Validation Data Gallery
Tested Applications
| Positive WB detected in | mouse brain tissue, SH-SY5Y cells |
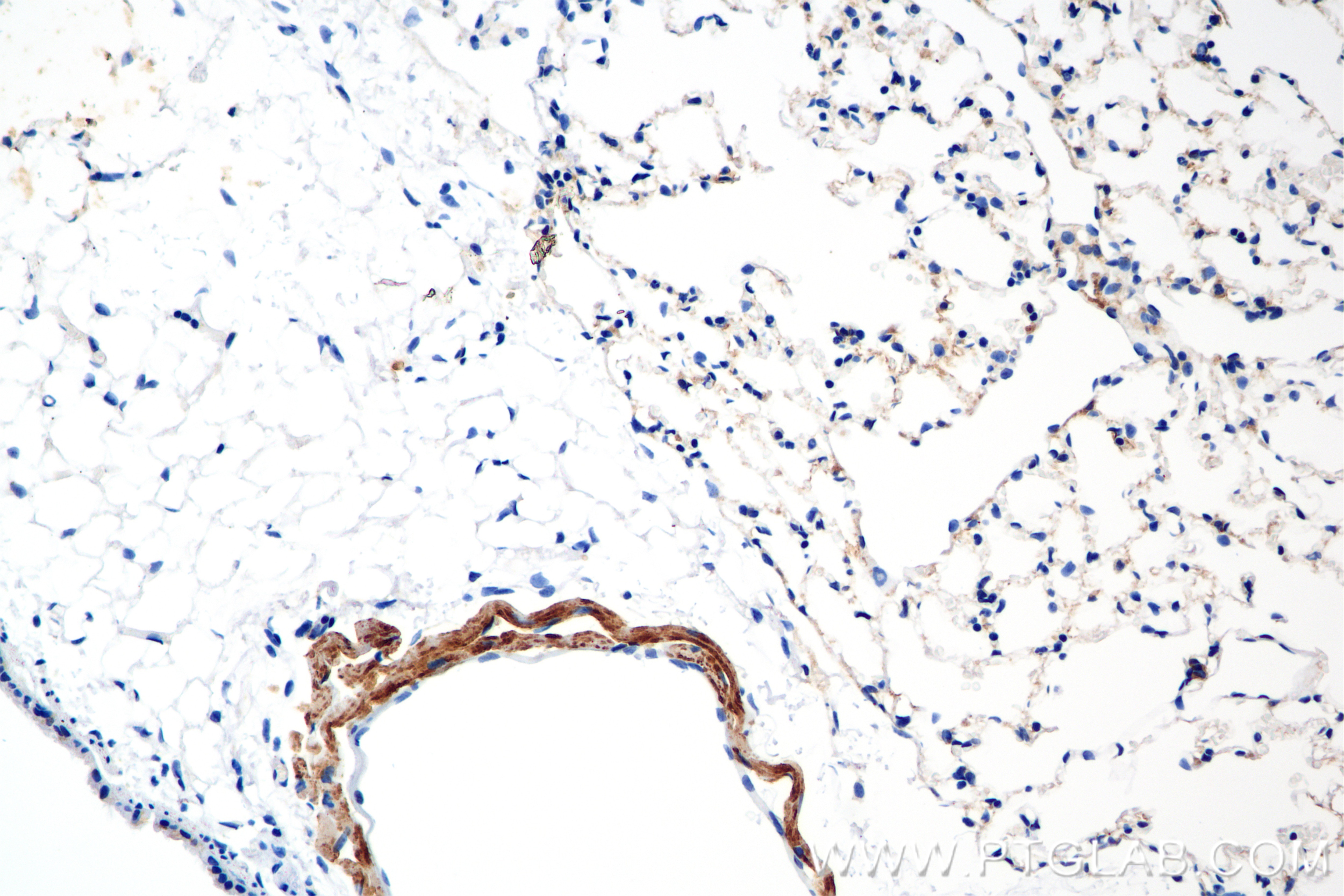
| Positive IHC detected in | mouse lung tissue Note: suggested antigen retrieval with TE buffer pH 9.0; (*) Alternatively, antigen retrieval may be performed with citrate buffer pH 6.0 |
Recommended dilution
| Application | Dilution |
|---|---|
| Western Blot (WB) | WB : 1:1000-1:4000 |
| Immunohistochemistry (IHC) | IHC : 1:50-1:500 |
| It is recommended that this reagent should be titrated in each testing system to obtain optimal results. | |
| Sample-dependent, Check data in validation data gallery. | |
Product Information
84844-3-RR targets Serotonin transporter in WB, IHC, ELISA applications and shows reactivity with human, mouse samples.
| Tested Reactivity | human, mouse |
| Host / Isotype | Rabbit / IgG |
| Class | Recombinant |
| Type | Antibody |
| Immunogen |
Peptide 相同性解析による交差性が予測される生物種 |
| Full Name | solute carrier family 6 (neurotransmitter transporter, serotonin), member 4 |
| Calculated molecular weight | 70 kDa |
| Observed molecular weight | 70 kDa |
| GenBank accession number | NM_001045 |
| Gene Symbol | Serotonin transporter |
| Gene ID (NCBI) | 6532 |
| Conjugate | Unconjugated |
| Form | |
| Form | Liquid |
| Purification Method | Protein A purfication |
| UNIPROT ID | P31645 |
| Storage Buffer | PBS with 0.02% sodium azide and 50% glycerol{{ptg:BufferTemp}}7.3 |
| Storage Conditions | Store at -20°C. Stable for one year after shipment. Aliquoting is unnecessary for -20oC storage. |
Background Information
Serotonin transporter (SERT; SLC6A4) belongs to the sodium- and chloride-dependent monoamine transporter family. SERT is a membrane transporter that terminates the neurotransmission of serotonin, a monoaminergic neurotransmitter, through its reuptake. The SERT uptake mechanism acquires energy for active transport via ATP hydrolysis or movement against electrochemical gradients. As an oligomeric N-glycan, SERT contains disulfide bonds between cysteine residues on the second extracellular domain. Post-translational modifications regulate the uptake kinetics and membrane trafficking of SERT, partly by regulating the proper folding and assembly of SERT in a host-dependent manner (PMID: 30394319).
Protocols
| Product Specific Protocols | |
|---|---|
| IHC protocol for Serotonin transporter antibody 84844-3-RR | Download protocol |
| WB protocol for Serotonin transporter antibody 84844-3-RR | Download protocol |
| Standard Protocols | |
|---|---|
| Click here to view our Standard Protocols |



