Validation Data Gallery
Tested Applications
| Positive WB detected in | A549 cells, HEK-293 cells, K-562 cells |
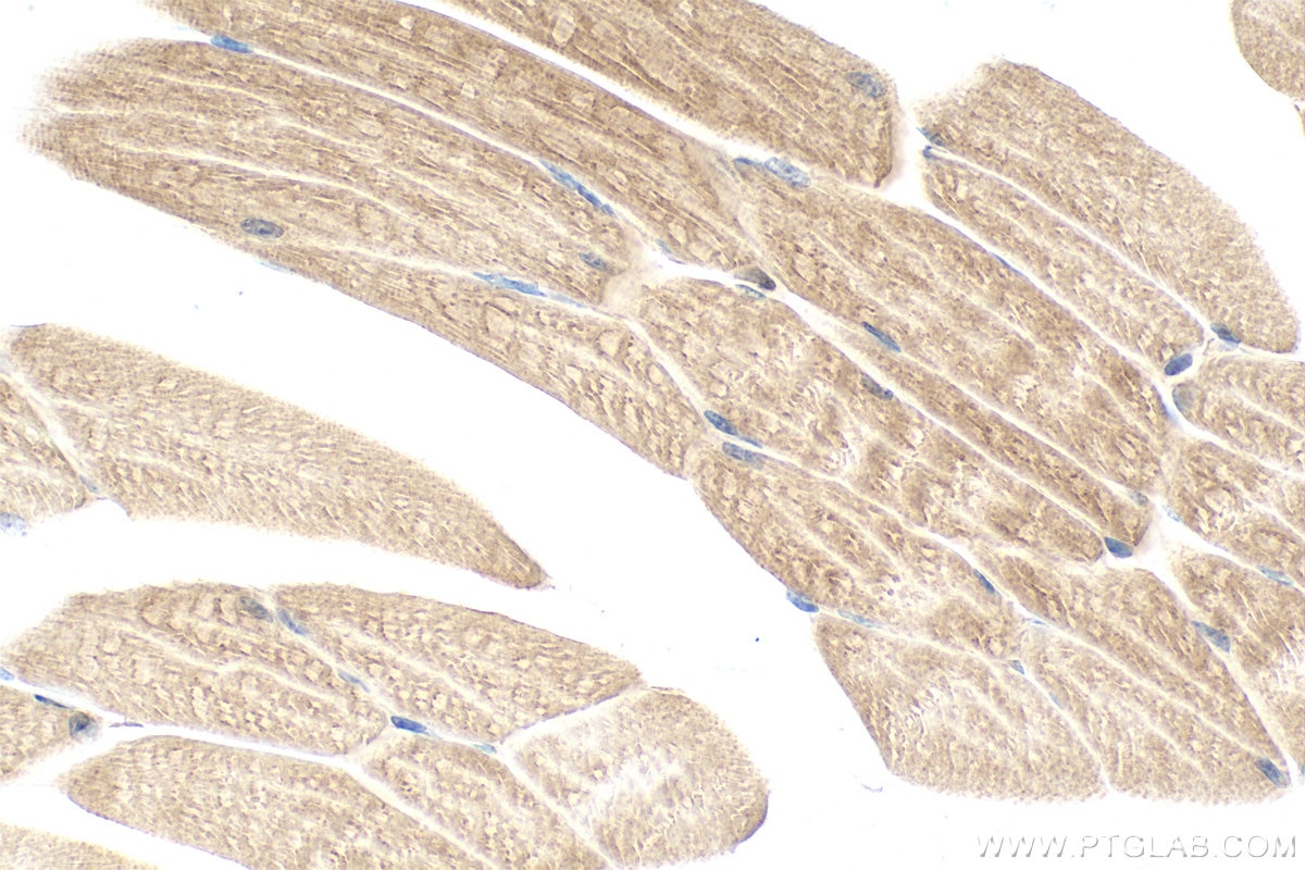
| Positive IHC detected in | mouse skeletal muscle tissue Note: suggested antigen retrieval with TE buffer pH 9.0; (*) Alternatively, antigen retrieval may be performed with citrate buffer pH 6.0 |
Recommended dilution
| Application | Dilution |
|---|---|
| Western Blot (WB) | WB : 1:500-1:3000 |
| Immunohistochemistry (IHC) | IHC : 1:400-1:1600 |
| It is recommended that this reagent should be titrated in each testing system to obtain optimal results. | |
| Sample-dependent, Check data in validation data gallery. | |
Product Information
28629-1-AP targets WDCP in WB, IHC, ELISA applications and shows reactivity with human, mouse samples.
| Tested Reactivity | human, mouse |
| Host / Isotype | Rabbit / IgG |
| Class | Polyclonal |
| Type | Antibody |
| Immunogen |
CatNo: Ag23524 Product name: Recombinant human C2orf44 protein Source: e coli.-derived, PGEX-4T Tag: GST Domain: 495-607 aa of BC035698 Sequence: LIKEIQSPLSSICDGSIALDAEPVTQPASLPRHSSTPDHTSTLEPPRLPQRKNLQSEKETYQLSKEVEILSRNLVEMQRCLSELTNRLHNGKKSSSVYPLSQDLPYVHIIYQI 相同性解析による交差性が予測される生物種 |
| Full Name | chromosome 2 open reading frame 44 |
| Observed molecular weight | 68 kDa |
| GenBank accession number | BC035698 |
| Gene Symbol | WDCP |
| Gene ID (NCBI) | 80304 |
| RRID | AB_3086072 |
| Conjugate | Unconjugated |
| Form | |
| Form | Liquid |
| Purification Method | Antigen affinity purification |
| UNIPROT ID | Q9H6R7 |
| Storage Buffer | PBS with 0.02% sodium azide and 50% glycerol{{ptg:BufferTemp}}7.3 |
| Storage Conditions | Store at -20°C. Stable for one year after shipment. Aliquoting is unnecessary for -20oC storage. |
Protocols
| Product Specific Protocols | |
|---|---|
| IHC protocol for WDCP antibody 28629-1-AP | Download protocol |
| WB protocol for WDCP antibody 28629-1-AP | Download protocol |
| Standard Protocols | |
|---|---|
| Click here to view our Standard Protocols |


