Validation Data Gallery
Tested Applications
| Positive WB detected in | A431 cells, HepG2 cells, NIH/3T3 cells, PC-12 cells, mouse heart tissue, rat heart tissue |
| Positive IP detected in | HeLa cells |
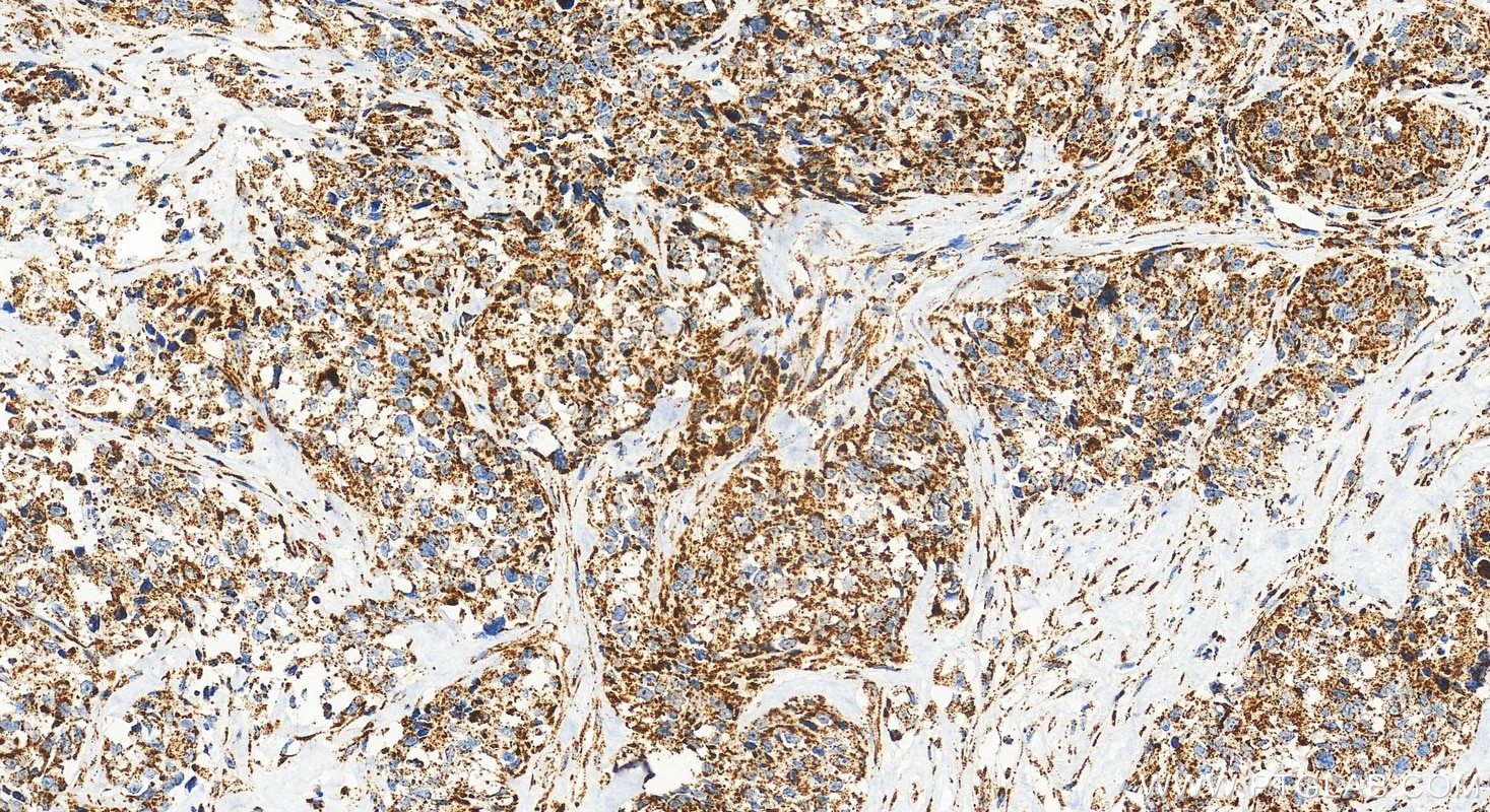
| Positive IHC detected in | human ovary cancer tissue Note: suggested antigen retrieval with TE buffer pH 9.0; (*) Alternatively, antigen retrieval may be performed with citrate buffer pH 6.0 |
Recommended dilution
| Application | Dilution |
|---|---|
| Western Blot (WB) | WB : 1:2000-1:10000 |
| Immunoprecipitation (IP) | IP : 0.5-4.0 ug for 1.0-3.0 mg of total protein lysate |
| Immunohistochemistry (IHC) | IHC : 1:500-1:2000 |
| It is recommended that this reagent should be titrated in each testing system to obtain optimal results. | |
| Sample-dependent, Check data in validation data gallery. | |
Product Information
RMX00001 targets VDAC3 in WB, IHC, IP, ELISA applications and shows reactivity with human, mouse, rat samples.
| Tested Reactivity | human, mouse, rat |
| Host / Isotype | Rabbit / IgG |
| Class | Multi-Recombinant |
| Type | Antibody |
| Immunogen |
Peptide 相同性解析による交差性が予測される生物種 |
| Full Name | voltage-dependent anion channel 3 |
| Calculated molecular weight | 31 kDa |
| Observed molecular weight | 31 kDa |
| GenBank accession number | NM_005662 |
| Gene Symbol | VDAC3 |
| Gene ID (NCBI) | 7419 |
| Conjugate | Unconjugated |
| Form | |
| Form | Liquid |
| Purification Method | N/A |
| UNIPROT ID | Q9Y277 |
| Storage Buffer | PBS with 0.02% sodium azide and 50% glycerol{{ptg:BufferTemp}}7.3 |
| Storage Conditions | Store at -20°C. Stable for one year after shipment. Aliquoting is unnecessary for -20oC storage. |
Background Information
VDAC3 belongs to the eukaryotic mitochondrial porin family. It forms a channel through the mitochondrial outer membrane that allows diffusion of small hydrophilic molecules. This antibody is specific to VDAC3.
Protocols
| Product Specific Protocols | |
|---|---|
| IHC protocol for VDAC3 antibody RMX00001 | Download protocol |
| IP protocol for VDAC3 antibody RMX00001 | Download protocol |
| WB protocol for VDAC3 antibody RMX00001 | Download protocol |
| Standard Protocols | |
|---|---|
| Click here to view our Standard Protocols |


