Validation Data Gallery
Tested Applications
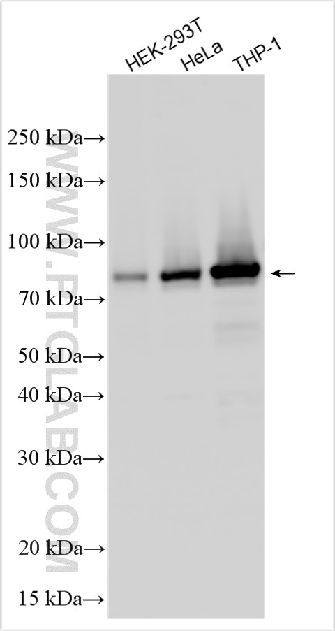
| Positive WB detected in | HEK-293T cells, HeLa cells, THP-1 cells |
Recommended dilution
| Application | Dilution |
|---|---|
| Western Blot (WB) | WB : 1:1000-1:4000 |
| It is recommended that this reagent should be titrated in each testing system to obtain optimal results. | |
| Sample-dependent, Check data in validation data gallery. | |
Product Information
33500-1-AP targets WDR42A in WB, ELISA applications and shows reactivity with human samples.
| Tested Reactivity | human |
| Host / Isotype | Rabbit / IgG |
| Class | Polyclonal |
| Type | Antibody |
| Immunogen |
CatNo: Ag38765 Product name: Recombinant human WDR42A protein Source: e coli.-derived, PGEX-4T Tag: GST Domain: 1-100 aa of BC099709 Sequence: MSSKGSSTDGRTDLANGSLSSSPEEMSGAEEGRETSSGIEVEASDLSLSLTGDDGGPNRTSTESRGTDTESSGEDKDSDSMEDTGHYSINDENRVHDRSE 相同性解析による交差性が予測される生物種 |
| Full Name | WD repeat domain 42A |
| Calculated molecular weight | 597 aa, 67 kDa |
| Observed molecular weight | 67-73 kDa |
| GenBank accession number | BC099709 |
| Gene Symbol | WDR42A |
| Gene ID (NCBI) | 50717 |
| Conjugate | Unconjugated |
| Form | |
| Form | Liquid |
| Purification Method | Antigen affinity Purification |
| UNIPROT ID | Q5TAQ9 |
| Storage Buffer | PBS with 0.02% sodium azide and 50% glycerol{{ptg:BufferTemp}}7.3 |
| Storage Conditions | Store at -20°C. Stable for one year after shipment. Aliquoting is unnecessary for -20oC storage. |
Background Information
WD repeat-containing protein 42A (WDR42A), also named DDB1- and CUL4- associated factor 8 (DCAF8), is a member of the WD40-repeat proteins (PMID: 22500989). WDR42A is a nucleocytoplasmic shuttling protein. WDR42A acts as a substrate receptor for the CUL4-DDB1 E3 ubiquitin-protein ligase complex, which is involved in protein ubiquitination (Uniprot).
Protocols
| Product Specific Protocols | |
|---|---|
| WB protocol for WDR42A antibody 33500-1-AP | Download protocol |
| Standard Protocols | |
|---|---|
| Click here to view our Standard Protocols |
