Validation Data Gallery
Tested Applications
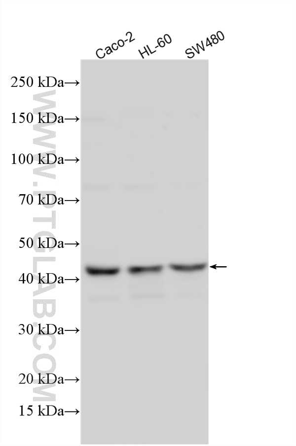
| Positive WB detected in | Caco-2 cells, HL-60 cells, SW480 cells |
Recommended dilution
| Application | Dilution |
|---|---|
| Western Blot (WB) | WB : 1:1000-1:4000 |
| It is recommended that this reagent should be titrated in each testing system to obtain optimal results. | |
| Sample-dependent, Check data in validation data gallery. | |
Product Information
33693-1-AP targets SURF6 in WB, ELISA applications and shows reactivity with human samples.
| Tested Reactivity | human |
| Host / Isotype | Rabbit / IgG |
| Class | Polyclonal |
| Type | Antibody |
| Immunogen |
CatNo: Ag38583 Product name: Recombinant human SURF6 protein Source: e coli.-derived, PET28a Tag: 6*His Domain: 1-300 aa of BC006197 Sequence: MASLLAKDAYLQSLAKKICSHSAPEQQARTRAGKTQGSETAGPPKKKRKKTQKKFRKREEKAAEHKAKSLGEKSPAASGARRPEAAKEEAAWASSSAGNPADGLATEPESVFALDVLRQRLHEKIQEARGQGSAKELSPAALEKRRRRKQERDRKKRKRKELRAKEKARKAEEATEAQEVVEATPEGACTEPREPPGLIFNKVEVSEDEPASKAQRRKEKRQRVKGNLTPLTGRNYRQLLERLQARQSRLDELRGQDEGKAQELEAKMKWTNLLYKAEGVKIRDDERLLQEALKRKEKRR 相同性解析による交差性が予測される生物種 |
| Full Name | surfeit 6 |
| Calculated molecular weight | 361 aa, 41 kDa |
| Observed molecular weight | 42 kDa |
| GenBank accession number | BC006197 |
| Gene Symbol | SURF6 |
| Gene ID (NCBI) | 6838 |
| Conjugate | Unconjugated |
| Form | |
| Form | Liquid |
| Purification Method | Antigen affinity Purification |
| UNIPROT ID | O75683 |
| Storage Buffer | PBS with 0.02% sodium azide and 50% glycerol{{ptg:BufferTemp}}7.3 |
| Storage Conditions | Store at -20°C. Stable for one year after shipment. Aliquoting is unnecessary for -20oC storage. |
Background Information
SURF6 has been described as a nucleolar protein that belongs to an evolutionary conserved protein family, which members are present in fungi, animal and plant kingdoms but are absent in bacteria. The characteristic feature of the SURF6 proteins is the presence of a conservative domain positioned in the carboxyl terminus that has an average residue identity of 36% between different species and is enriched with lysine and arginine residues, which confer its overall basic charge (pI > 10). (PMID: 28873013)
Protocols
| Product Specific Protocols | |
|---|---|
| WB protocol for SURF6 antibody 33693-1-AP | Download protocol |
| Standard Protocols | |
|---|---|
| Click here to view our Standard Protocols |
