Validation Data Gallery
Tested Applications
| Positive WB detected in | A549 cells, HEK-293 cells, HeLa cells |
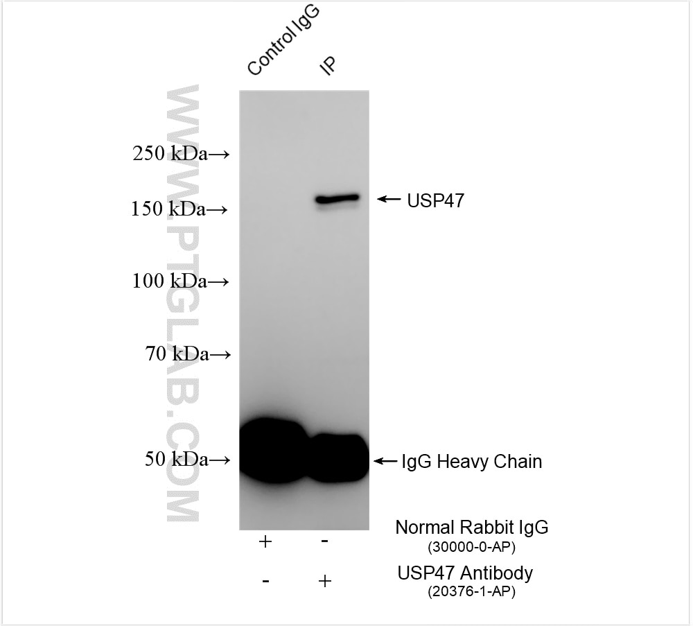
| Positive IP detected in | HeLa cells |
Recommended dilution
| Application | Dilution |
|---|---|
| Western Blot (WB) | WB : 1:500-1:2000 |
| Immunoprecipitation (IP) | IP : 0.5-4.0 ug for 1.0-3.0 mg of total protein lysate |
| It is recommended that this reagent should be titrated in each testing system to obtain optimal results. | |
| Sample-dependent, Check data in validation data gallery. | |
Product Information
20376-1-AP targets USP47 in WB, IP, ELISA applications and shows reactivity with human samples.
| Tested Reactivity | human |
| Host / Isotype | Rabbit / IgG |
| Class | Polyclonal |
| Type | Antibody |
| Immunogen |
CatNo: Ag13990 Product name: Recombinant human USP47 protein Source: e coli.-derived, PGEX-4T Tag: GST Domain: 1219-1375 aa of BC000226 Sequence: MKSMSQLAVLSRRWKPSEMKLDPFQEVVLESSSVDELREKLSEISGIPLDDIEFAKGRGTFPCDISVLDIHQDLDWNPKVSTLNVWPLYICDDGAVIFYRDKTEELMELTDEQRNELMKKESSRLQKTGHRVTYSPRKEKALKIYLDGAPNKDLTQD 相同性解析による交差性が予測される生物種 |
| Full Name | ubiquitin specific peptidase 47 |
| Calculated molecular weight | 1375 aa, 157 kDa |
| Observed molecular weight | 151 kDa |
| GenBank accession number | BC000226 |
| Gene Symbol | USP47 |
| Gene ID (NCBI) | 55031 |
| Conjugate | Unconjugated |
| Form | |
| Form | Liquid |
| Purification Method | Antigen affinity purification |
| UNIPROT ID | Q96K76 |
| Storage Buffer | PBS with 0.02% sodium azide and 50% glycerol{{ptg:BufferTemp}}7.3 |
| Storage Conditions | Store at -20°C. Stable for one year after shipment. Aliquoting is unnecessary for -20oC storage. |
Background Information
USP47 (Ubiquitin-Specific Peptidase 47) is a deubiquitinating enzyme that regulates protein stability and function by specifically removing ubiquitin chains from target proteins. USP47 is involved in various fundamental biological processes, including DNA damage repair, cell cycle progression, Wnt signaling, and epithelial-mesenchymal transition. By deubiquitinating and stabilizing β-catenin and TLE3, this enzyme positively regulates the Wnt/β-catenin signaling pathway, thereby promoting cell proliferation and tumorigenesis. Studies have shown that USP47 is significantly overexpressed in various cancers, such as colorectal cancer, gastric cancer, and breast cancer, where it participates in epithelial-mesenchymal transition (EMT), DNA damage repair, and cell cycle regulation.
Protocols
| Product Specific Protocols | |
|---|---|
| IP protocol for USP47 antibody 20376-1-AP | Download protocol |
| WB protocol for USP47 antibody 20376-1-AP | Download protocol |
| Standard Protocols | |
|---|---|
| Click here to view our Standard Protocols |

