Validation Data Gallery
Tested Applications
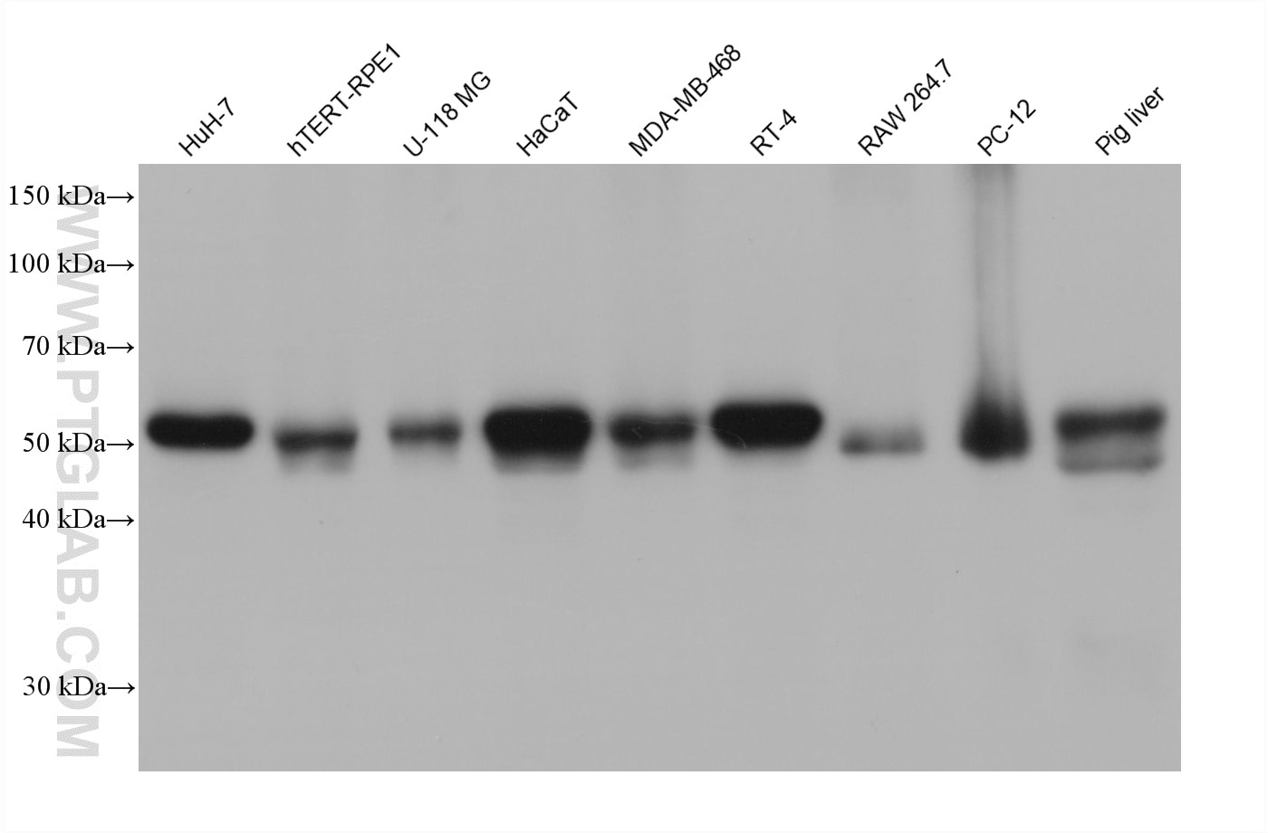
| Positive WB detected in | HuH-7 cells, hTERT-RPE1 cells, U-118 MG cells, HaCaT cells, MDA-MB-468 cells, RT-4 cells, RAW 264.7 cells, PC-12 cells, pig liver tissue |
| Positive IP detected in | HeLa cells |
| Positive IF/ICC detected in | HeLa cells |
Recommended dilution
| Application | Dilution |
|---|---|
| Western Blot (WB) | WB : 1:5000-1:50000 |
| Immunoprecipitation (IP) | IP : 0.5-4.0 ug for 1.0-3.0 mg of total protein lysate |
| Immunofluorescence (IF)/ICC | IF/ICC : 1:500-1:2000 |
| It is recommended that this reagent should be titrated in each testing system to obtain optimal results. | |
| Sample-dependent, Check data in validation data gallery. | |
Product Information
68443-1-Ig targets VPS4B in WB, IF/ICC, IP, ELISA applications and shows reactivity with human, mouse, rat, pig samples.
| Tested Reactivity | human, mouse, rat, pig |
| Host / Isotype | Mouse / IgG1 |
| Class | Monoclonal |
| Type | Antibody |
| Immunogen |
CatNo: Ag11610 Product name: Recombinant human VPS4B protein Source: e coli.-derived, PET28a Tag: 6*His Domain: 1-444 aa of BC039574 Sequence: MSSTSPNLQKAIDLASKAAQEDKAGNYEEALQLYQHAVQYFLHVVKYEAQGDKAKQSIRAKCTEYLDRAEKLKEYLKNKEKKAQKPVKEGQPSPADEKGNDSDGEGESDDPEKKKLQNQLQGAIVIERPNVKWSDVAGLEGAKEALKEAVILPIKFPHLFTGKRTPWRGILLFGPPGTGKSYLAKAVATEANNSTFFSISSSDLVSKWLGESEKLVKNLFQLARENKPSIIFIDEIDSLCGSRSENESEAARRIKTEFLVQMQGVGVDNDGILVLGATNIPWVLDSAIRRRFEKRIYIPLPEPHARAAMFKLHLGTTQNSLTEADFRELGRKTDGYSGADISIIVRDALMQPVRKVQSATHFKKVRGPSRADPNHLVDDLLTPCSPGDPGAIEMTWMDVPGDKLLEPVVSMSDMLRSLSNTKPTVNEHDLLKLKKFTEDFGQEG 相同性解析による交差性が予測される生物種 |
| Full Name | vacuolar protein sorting 4 homolog B (S. cerevisiae) |
| Calculated molecular weight | 444 aa, 49 kDa |
| Observed molecular weight | ~50 kDa |
| GenBank accession number | BC039574 |
| Gene Symbol | VPS4B |
| Gene ID (NCBI) | 9525 |
| RRID | AB_3085156 |
| Conjugate | Unconjugated |
| Form | |
| Form | Liquid |
| Purification Method | Protein G purification |
| UNIPROT ID | O75351 |
| Storage Buffer | PBS with 0.02% sodium azide and 50% glycerol{{ptg:BufferTemp}}7.3 |
| Storage Conditions | Store at -20°C. Stable for one year after shipment. Aliquoting is unnecessary for -20oC storage. |
Background Information
VPS4 (Vacuolar protein sorting-associated protein 4) is involved in intracellular protein trafficking, presumably at a late endosomal protein transport step. VPS4B is a ubiquitously expressed type I AAA+ (ATPases Associated with diverse cellular Activities) ATPase. It cooperates with its highly homologous paralog VPS4A (encoded by the VPS4A gene) to disassemble and release the Endosomal Sorting Complex Required for Transport (ESCRT) machinery. (PMID:31930723)
Protocols
| Product Specific Protocols | |
|---|---|
| IF protocol for VPS4B antibody 68443-1-Ig | Download protocol |
| IP protocol for VPS4B antibody 68443-1-Ig | Download protocol |
| WB protocol for VPS4B antibody 68443-1-Ig | Download protocol |
| Standard Protocols | |
|---|---|
| Click here to view our Standard Protocols |


