Validation Data Gallery
Tested Applications
| Positive WB detected in | SH-SY5Y cells |
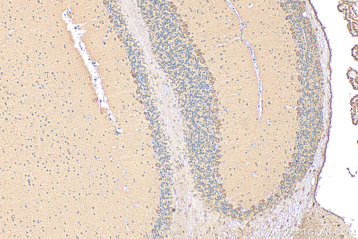
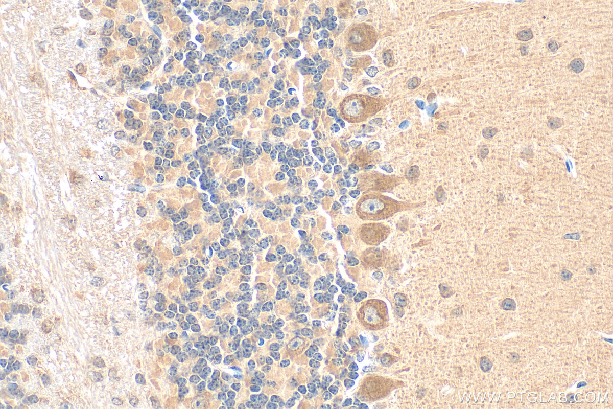
| Positive IHC detected in | mouse brain tissue, mouse cerebellum tissue Note: suggested antigen retrieval with TE buffer pH 9.0; (*) Alternatively, antigen retrieval may be performed with citrate buffer pH 6.0 |
| Positive IF-P detected in | mouse cerebellum tissue |
Recommended dilution
| Application | Dilution |
|---|---|
| Western Blot (WB) | WB : 1:500-1:2000 |
| Immunohistochemistry (IHC) | IHC : 1:50-1:500 |
| Immunofluorescence (IF)-P | IF-P : 1:50-1:500 |
| It is recommended that this reagent should be titrated in each testing system to obtain optimal results. | |
| Sample-dependent, Check data in validation data gallery. | |
Published Applications
| IF | See 1 publications below |
Product Information
19741-1-AP targets SYT7 in WB, IHC, IF-P, ELISA applications and shows reactivity with human, mouse samples.
| Tested Reactivity | human, mouse |
| Cited Reactivity | mouse |
| Host / Isotype | Rabbit / IgG |
| Class | Polyclonal |
| Type | Antibody |
| Immunogen |
Peptide 相同性解析による交差性が予測される生物種 |
| Full Name | synaptotagmin VII |
| Calculated molecular weight | 46 kDa |
| Observed molecular weight | 42-45 kDa |
| GenBank accession number | NM_004200 |
| Gene Symbol | SYT7 |
| Gene ID (NCBI) | 9066 |
| RRID | AB_3085583 |
| Conjugate | Unconjugated |
| Form | |
| Form | Liquid |
| Purification Method | Antigen affinity purification |
| UNIPROT ID | O43581 |
| Storage Buffer | PBS with 0.02% sodium azide and 50% glycerol{{ptg:BufferTemp}}7.3 |
| Storage Conditions | Store at -20°C. Stable for one year after shipment. Aliquoting is unnecessary for -20oC storage. |
Background Information
SYT7, also named as PCANAP7 and IPCA-7, belongs to the synaptotagmin family. SYT7 may be involved in Ca2+-dependent exocytosis of secretory vesicles through Ca2+ and phospholipid binding to the C2 domain or may serve as Ca2+ sensors in the process of vesicular trafficking and exocytosis.
Protocols
| Product Specific Protocols | |
|---|---|
| IF protocol for SYT7 antibody 19741-1-AP | Download protocol |
| IHC protocol for SYT7 antibody 19741-1-AP | Download protocol |
| WB protocol for SYT7 antibody 19741-1-AP | Download protocol |
| Standard Protocols | |
|---|---|
| Click here to view our Standard Protocols |





