Validation Data Gallery
Tested Applications
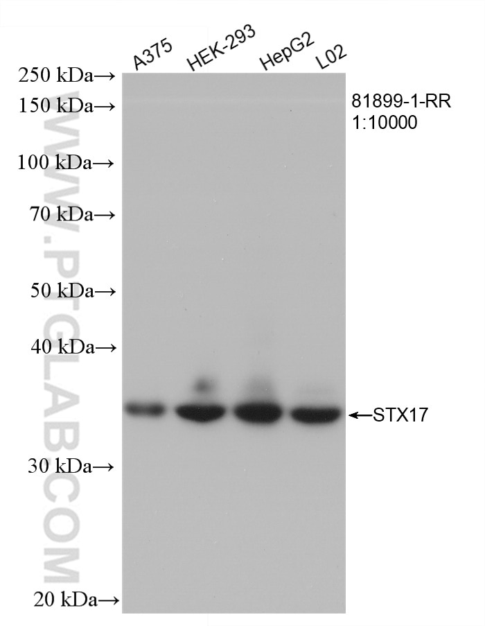
| Positive WB detected in | A375 cells, HepG2 cells, HEK-293 cells, L02 cells |
| Positive IHC detected in | mouse kidney tissue Note: suggested antigen retrieval with TE buffer pH 9.0; (*) Alternatively, antigen retrieval may be performed with citrate buffer pH 6.0 |
| Positive IF/ICC detected in | HepG2 cells |
Recommended dilution
| Application | Dilution |
|---|---|
| Western Blot (WB) | WB : 1:5000-1:50000 |
| Immunohistochemistry (IHC) | IHC : 1:500-1:2000 |
| Immunofluorescence (IF)/ICC | IF/ICC : 1:200-1:800 |
| It is recommended that this reagent should be titrated in each testing system to obtain optimal results. | |
| Sample-dependent, Check data in validation data gallery. | |
Published Applications
| WB | See 1 publications below |
| IHC | See 1 publications below |
Product Information
81899-1-RR targets STX17 in WB, IHC, IF/ICC, ELISA applications and shows reactivity with human, mouse, rat samples.
| Tested Reactivity | human, mouse, rat |
| Cited Reactivity | mouse |
| Host / Isotype | Rabbit / IgG |
| Class | Recombinant |
| Type | Antibody |
| Immunogen |
CatNo: Ag12134 Product name: Recombinant human STX17 protein Source: e coli.-derived, PGEX-4T Tag: GST Domain: 1-216 aa of BC111009 Sequence: MSEDEEKVKLRRLEPAIQKFIKIVIPTDLERLRKHQINIEKYQRCGIWDKLHEEHINAGRTVQQLRSNIREIEKLCLKVRKDDLVLLKRMIDPVKEEASAATAEFLQLHLESVEELKKQFNDEETLLQPPLTRSMTVGGAFHTTEAEASSQSLTQIYALPEIPQDQNAAESWETLEADLIELSQLVTDFSLLVNSQQEKIDSIADHVNSAAVNVEE 相同性解析による交差性が予測される生物種 |
| Full Name | syntaxin 17 |
| Calculated molecular weight | 302 aa, 33 kDa |
| Observed molecular weight | 33-35 kD |
| GenBank accession number | BC111009 |
| Gene Symbol | STX17 |
| Gene ID (NCBI) | 55014 |
| RRID | AB_2935590 |
| Conjugate | Unconjugated |
| Form | |
| Form | Liquid |
| Purification Method | Protein A purification |
| UNIPROT ID | P56962 |
| Storage Buffer | PBS with 0.02% sodium azide and 50% glycerol{{ptg:BufferTemp}}7.3 |
| Storage Conditions | Store at -20°C. Stable for one year after shipment. Aliquoting is unnecessary for -20oC storage. |
Background Information
SNAREs, soluble N-ethylmaleimide-sensitive factor-attachment protein receptors, are essential proteins for the fusion of cellular membranes. Syntaxin 17 (STX17) is a SNARE of the autophagosome involved in autophagy through the direct control of autophagosome membrane fusion with the lysosome membrane. STX17 may also play a role in the early secretory pathway where it may maintain the architecture of the endoplasmic reticulum-Golgi intermediate compartment/ERGIC and Golgi and/or regulate transport between the endoplasmic reticulum, the ERGIC and the Golgi.
Protocols
| Product Specific Protocols | |
|---|---|
| IF protocol for STX17 antibody 81899-1-RR | Download protocol |
| IHC protocol for STX17 antibody 81899-1-RR | Download protocol |
| WB protocol for STX17 antibody 81899-1-RR | Download protocol |
| Standard Protocols | |
|---|---|
| Click here to view our Standard Protocols |
Publications
| Species | Application | Title |
|---|---|---|
FASEB J CD44 Deficiency Induces Combinatory NRF2 Inhibition and Endoplasmic Reticulum Stress-Associated Dyserythropoiesis | ||
Adv Sci (Weinh) Homocysteine Exacerbates Pulmonary Fibrosis via Orchestrating Syntaxin 17 Homocysteinylation of Alveolar Type II Cells |





