Validation Data Gallery
Tested Applications
| Positive WB detected in | PMA, LPS and Brefeldin A treated THP-1 cells |
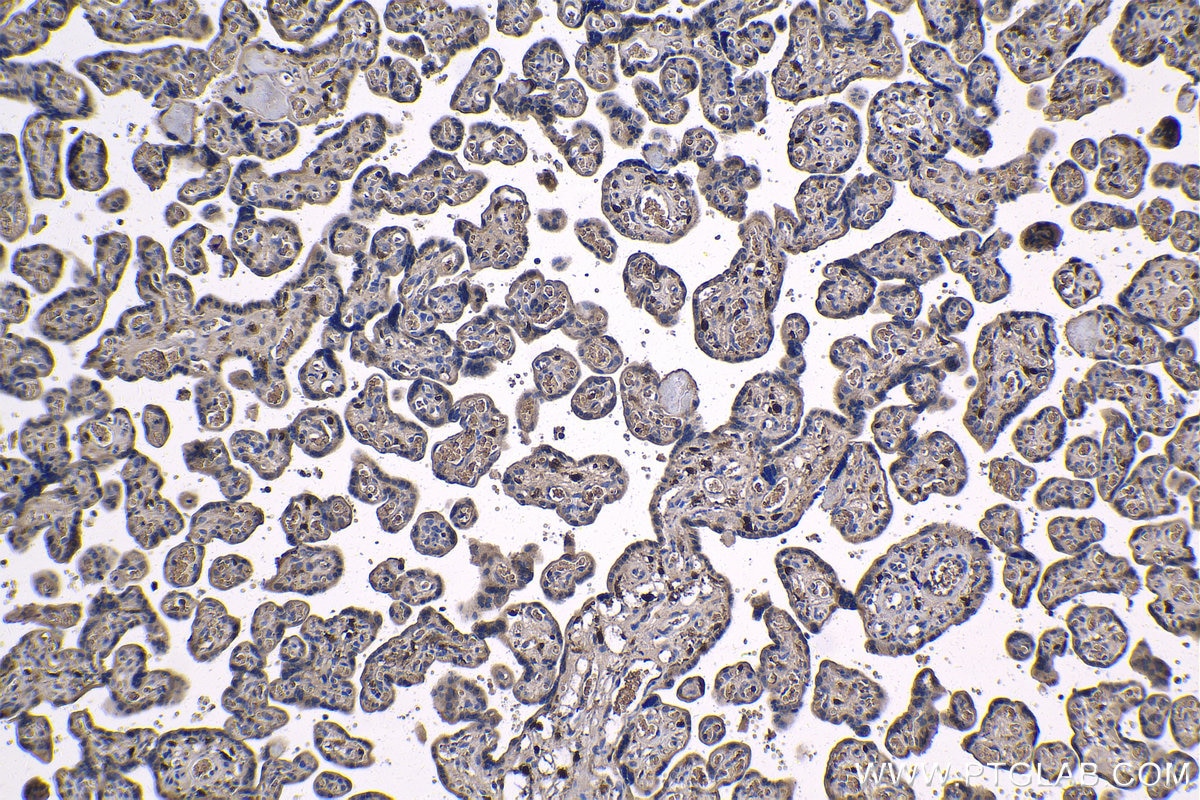
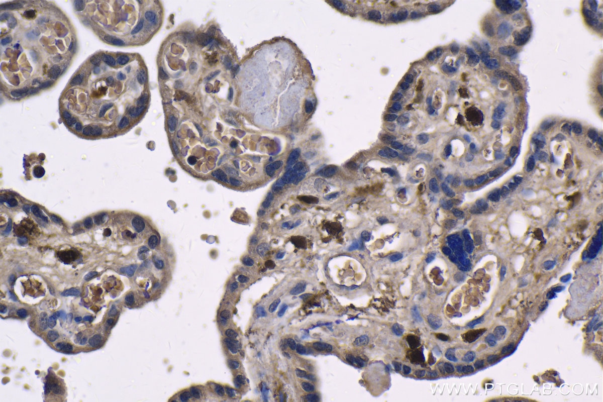
| Positive IHC detected in | human placenta tissue Note: suggested antigen retrieval with TE buffer pH 9.0; (*) Alternatively, antigen retrieval may be performed with citrate buffer pH 6.0 |
Recommended dilution
| Application | Dilution |
|---|---|
| Western Blot (WB) | WB : 1:5000-1:20000 |
| Immunohistochemistry (IHC) | IHC : 1:500-1:2000 |
| It is recommended that this reagent should be titrated in each testing system to obtain optimal results. | |
| Sample-dependent, Check data in validation data gallery. | |
Published Applications
| KD/KO | See 2 publications below |
| WB | See 437 publications below |
| IHC | See 150 publications below |
| IF | See 106 publications below |
| ELISA | See 5 publications below |
| RIP | See 1 publications below |
Product Information
60291-1-Ig targets TNF-alpha in WB, IHC, IF, RIP, ELISA applications and shows reactivity with human, rat samples.
| Tested Reactivity | human, rat |
| Cited Reactivity | human, mouse, rat, pig, rabbit, monkey, chicken, bovine, duck |
| Host / Isotype | Mouse / IgG2b |
| Class | Monoclonal |
| Type | Antibody |
| Immunogen |
CatNo: Ag11413 Product name: Recombinant human TNF-a protein Source: e coli.-derived, PET28a Tag: 6*His Domain: 1-233 aa of BC028148 Sequence: MSTESMIRDVELAEEALPKKTGGPQGSRRCLFLSLFSFLIVAGATTLFCLLHFGVIGPQREEFPRDLSLISPLAQAVRSSSRTPSDKPVAHVVANPQAEGQLQWLNRRANALLANGVELRDNQLVVPSEGLYLIYSQVLFKGQGCPSTHVLLTHTISRIAVSYQTKVNLLSAIKSPCQRETPEGAEAKPWYEPIYLGGVFQLEKGDRLSAEINRPDYLDFAESGQVYFGIIAL 相同性解析による交差性が予測される生物種 |
| Full Name | tumor necrosis factor (TNF superfamily, member 2) |
| Calculated molecular weight | 233 aa, 26 kDa |
| Observed molecular weight | 26 kDa |
| GenBank accession number | BC028148 |
| Gene Symbol | TNF-alpha |
| Gene ID (NCBI) | 7124 |
| ENSEMBL Gene ID | ENSG00000232810 |
| RRID | AB_2833255 |
| Conjugate | Unconjugated |
| Form | |
| Form | Liquid |
| Purification Method | Protein A purification |
| UNIPROT ID | P01375 |
| Storage Buffer | PBS with 0.02% sodium azide and 50% glycerol{{ptg:BufferTemp}}7.3 |
| Storage Conditions | Store at -20°C. Stable for one year after shipment. Aliquoting is unnecessary for -20oC storage. |
Background Information
TNF, as also known as TNF-alpha, or cachectin, is a multifunctional proinflammatory cytokine that belongs to the tumor necrosis factor (TNF) superfamily. It is expressed as a 26 kDa membrane bound protein and is then cleaved by TNF-alpha converting enzyme (TACE) to release the soluble 17 kDa monomer, which forms homotrimers in circulation. It is produced chiefly by activated macrophages, although it can be produced by many other cell types such as CD4+ lymphocytes, NK cells, neutrophils, mast cells, eosinophils, and neurons. It can bind to, and thus functions through its receptors TNFRSF1A/TNFR1 and TNFRSF1B/TNFBR. This cytokine is involved in the regulation of a wide spectrum of biological processes including cell proliferation, differentiation, apoptosis, lipid metabolism, and coagulation. This cytokine has been implicated in a variety of diseases, including autoimmune diseases, INS resistance, and cancer.
Protocols
| Product Specific Protocols | |
|---|---|
| IF protocol for TNF-alpha antibody 60291-1-Ig | Download protocol |
| IHC protocol for TNF-alpha antibody 60291-1-Ig | Download protocol |
| WB protocol for TNF-alpha antibody 60291-1-Ig | Download protocol |
| Standard Protocols | |
|---|---|
| Click here to view our Standard Protocols |
Publications
| Species | Application | Title |
|---|---|---|
Signal Transduct Target Ther Metabolic reprogramming of proinflammatory macrophages by target delivered roburic acid effectively ameliorates rheumatoid arthritis symptoms | ||
Nat Immunol NKILA lncRNA promotes tumor immune evasion by sensitizing T cells to activation-induced cell death. | ||
Blood The hepatocyte-specific HNF4α/miR-122 pathway contributes to iron overload-mediated hepatic inflammation. | ||
ACS Nano Hepatic Stellate Cell- and Liver Microbiome-Specific Delivery System for Dihydrotanshinone I to Ameliorate Liver Fibrosis | ||
Nat Commun Interventional hydrogel microsphere vaccine as an immune amplifier for activated antitumour immunity after ablation therapy | ||
Brain Behav Immun Oxytocin alleviates cognitive and memory impairments by decreasing hippocampal microglial activation and synaptic defects via OXTR/ERK/STAT3 pathway in a mouse model of sepsis-associated encephalopathy |



