Validation Data Gallery
Tested Applications
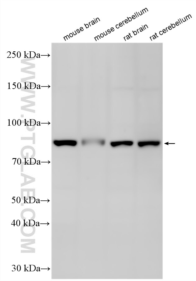
| Positive WB detected in | mouse brain tissue, mouse cerebellum tissue, rat brain tissue, rat cerebellum tissue |
Recommended dilution
| Application | Dilution |
|---|---|
| Western Blot (WB) | WB : 1:1000-1:4000 |
| It is recommended that this reagent should be titrated in each testing system to obtain optimal results. | |
| Sample-dependent, Check data in validation data gallery. | |
Product Information
33811-1-AP targets TRMT1L/C1orf25 in WB, ELISA applications and shows reactivity with human, mouse, rat samples.
| Tested Reactivity | human, mouse, rat |
| Host / Isotype | Rabbit / IgG |
| Class | Polyclonal |
| Type | Antibody |
| Immunogen |
CatNo: Ag36582 Product name: Recombinant human C1orf25 protein Source: e coli.-derived, PET28a Tag: 6*His Domain: 570-733 aa of BC045535 Sequence: TPQSQFSIHASSNVNKQEENGVFIKTTDDTTTDNYIAQGKRKSNEMITNLGKKQKTDVSTEHPPFYYNIHRHSIKGMNMPKLKKFLCYLSQAGFRVSRTHFDPMGVRTDAPLMQFKSILLKYSTPTYTGGQSESHVQSASEDTVTERVEMSVNDKAEASGCRRW 相同性解析による交差性が予測される生物種 |
| Full Name | chromosome 1 open reading frame 25 |
| Observed molecular weight | 81 kDa |
| GenBank accession number | BC045535 |
| Gene Symbol | C1orf25 |
| Gene ID (NCBI) | 81627 |
| Conjugate | Unconjugated |
| Form | |
| Form | Liquid |
| Purification Method | Antigen affinity Purification |
| UNIPROT ID | Q7Z2T5 |
| Storage Buffer | PBS with 0.02% sodium azide and 50% glycerol{{ptg:BufferTemp}}7.3 |
| Storage Conditions | Store at -20°C. Stable for one year after shipment. Aliquoting is unnecessary for -20oC storage. |
Background Information
TRMT1L (tRNA methyltransferase 1-like), formerly known as C1orf25, is a vertebrate paralog of the evolutionarily conserved TRMT1 (tRNA methyltransferase 1). Knockout of TRMT1L in mice resulted in significant motor coordination impairment and abnormal exploratory behavior, indicating that its activity is also related to neural function (PMID: 17198746). Human TRMT1L catalyzes m2 and 2G in tyrosine tRNAs and simultaneously regulates acp3U in tRNAs (PMID: 39786990).
Protocols
| Product Specific Protocols | |
|---|---|
| WB protocol for TRMT1L/C1orf25 antibody 33811-1-AP | Download protocol |
| Standard Protocols | |
|---|---|
| Click here to view our Standard Protocols |
