Validation Data Gallery
Tested Applications
| Positive WB detected in | HeLa cells, MDA-MB-231 cells, NIH/3T3 cells | 
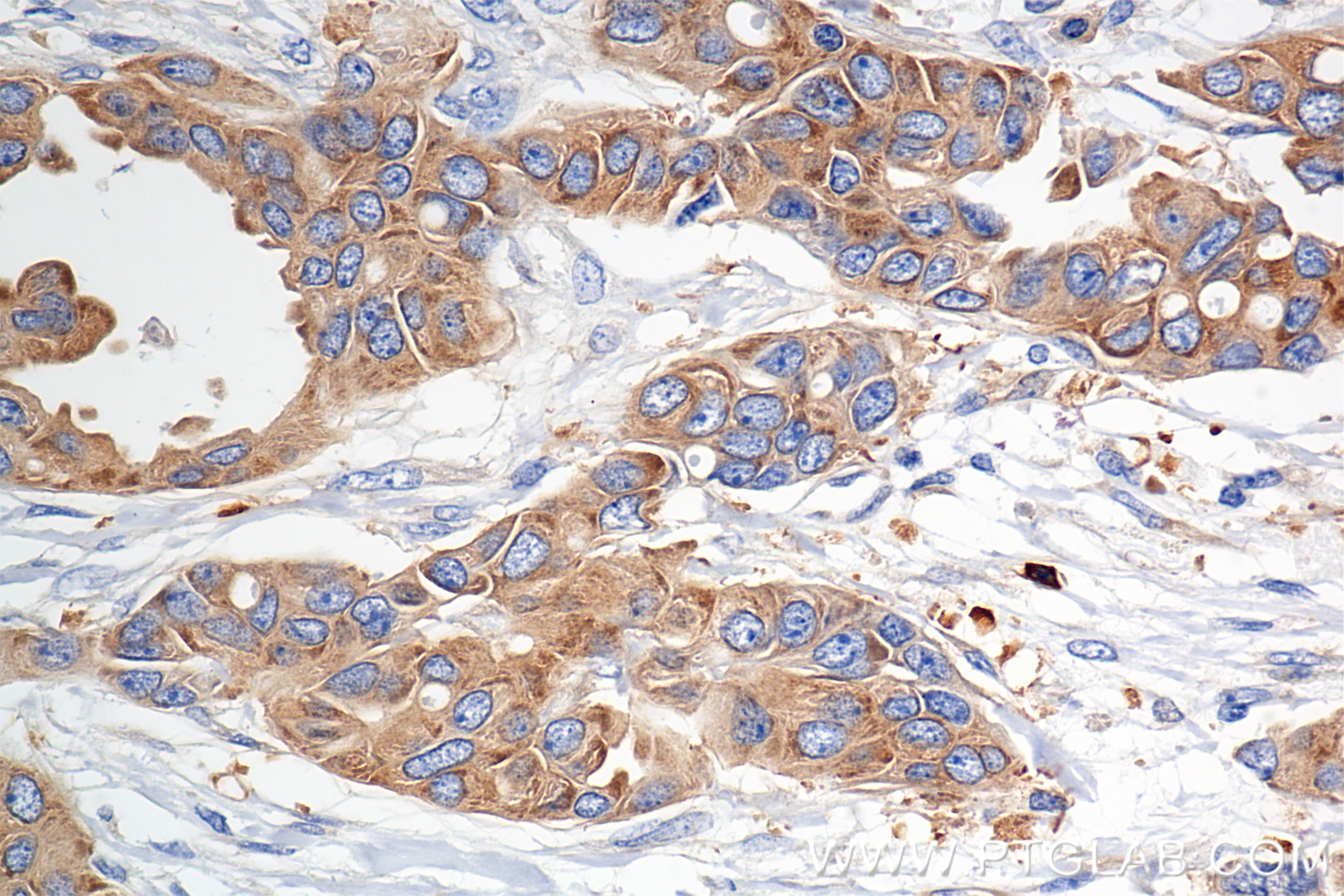
| Positive IHC detected in | Human Breast Cancer(Her2+;ER-;PR-) Note: suggested antigen retrieval with TE buffer pH 9.0; (*) Alternatively, antigen retrieval may be performed with citrate buffer pH 6.0 | 
| Positive IF/ICC detected in | HeLa cells | 
Recommended dilution
| Application | Dilution | 
|---|---|
| Western Blot (WB) | WB : 1:5000-1:50000 | 
| Immunohistochemistry (IHC) | IHC : 1:500-1:2000 | 
| Immunofluorescence (IF)/ICC | IF/ICC : 1:250-1:1000 | 
| It is recommended that this reagent should be titrated in each testing system to obtain optimal results. | |
| Sample-dependent, Check data in validation data gallery. | |
Product Information
85708-2-RR targets mDia1 in WB, IHC, IF/ICC, ELISA applications and shows reactivity with human, mouse samples.
| Tested Reactivity | human, mouse | 
| Host / Isotype | Rabbit / IgG | 
| Class | Recombinant | 
| Type | Antibody | 
| Immunogen | CatNo: Ag14523 Product name: Recombinant human DIAP1 protein Source: e coli.-derived, PGEX-4T Tag: GST Domain: 1211-1272 aa of BC007411 Sequence: AFRRKRGPRQANRKAGCAVTSLLASELTKDDAMAAVPAKVSKNSETFPTILEEAKELVGRAS相同性解析による交差性が予測される生物種 | 
| Full Name | diaphanous homolog 1 (Drosophila) | 
| Calculated molecular weight | 1272 aa, 141 kDa | 
| Observed molecular weight | 140-150 kDa | 
| GenBank accession number | BC007411 | 
| Gene Symbol | mDia1 | 
| Gene ID (NCBI) | 1729 | 
| Conjugate | Unconjugated | 
| Form | |
| Form | Liquid | 
| Purification Method | Protein A purification | 
| UNIPROT ID | O60610 | 
| Storage Buffer | PBS with 0.02% sodium azide and 50% glycerol{{ptg:BufferTemp}}7.3 | 
| Storage Conditions | Store at -20°C. Stable for one year after shipment. Aliquoting is unnecessary for -20oC storage. | 
Background Information
mDia1, also known as DIAPH1 or Diap1, is a mammalian diaphanous-related formin which is implicated in multiple physical and pathological events including cytoskeletal dynamics, autosomal hearing loss, and myelodysplasia. Depending upon the cell type and position in the cell cycle, mDia1 has been shown to localize to the cell cortex, trafficking endosomes, cleavage furrow, mid-bodies, and centrosomes, the cytoplasmic microtubule-organizing center crucial for cell division. Mutation of mDia1 has been linked to microcephaly. This antibody recognizes the endogenous mDia1 mainly around 140-150 kDa, while sometimes an additional 70 kDa can also be observed which is proposed to be a fragment of 140-150 kDa molecules (26011179).
Protocols
| Product Specific Protocols | |
|---|---|
| IF protocol for mDia1 antibody 85708-2-RR | Download protocol | 
| IHC protocol for mDia1 antibody 85708-2-RR | Download protocol | 
| WB protocol for mDia1 antibody 85708-2-RR | Download protocol | 
| Standard Protocols | |
|---|---|
| Click here to view our Standard Protocols | 





