Validation Data Gallery
Tested Applications
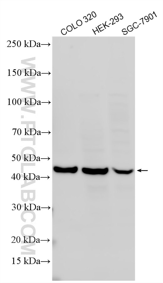
| Positive WB detected in | SGC-7901 cells |
| Positive IHC detected in | human thyroid cancer tissue, mouse testis tissue Note: suggested antigen retrieval with TE buffer pH 9.0; (*) Alternatively, antigen retrieval may be performed with citrate buffer pH 6.0 |
Recommended dilution
| Application | Dilution |
|---|---|
| Western Blot (WB) | WB : 1:200-1:500 |
| Immunohistochemistry (IHC) | IHC : 1:50-1:500 |
| It is recommended that this reagent should be titrated in each testing system to obtain optimal results. | |
| Sample-dependent, Check data in validation data gallery. | |
Published Applications
| IHC | See 1 publications below |
| IF | See 2 publications below |
| FC | See 1 publications below |
Product Information
23899-1-AP targets TNFSF18 in WB, IHC, IF, ELISA applications and shows reactivity with human, mouse samples.
| Tested Reactivity | human, mouse |
| Cited Reactivity | human, mouse, rat |
| Host / Isotype | Rabbit / IgG |
| Class | Polyclonal |
| Type | Antibody |
| Immunogen |
CatNo: Ag20979 Product name: Recombinant human TNFSF18 protein Source: e coli.-derived, PGEX-4T Tag: GST Domain: 1-177 aa of BC069319 Sequence: MCLSHLENMPLSHSRTQGAQRSSWKLWLFCSIVMLLFLCSFSWLIFIFLQLETAKEPCMAKFGPLPSKWQMASSEPPCVNKVSDWKLEILQNGLYLIYGQVAPNANYNDVAPFEVRLYKNKDMIQTLTNKSKIQNVGGTYELHVGDTIDLIFNSEHQVLKNNTYWGIILLANPQFIS 相同性解析による交差性が予測される生物種 |
| Full Name | tumor necrosis factor (ligand) superfamily, member 18 |
| Calculated molecular weight | 177 aa, 20 kDa |
| Observed molecular weight | 44 kDa |
| GenBank accession number | BC069319 |
| Gene Symbol | TNFSF18 |
| Gene ID (NCBI) | 8995 |
| RRID | AB_2879355 |
| Conjugate | Unconjugated |
| Form | |
| Form | Liquid |
| Purification Method | Antigen affinity purification |
| UNIPROT ID | Q9UNG2 |
| Storage Buffer | PBS with 0.02% sodium azide and 50% glycerol{{ptg:BufferTemp}}7.3 |
| Storage Conditions | Store at -20°C. Stable for one year after shipment. Aliquoting is unnecessary for -20oC storage. |
Protocols
| Product Specific Protocols | |
|---|---|
| IHC protocol for TNFSF18 antibody 23899-1-AP | Download protocol |
| WB protocol for TNFSF18 antibody 23899-1-AP | Download protocol |
| Standard Protocols | |
|---|---|
| Click here to view our Standard Protocols |
Publications
| Species | Application | Title |
|---|---|---|
Cell Death Dis GITR/GITRL reverse signalling modulates the proliferation of hepatic progenitor cells by recruiting ANXA2 to phosphorylate ERK1/2 and Akt. | ||
Cell Death Dis GITRL impairs hepatocyte repopulation by liver progenitor cells to aggravate inflammation and fibrosis by GITR+CD8+ T lymphocytes in CDE Mice | ||
Am J Surg Pathol High FCGR2B Expression Can Identify Low-tumor-burden Follicular Lymphoma Patients Who Do Not Require Any Antilymphoma Therapy for a Long Term |







