Validation Data Gallery
Tested Applications
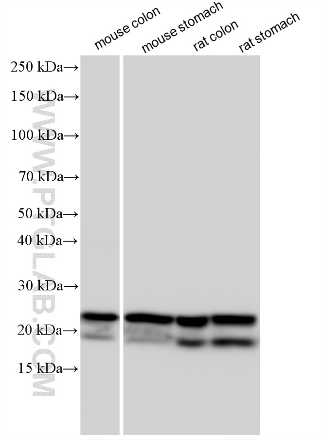
| Positive WB detected in | mouse colon tissue, mouse stomach tissue, rat colon tissue, rat stomach tissue |
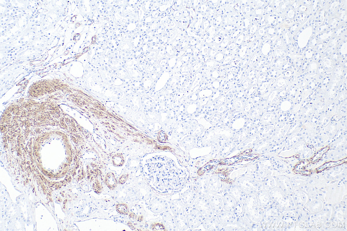
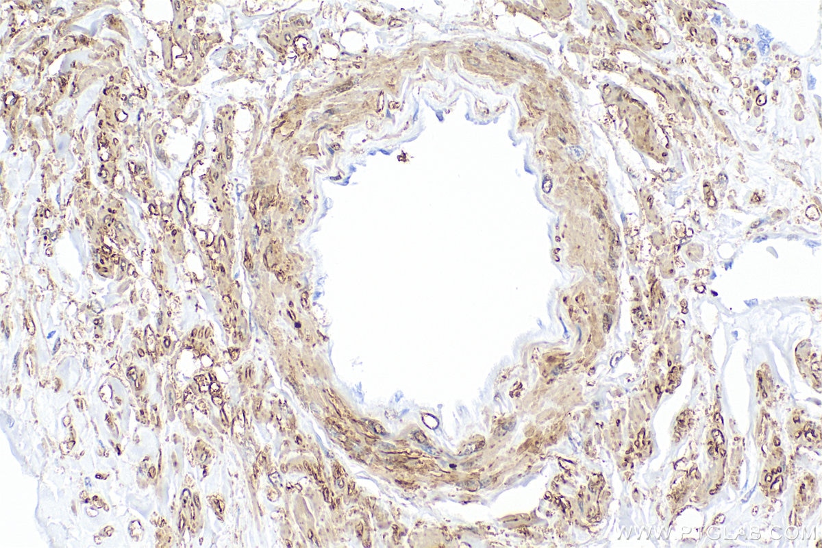
| Positive IHC detected in | mouse heart tissue, human kidney tissue Note: suggested antigen retrieval with TE buffer pH 9.0; (*) Alternatively, antigen retrieval may be performed with citrate buffer pH 6.0 |
| Positive IF-P detected in | mouse heart tissue |
Recommended dilution
| Application | Dilution |
|---|---|
| Western Blot (WB) | WB : 1:20000-1:100000 |
| Immunohistochemistry (IHC) | IHC : 1:2000-1:8000 |
| Immunofluorescence (IF)-P | IF-P : 1:50-1:500 |
| It is recommended that this reagent should be titrated in each testing system to obtain optimal results. | |
| Sample-dependent, Check data in validation data gallery. | |
Product Information
RMX00045 targets TAGLN in WB, IHC, IF-P, ELISA applications and shows reactivity with human, mouse, rat samples.
| Tested Reactivity | human, mouse, rat |
| Host / Isotype | Rabbit / IgG |
| Class | Multi-Recombinant |
| Type | Antibody |
| Immunogen |
Recombinant protein 相同性解析による交差性が予測される生物種 |
| Full Name | transgelin |
| Calculated molecular weight | 22 kDa |
| Observed molecular weight | 19-22 kDa |
| GenBank accession number | BC004927 |
| Gene Symbol | transgelin/SM22 |
| Gene ID (NCBI) | 6876 |
| Conjugate | Unconjugated |
| Form | |
| Form | Liquid |
| Purification Method | N/A |
| UNIPROT ID | Q01995 |
| Storage Buffer | PBS with 0.02% sodium azide and 50% glycerol{{ptg:BufferTemp}} |
| Storage Conditions | Store at -20°C. Stable for one year after shipment. Aliquoting is unnecessary for -20oC storage. |
Background Information
The transgelin family is a protein group belonging to the 22kd actin-related calponin superfamily. Of all three isoforms, transgelin 1 is the best characterized. Transgelin 1, or SM22alpha, is a specific marker for differentiated smooth muscle cells. Transgelin 2, also known as SM22 beta, is expressed by both smooth and non-smooth muscle cells in a temporally and spatially regulated pattern. Trangenlin 3, also known as NP25, is only found in highly differentiated neuronal cells. This antibody can cross-react with other two transgenes based on the sequence similarity.
Protocols
| Product Specific Protocols | |
|---|---|
| IF protocol for TAGLN antibody RMX00045 | Download protocol |
| IHC protocol for TAGLN antibody RMX00045 | Download protocol |
| WB protocol for TAGLN antibody RMX00045 | Download protocol |
| Standard Protocols | |
|---|---|
| Click here to view our Standard Protocols |




