Validation Data Gallery
Tested Applications
| Positive WB detected in | HeLa cells, HEK-293 cells, HepG2 cells, Jurkat cells, NIH/3T3 cells, HSC-T6 cells |
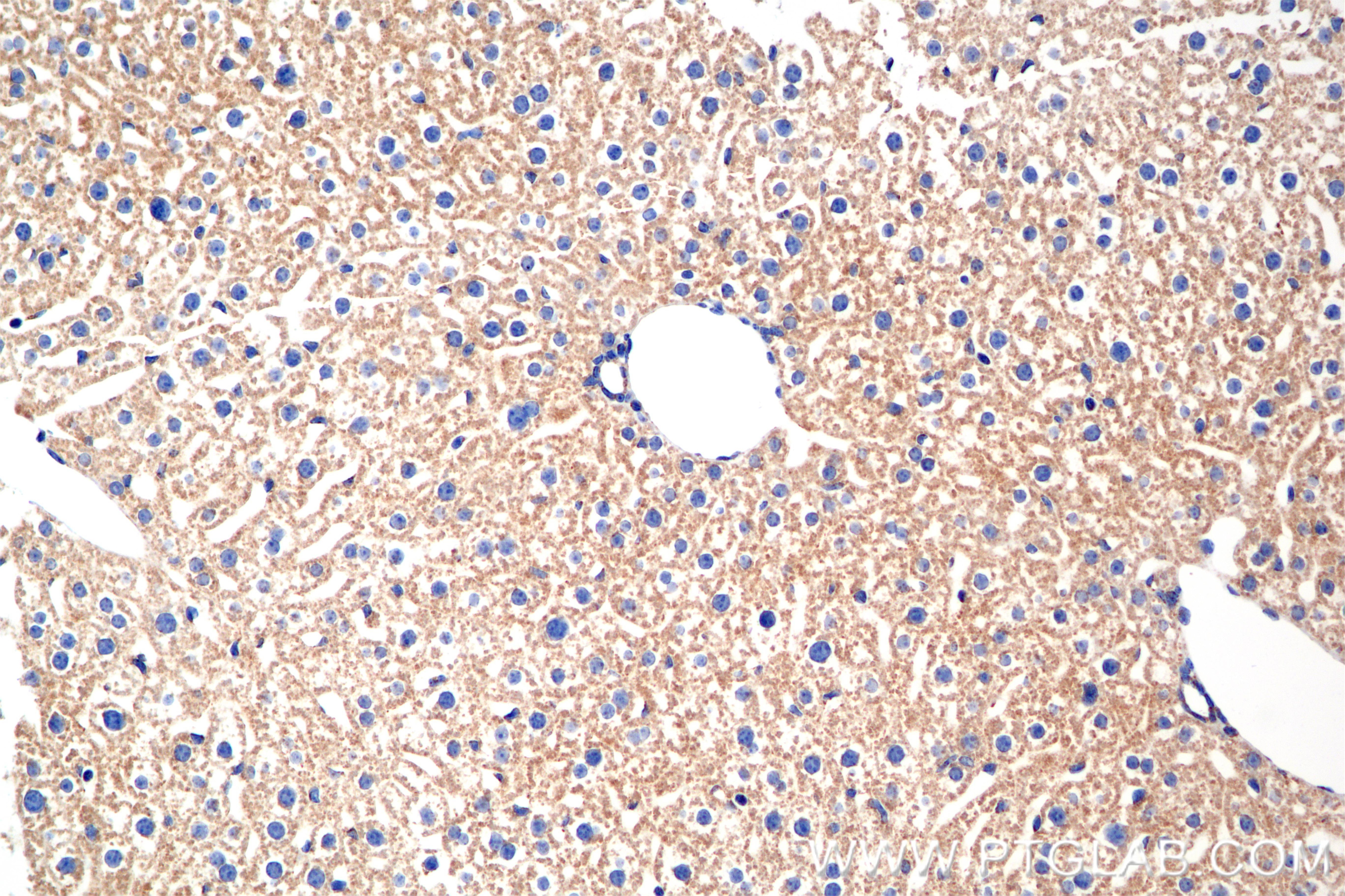
| Positive IHC detected in | mouse liver tissue Note: suggested antigen retrieval with TE buffer pH 9.0; (*) Alternatively, antigen retrieval may be performed with citrate buffer pH 6.0 |
| Positive IF/ICC detected in | HepG2 cells |
Recommended dilution
| Application | Dilution |
|---|---|
| Western Blot (WB) | WB : 1:5000-1:50000 |
| Immunohistochemistry (IHC) | IHC : 1:500-1:2000 |
| Immunofluorescence (IF)/ICC | IF/ICC : 1:500-1:2000 |
| It is recommended that this reagent should be titrated in each testing system to obtain optimal results. | |
| Sample-dependent, Check data in validation data gallery. | |
Product Information
85773-4-RR targets TOMM40 in WB, IHC, IF/ICC, ELISA applications and shows reactivity with human, mouse, rat samples.
| Tested Reactivity | human, mouse, rat |
| Host / Isotype | Rabbit / IgG |
| Class | Recombinant |
| Type | Antibody |
| Immunogen |
CatNo: Ag13065 Product name: Recombinant human TOMM40 protein Source: e coli.-derived, PET28a Tag: 6*His Domain: 1-361 aa of BC017224 Sequence: MGNVLAASSPPAGPPPPPAPALVGLPPPPPSPPGFTLPPLGGSLGAGTSTSRSSERTPGAATASASGAAEDGACGCLPNPGTFEECHRKCKELFPIQMEGVKLTVNKGLSNHFQVNHTVALSTIGESNYHFGVTYVGTKQLSPTEAFPVLVGDMDNSGSLNAQVIHQLGPGLRSKMAIQTQQSKFVNWQVDGEYRGSDFTAAVTLGNPDVLVGSGILVAHYLQSITPCLALGGELVYHRRPGEEGTVMSLAGKYTLNNWLATVTLGQAGMHATYYHKASDQLQVGVEFEASTRMQDTSVSFGYQLDLPKANLLFKGSVDSNWIVGATLEKKLPPLPLTLALGAFLNHRKNKFQCGFGLTIG 相同性解析による交差性が予測される生物種 |
| Full Name | translocase of outer mitochondrial membrane 40 homolog (yeast) |
| Calculated molecular weight | 38 kDa |
| Observed molecular weight | 38 kDa |
| GenBank accession number | BC017224 |
| Gene Symbol | TOMM40 |
| Gene ID (NCBI) | 10452 |
| Conjugate | Unconjugated |
| Form | |
| Form | Liquid |
| Purification Method | Protein A purification |
| UNIPROT ID | O96008 |
| Storage Buffer | PBS with 0.02% sodium azide and 50% glycerol{{ptg:BufferTemp}}7.3 |
| Storage Conditions | Store at -20°C. Stable for one year after shipment. Aliquoting is unnecessary for -20oC storage. |
Background Information
The translocase of outer mitochondria membrane 40 (TOMM40, also known as TOM40), located in the center of the TOM complex, is a channel-forming subunit of translocase. It can facilitate the fluid movement of preproteins into the mitochondria by associating with TOMM20. TOMM40 plays a role in the assembly of the mitochondrial membrane respiratory chain NADH dehydrogenase (Complex I) by forming a complex with BCAP31 and mediating the translocation of Complex I components from the cytosol to the mitochondria (PMID: 31206022). TOMM40 has been reported to be associated with late-onset neurodegenerative diseases such as Alzheimer's disease and Parkinson's disease.
Protocols
| Product Specific Protocols | |
|---|---|
| IF protocol for TOMM40 antibody 85773-4-RR | Download protocol |
| IHC protocol for TOMM40 antibody 85773-4-RR | Download protocol |
| WB protocol for TOMM40 antibody 85773-4-RR | Download protocol |
| Standard Protocols | |
|---|---|
| Click here to view our Standard Protocols |




