Validation Data Gallery
Tested Applications
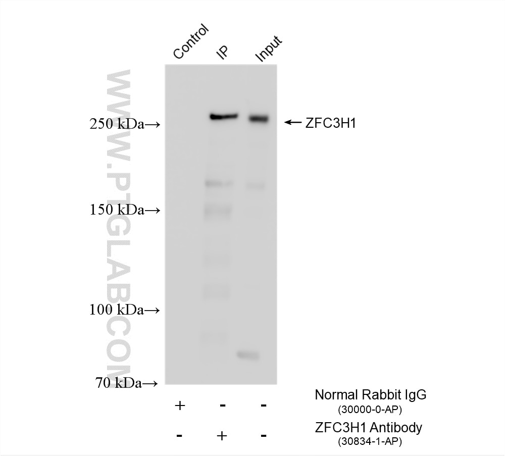
| Positive WB detected in | DU 145 cells, HEK-293T cells |
| Positive IP detected in | DU 145 cells |
| Positive IF/ICC detected in | U2OS cells |
Recommended dilution
| Application | Dilution |
|---|---|
| Western Blot (WB) | WB : 1:500-1:1000 |
| Immunoprecipitation (IP) | IP : 0.5-4.0 ug for 1.0-3.0 mg of total protein lysate |
| Immunofluorescence (IF)/ICC | IF/ICC : 1:200-1:800 |
| It is recommended that this reagent should be titrated in each testing system to obtain optimal results. | |
| Sample-dependent, Check data in validation data gallery. | |
Product Information
30834-1-AP targets ZFC3H1 in WB, IF/ICC, IP, ELISA applications and shows reactivity with human samples.
| Tested Reactivity | human |
| Host / Isotype | Rabbit / IgG |
| Class | Polyclonal |
| Type | Antibody |
| Immunogen |
CatNo: Ag34224 Product name: Recombinant human ZFC3H1 protein Source: e coli.-derived, PGEX-4T Tag: GST Domain: 1800-1989 aa of BC156732 Sequence: RNKVQEFKFFTDLVNRCLVTVPARYPIPFSSADYWSNYEFHNRVIFFYLSCVPKTQHSKTLERFCSVMPANSGLALRLLQHEWEESNVQILKLQAKMFTYNIPTCLATWKIAIAAEIVLKGQREVHRLYQRALQKLPLCASLWKDQLLFEASEGGKTDNLRKLVSKCQEIGVSLNELLNLNSNKTESKNH 相同性解析による交差性が予測される生物種 |
| Full Name | zinc finger, C3H1-type containing |
| Calculated molecular weight | 226 kDa |
| Observed molecular weight | 250 kDa |
| GenBank accession number | BC156732 |
| Gene Symbol | ZFC3H1 |
| Gene ID (NCBI) | 196441 |
| RRID | AB_3669762 |
| Conjugate | Unconjugated |
| Form | |
| Form | Liquid |
| Purification Method | Antigen affinity purification |
| UNIPROT ID | O60293 |
| Storage Buffer | PBS with 0.02% sodium azide and 50% glycerol{{ptg:BufferTemp}}7.3 |
| Storage Conditions | Store at -20°C. Stable for one year after shipment. Aliquoting is unnecessary for -20oC storage. |
Background Information
ZFC3H1, also known as CCDC131 and PSRC2, is a large protein (1989 amino acids), with a C3H1- type zinc finger motif in its center, and contains five tetratricopeptide (TRP) repeats and six halftetratricopeptide (HAT) repeats at the C-terminal region. It is involved in the processing of a variety of RNAs and plays a critical role in the degradation of nuclear RNAs (PMID: 34514952).
Protocols
| Product Specific Protocols | |
|---|---|
| IF protocol for ZFC3H1 antibody 30834-1-AP | Download protocol |
| IP protocol for ZFC3H1 antibody 30834-1-AP | Download protocol |
| WB protocol for ZFC3H1 antibody 30834-1-AP | Download protocol |
| Standard Protocols | |
|---|---|
| Click here to view our Standard Protocols |


