Validation Data Gallery
Tested Applications
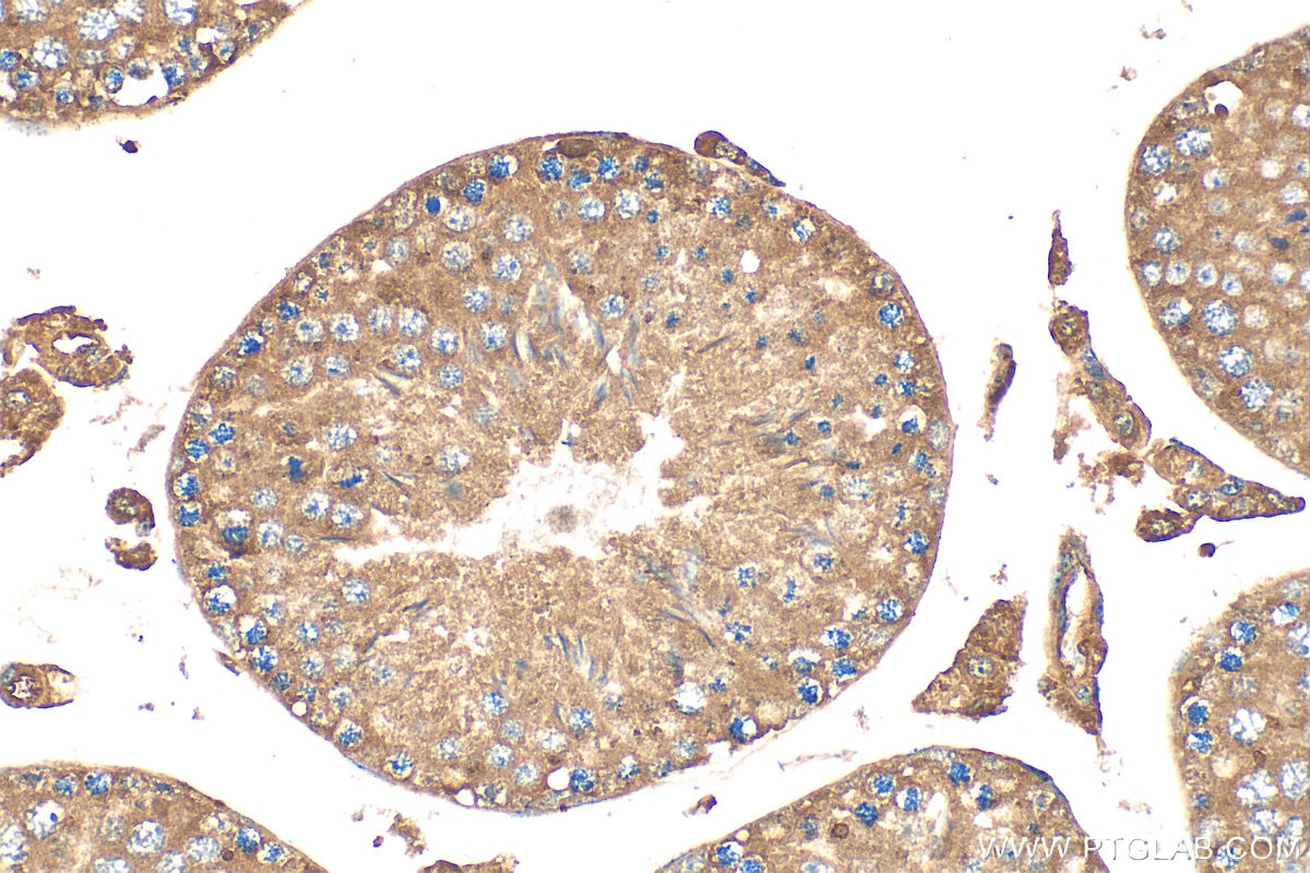
| Positive IHC detected in | mouse testis tissue Note: suggested antigen retrieval with TE buffer pH 9.0; (*) Alternatively, antigen retrieval may be performed with citrate buffer pH 6.0 |
Recommended dilution
| Application | Dilution |
|---|---|
| Immunohistochemistry (IHC) | IHC : 1:50-1:500 |
| It is recommended that this reagent should be titrated in each testing system to obtain optimal results. | |
| Sample-dependent, Check data in validation data gallery. | |
Product Information
20554-1-AP targets VN1R5 in IHC, ELISA applications and shows reactivity with human, mouse samples.
| Tested Reactivity | human, mouse |
| Host / Isotype | Rabbit / IgG |
| Class | Polyclonal |
| Type | Antibody |
| Immunogen |
Peptide 相同性解析による交差性が予測される生物種 |
| Full Name | vomeronasal 1 receptor 5 |
| Calculated molecular weight | 41 kDa |
| GenBank accession number | NM_173858 |
| Gene Symbol | VN1R5 |
| Gene ID (NCBI) | 317705 |
| Conjugate | Unconjugated |
| Form | |
| Form | Liquid |
| Purification Method | Antigen affinity purification |
| UNIPROT ID | Q7Z5H4 |
| Storage Buffer | PBS with 0.02% sodium azide and 50% glycerol{{ptg:BufferTemp}}7.3 |
| Storage Conditions | Store at -20°C. Stable for one year after shipment. Aliquoting is unnecessary for -20oC storage. |
Background Information
The VN1R5 (Vomeronasal type-1 receptor 5) belongs to the vomeronasal receptor family and is primarily involved in detecting pheromones and chemical signals in mammals. In humans, VN1R5 is predicted to function as a G protein-coupled receptor (GPCR) involved in pheromone signaling pathways. Research has linked VN1R5 to cisplatin resistance in head and neck squamous cell carcinoma (HNSCC), indicating potential roles beyond chemosensory functions (PMID: 34111560).
Protocols
| Product Specific Protocols | |
|---|---|
| IHC protocol for VN1R5 antibody 20554-1-AP | Download protocol |
| Standard Protocols | |
|---|---|
| Click here to view our Standard Protocols |
