Positive IHC detected in | human skin cancer tissue, human cervical cancer tissue, mouse skin tissue, rat skin tissue Note: suggested antigen retrieval with TE buffer pH 9.0; (*) Alternatively, antigen retrieval may be performed with citrate buffer pH 6.0 |
| Positive IF/ICC detected in | HeLa cells, A431 cells |
Recommended dilution
| Application | Dilution |
|---|---|
| Western Blot (WB) | WB : 1:500-1:2000 |
| Immunohistochemistry (IHC) | IHC : 1:2000-1:8000 |
| Immunofluorescence (IF)/ICC | IF/ICC : 1:125-1:500 |
| It is recommended that this reagent should be titrated in each testing system to obtain optimal results. | |
| Sample-dependent, Check data in validation data gallery. | |
Published Applications
| IHC | See 1 publications below |
| IF | See 2 publications below |
Product Information
60247-1-Ig targets Cytokeratin 15 in WB, IHC, IF/ICC, ELISA applications and shows reactivity with human, mouse, rat samples.
| Tested Reactivity | human, mouse, rat |
| Cited Reactivity | human, mouse |
| Host / Isotype | Mouse / IgG1 |
| Class | Monoclonal |
| Type | Antibody |
| Immunogen |
CatNo: Ag0185 Product name: Recombinant human KRT15 protein Source: e coli.-derived, PGEX-4T Tag: GST Domain: 238-450 aa of BC002641 Sequence: AYLKKNHEEEMKEFSSQLAGQVNVEMDAAPGVDLTRVLAEMREQYEAMAEKNRRDVEAWFFSKTEELNKEVASNTEMIQTSKTEITDLRRTMQELEIELQSQLSMKAGLENSLAETECRYATQLQQIQGLIGGLEAQLSELRCEMEAQNQEYKMLLDIKTRLEQEIATYRSLLEGQDAKMAGIGIREASSGGGGSSSNFHINVEESVDGQVVS 相同性解析による交差性が予測される生物種 |
| Full Name | keratin 15 |
| Calculated molecular weight | 49 kDa |
| Observed molecular weight | 49 kDa |
| GenBank accession number | BC002641 |
| Gene Symbol | KRT15 |
| Gene ID (NCBI) | 3866 |
| RRID | AB_2881369 |
| Conjugate | Unconjugated |
| Form | |
| Form | Liquid |
| Purification Method | Protein G purification |
| UNIPROT ID | P19012 |
| Storage Buffer | PBS with 0.02% sodium azide and 50% glycerol{{ptg:BufferTemp}}7.3 |
| Storage Conditions | Store at -20°C. Stable for one year after shipment. Aliquoting is unnecessary for -20oC storage. |
Background Information
Keratins are a large family of proteins that form the intermediate filament cytoskeleton of epithelial cells. Keratin expression is highly regulated, tissue specific, and varies according to cell-state. Type I keratins consist of acidic, low molecular weight proteins with MW ranging from 40 kDa (KRT19) to 64 kDa (KRT9). Type 2 keratins consist of basic or neutral, high molecular weight proteins with MW from 52 kDa (KRT8) to 67 kDa (KRT18). Keratin 15 is a type I cytokeratin. It is found in some progenitor basal cells within complex epithelia.
Protocols
| Product Specific Protocols | |
|---|---|
| IF protocol for Cytokeratin 15 antibody 60247-1-Ig | Download protocol |
| IHC protocol for Cytokeratin 15 antibody 60247-1-Ig | Download protocol |
| WB protocol for Cytokeratin 15 antibody 60247-1-Ig | Download protocol |
| Standard Protocols | |
|---|---|
| Click here to view our Standard Protocols |
Publications
| Species | Application | Title |
|---|---|---|
Theranostics Stimulation by exosomes from hypoxia-preconditioned hair follicle mesenchymal stem cells facilitates mitophagy by inhibiting the PI3K/AKT/mTOR signaling pathway to alleviate ulcerative colitis | ||
Oxid Med Cell Longev Exosomes Derived from Dermal Papilla Cells Mediate Hair Follicle Stem Cell Proliferation through the Wnt3a/β-Catenin Signaling Pathway | ||
Cell Biosci Multi-omics analysis unveiled fibroblast-mediated pathogenesis in male genital lichen sclerosus. |











