Validation Data Gallery
Tested Applications
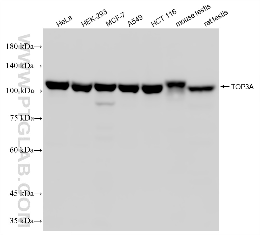
| Positive WB detected in | HeLa cells, HEK-293 cells, MCF-7 cells, A549 cells, HCT 116 cells, mouse testis tissue, rat testis tissue |
Recommended dilution
| Application | Dilution |
|---|---|
| Western Blot (WB) | WB : 1:2000-1:10000 |
| It is recommended that this reagent should be titrated in each testing system to obtain optimal results. | |
| Sample-dependent, Check data in validation data gallery. | |
Product Information
87558-1-RR targets TOP3A in WB, ELISA applications and shows reactivity with human, mouse, rat samples.
| Tested Reactivity | human, mouse, rat |
| Host / Isotype | Rabbit / IgG |
| Class | Recombinant |
| Type | Antibody |
| Immunogen |
CatNo: Ag6010 Product name: Recombinant human TOP3A protein Source: e coli.-derived, PET28a Tag: 6*His Domain: 652-1001 aa of BC051748 Sequence: PEPIRKCPQCNKDMVLKTKKNGGFYLSCMGFPECRSAVWLPDSVLEASRDSSVCPVCQPHPVYRLKLKFKRGSLPPTMPLEFVCCIGGCDDTLREILDLRFSGGPPRASQPSGRLQANQSLNRMDNSQHPQPADSRQTGSSKALAQTLPPPTAAGESNSVTCNCGQEAVLLTVRKEGPNRGRQFFKCNGGSCNFFLWADSPNPGAGGPPALAYRPLGASLGCPPGPGIHLGGFGNPGDGSGSGTSCLCSQPSVTRTVQKDGPNKGRQFHTCAKPREQQCGFFQWVDENTAPGTSGAPSWTGDRGRTLESEARSKRPRASSSDMGSTAKKPRKCSLCHQPGHTRPFCPQNR 相同性解析による交差性が予測される生物種 |
| Full Name | topoisomerase (DNA) III alpha |
| Calculated molecular weight | 1001 aa, 112 kDa |
| Observed molecular weight | 100~110 kDa |
| GenBank accession number | BC051748 |
| Gene Symbol | TOP3A |
| Gene ID (NCBI) | 7156 |
| Conjugate | Unconjugated |
| Form | |
| Form | Liquid |
| Purification Method | Protein A purification |
| UNIPROT ID | Q13472 |
| Storage Buffer | PBS with 0.02% sodium azide and 50% glycerol{{ptg:BufferTemp}}7.3 |
| Storage Conditions | Store at -20°C. Stable for one year after shipment. Aliquoting is unnecessary for -20oC storage. |
Background Information
DNA topoisomerase 3-alpha (TOP3A) is an essential component of the RMI complex, a complex involves in the processing of homologous recombination intermediates to limit DNA crossover formation in cells. It releases the supercoiling and torsional tension of DNA introduced during the DNA replication and transcription by transiently cleaving and rejoining one strand of the DNA duplex. Introduces a single-strand break via transesterification at a target site in duplex DNA. The scissile phosphodiester is attacked by the catalytic tyrosine of the enzyme, resulting in the formation of a DNA-(5'-phosphotyrosyl)-enzyme intermediate and the expulsion of a 3'-OH DNA strand. The free DNA strand than undergoes passage around the unbroken strand thus removing DNA supercoils. Finally, in the religation step, the DNA 3'-OH attacks the covalent intermediate to expel the active-site tyrosine and restore the DNA phosphodiester backbone. This antibody is specific to react with the 110 kDa human TOP3A.
Protocols
| Product Specific Protocols | |
|---|---|
| WB protocol for TOP3A antibody 87558-1-RR | Download protocol |
| Standard Protocols | |
|---|---|
| Click here to view our Standard Protocols |
