Validation Data Gallery
Tested Applications
| Positive WB detected in | HEK-293 cells, HeLa cells |
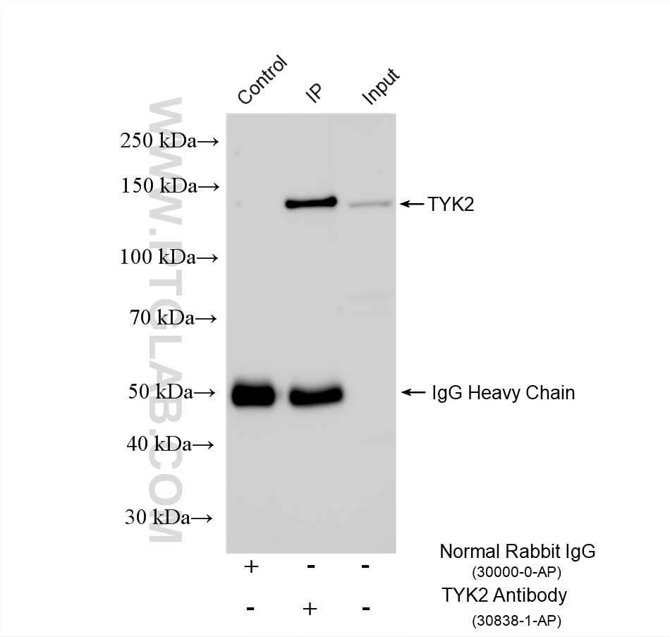
| Positive IP detected in | HepG2 cells |
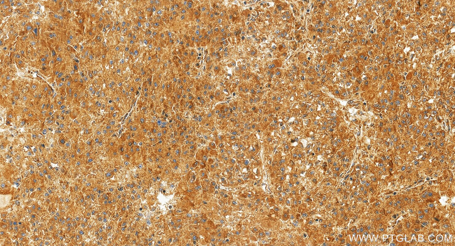
| Positive IHC detected in | Hepatocellular carcinoma tissue Note: suggested antigen retrieval with TE buffer pH 9.0; (*) Alternatively, antigen retrieval may be performed with citrate buffer pH 6.0 |
| Positive IF/ICC detected in | HepG2 cells |
Recommended dilution
| Application | Dilution |
|---|---|
| Western Blot (WB) | WB : 1:1000-1:4000 |
| Immunoprecipitation (IP) | IP : 0.5-4.0 ug for 1.0-3.0 mg of total protein lysate |
| Immunohistochemistry (IHC) | IHC : 1:250-1:1000 |
| Immunofluorescence (IF)/ICC | IF/ICC : 1:50-1:500 |
| It is recommended that this reagent should be titrated in each testing system to obtain optimal results. | |
| Sample-dependent, Check data in validation data gallery. | |
Product Information
30838-1-AP targets TYK2 in WB, IHC, IF/ICC, IP, ELISA applications and shows reactivity with human samples.
| Tested Reactivity | human |
| Host / Isotype | Rabbit / IgG |
| Class | Polyclonal |
| Type | Antibody |
| Immunogen |
CatNo: Ag28457 Product name: Recombinant human TYK2 protein Source: e coli.-derived, PGEX-4T Tag: GST Domain: 114-393 aa of BC014243 Sequence: GMNPREPAVYRCGPPGTEASSDQTAQGMQLLDPASFEYLFEQGKHEFVNDVASLWELSTEEEIHHFKNESLGMAFLHLCHLALRHGIPLEEVAKKTSFKDCIPRSFRRHIRQHSALTRLRLRNVFRRFLRDFQPGRLSQQMVMVKYLATLERLAPRFGTERVPVCHLRLLAQAEGEPCYIRDSGVAPTDPGPESAAGPPTHEVLVTGTGGIQWWPVEEEVNKEEGSSGSSGRNPQASLFGKKAKAHKAVGQPADRPREPLWAYFCDFRDITHVVLKEHCV 相同性解析による交差性が予測される生物種 |
| Full Name | tyrosine kinase 2 |
| Calculated molecular weight | 1187 aa, 134 kDa |
| Observed molecular weight | 134 kDa |
| GenBank accession number | BC014243 |
| Gene Symbol | TYK2 |
| Gene ID (NCBI) | 7297 |
| Conjugate | Unconjugated |
| Form | |
| Form | Liquid |
| Purification Method | Antigen affinity Purification |
| UNIPROT ID | P29597 |
| Storage Buffer | PBS with 0.02% sodium azide and 50% glycerol{{ptg:BufferTemp}}7.3 |
| Storage Conditions | Store at -20°C. Stable for one year after shipment. Aliquoting is unnecessary for -20oC storage. |
Background Information
TYK2 (Tyrosine Kinase 2) is a member of the Janus kinase (JAK) family of non-receptor tyrosine kinases, which play crucial roles in cytokine signaling and immune responses.
Protocols
| Product Specific Protocols | |
|---|---|
| IF protocol for TYK2 antibody 30838-1-AP | Download protocol |
| IHC protocol for TYK2 antibody 30838-1-AP | Download protocol |
| IP protocol for TYK2 antibody 30838-1-AP | Download protocol |
| WB protocol for TYK2 antibody 30838-1-AP | Download protocol |
| Standard Protocols | |
|---|---|
| Click here to view our Standard Protocols |



