Validation Data Gallery
Tested Applications
| Positive WB detected in | HeLa cells, HepG2 cells |
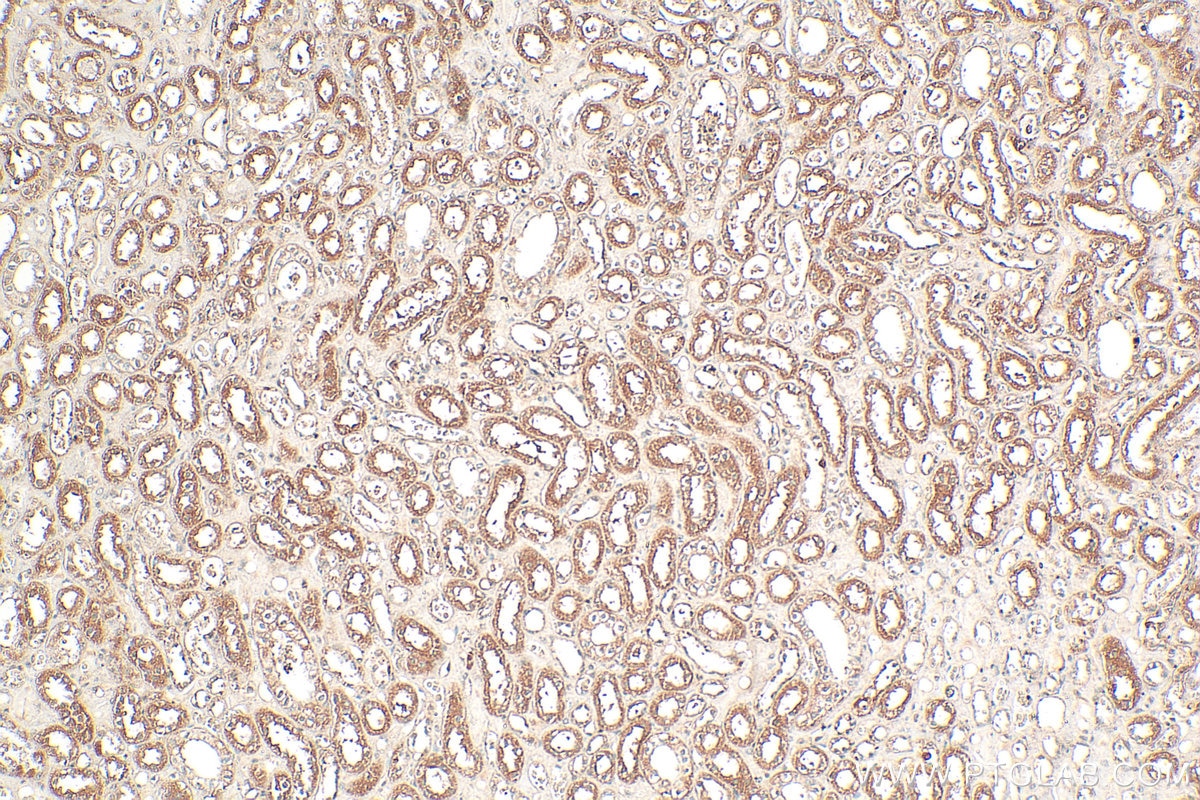
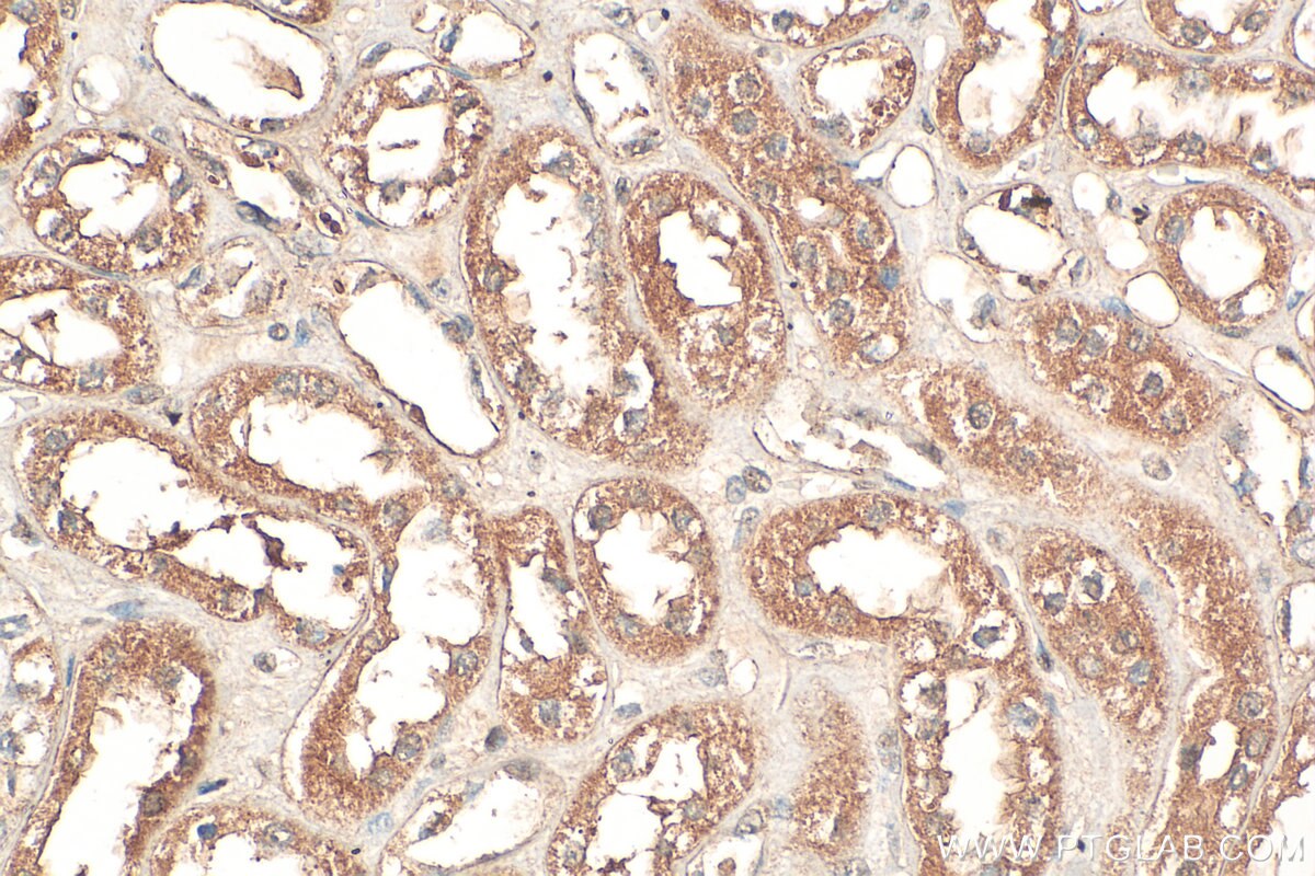
| Positive IHC detected in | human colon tissue, human kidney tissue Note: suggested antigen retrieval with TE buffer pH 9.0; (*) Alternatively, antigen retrieval may be performed with citrate buffer pH 6.0 |
Recommended dilution
| Application | Dilution |
|---|---|
| Western Blot (WB) | WB : 1:5000-1:50000 |
| Immunohistochemistry (IHC) | IHC : 1:50-1:500 |
| It is recommended that this reagent should be titrated in each testing system to obtain optimal results. | |
| Sample-dependent, Check data in validation data gallery. | |
Product Information
21630-1-AP targets ZSCAN29 in WB, IHC, ELISA applications and shows reactivity with human samples.
| Tested Reactivity | human |
| Host / Isotype | Rabbit / IgG |
| Class | Polyclonal |
| Type | Antibody |
| Immunogen |
CatNo: Ag16239 Product name: Recombinant human ZSCAN29 protein Source: e coli.-derived, PGEX-4T Tag: GST Domain: 99-304 aa of BC109271 Sequence: PGRPRSSVTVSVKGQEVRLEKMTPPKSSQELLSVRQESVEPQPRGVPKKERARSPDLGPQEQMNPKEKLKPFQRSGFEAGFENEDNSKRDISEEVQLHRTLLARSERKIPRYLHQGKGNESDCRSGRQWAKTSGEKRGKLTLPEKSLSEVLSQQRPCLGERPYKYLKYSKSFGPNSLLMHQVSHQVENPYKCADCGKSFSRSARLI 相同性解析による交差性が予測される生物種 |
| Full Name | zinc finger and SCAN domain containing 29 |
| Calculated molecular weight | 852 aa, 97 kDa |
| Observed molecular weight | 96-97 kDa |
| GenBank accession number | BC109271 |
| Gene Symbol | ZSCAN29 |
| Gene ID (NCBI) | 146050 |
| RRID | AB_3085664 |
| Conjugate | Unconjugated |
| Form | |
| Form | Liquid |
| Purification Method | Antigen affinity purification |
| UNIPROT ID | Q8IWY8 |
| Storage Buffer | PBS with 0.02% sodium azide and 50% glycerol{{ptg:BufferTemp}}7.3 |
| Storage Conditions | Store at -20°C. Stable for one year after shipment. Aliquoting is unnecessary for -20oC storage. |
Background Information
ZSCAN29 (zinc finger and SCAN domain containing 29), also named as ZNF690 or Zfp690. It is predicted to be located in nucleus and ubiquitous expression in testis and lymph node. The calculated molecular weight of ZSCAN29 is 96 kDa. The genes ZSCAN29 (associated with five disorders: SCZ, BIP, MD, ASD and ADHD) and ZSCAN31 (associated with three disorders: SCZ, BIP and MD) encode zing finger transcription factor proteins that belong to the krueppel C2H2-type zinc-finger protein family. Zinc finger proteins are essential in multiple regulatory mechanisms and some have been associated with psychiatric disorders as reviewed by Squassina et al., 2019 (PMID: 34637873). It also enables sequence-specific double-stranded DNA binding activity and be predicted to be involved in regulation of transcription by RNA polymerase II.
Protocols
| Product Specific Protocols | |
|---|---|
| IHC protocol for ZSCAN29 antibody 21630-1-AP | Download protocol |
| WB protocol for ZSCAN29 antibody 21630-1-AP | Download protocol |
| Standard Protocols | |
|---|---|
| Click here to view our Standard Protocols |




