Validation Data Gallery
Tested Applications
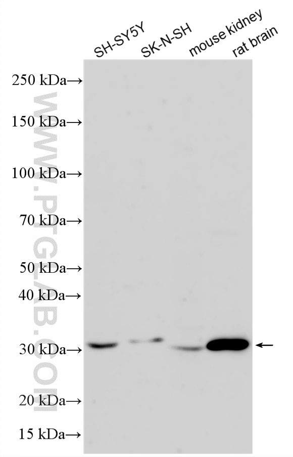
| Positive WB detected in | SH-SY5Y cells, SK-N-SH cells, mouse kidney tissue, rat brain tissue |
Recommended dilution
| Application | Dilution |
|---|---|
| Western Blot (WB) | WB : 1:1000-1:6000 |
| It is recommended that this reagent should be titrated in each testing system to obtain optimal results. | |
| Sample-dependent, Check data in validation data gallery. | |
Product Information
33038-1-AP targets TPRG1L in WB, ELISA applications and shows reactivity with human, mouse, rat samples.
| Tested Reactivity | human, mouse, rat |
| Host / Isotype | Rabbit / IgG |
| Class | Polyclonal |
| Type | Antibody |
| Immunogen |
CatNo: Ag37863 Product name: Recombinant human TPRG1L protein Source: e coli.-derived, PGEX-4T Tag: GST Domain: 1-90 aa of BC019034 Sequence: MLQLRDSVDSAGTSPTAVLAAGEEVGAGGGPGGGRPGAGTPLRQTLWPLSIHDPTRRARVKEYFVFRPGSIEQAVEEIRVVVRPVEDGEI 相同性解析による交差性が予測される生物種 |
| Full Name | tumor protein p63 regulated 1-like |
| Observed molecular weight | 31 kDa |
| GenBank accession number | BC019034 |
| Gene Symbol | TPRG1L |
| Gene ID (NCBI) | 127262 |
| Conjugate | Unconjugated |
| Form | |
| Form | Liquid |
| Purification Method | Antigen affinity Purification |
| UNIPROT ID | Q5T0D9 |
| Storage Buffer | PBS with 0.02% sodium azide and 50% glycerol{{ptg:BufferTemp}}7.3 |
| Storage Conditions | Store at -20°C. Stable for one year after shipment. Aliquoting is unnecessary for -20oC storage. |
Background Information
TPRG1L (Tumor protein p63-regulated gene 1-like protein) belongs to the presynaptic protein involved in the synaptic transmission tuning. It can regulate synaptic release probability by decreasing the calcium sensitivity of release. TPRG1L has two isoforms with molecular weights of 30kd and 23kd respectively.
Protocols
| Product Specific Protocols | |
|---|---|
| WB protocol for TPRG1L antibody 33038-1-AP | Download protocol |
| Standard Protocols | |
|---|---|
| Click here to view our Standard Protocols |
