Validation Data Gallery
Tested Applications
| Positive WB detected in | K-562 cells, mouse heart tissue |
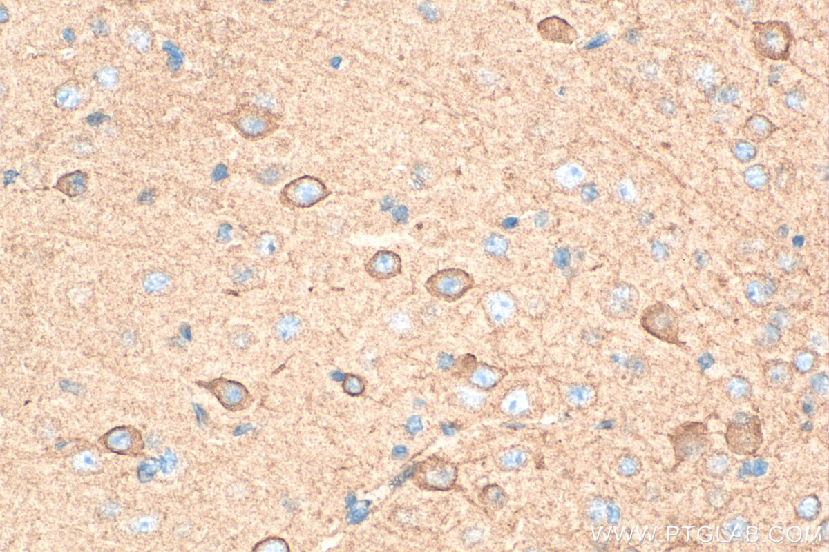
| Positive IHC detected in | mouse brain tissue Note: suggested antigen retrieval with TE buffer pH 9.0; (*) Alternatively, antigen retrieval may be performed with citrate buffer pH 6.0 |
| Positive IF/ICC detected in | U2OS cells |
Recommended dilution
| Application | Dilution |
|---|---|
| Western Blot (WB) | WB : 1:500-1:1000 |
| Immunohistochemistry (IHC) | IHC : 1:50-1:500 |
| Immunofluorescence (IF)/ICC | IF/ICC : 1:200-1:800 |
| It is recommended that this reagent should be titrated in each testing system to obtain optimal results. | |
| Sample-dependent, Check data in validation data gallery. | |
Product Information
26936-1-AP targets SPTB in WB, IHC, IF/ICC, ELISA applications and shows reactivity with human, mouse samples.
| Tested Reactivity | human, mouse |
| Host / Isotype | Rabbit / IgG |
| Class | Polyclonal |
| Type | Antibody |
| Immunogen |
CatNo: Ag25614 Product name: Recombinant human SPTB protein Source: e coli.-derived, PGEX-4T Tag: GST Domain: 1800-1900 aa of BC136284 Sequence: HRYFYTGAEILGLIDEKHRELPEDVGLDASTAESFHRVHTAFERELHLLGVQVQQFQDVATRLQTAYAGEKAEAIQNKEQEVSAAWQALLDACAGRRTQLV 相同性解析による交差性が予測される生物種 |
| Full Name | spectrin, beta, erythrocytic |
| Observed molecular weight | 246 kDa |
| GenBank accession number | BC136284 |
| Gene Symbol | SPTB |
| Gene ID (NCBI) | 6710 |
| RRID | AB_3669575 |
| Conjugate | Unconjugated |
| Form | |
| Form | Liquid |
| Purification Method | Antigen affinity purification |
| UNIPROT ID | P11277 |
| Storage Buffer | PBS with 0.02% sodium azide and 50% glycerol{{ptg:BufferTemp}}7.3 |
| Storage Conditions | Store at -20°C. Stable for one year after shipment. Aliquoting is unnecessary for -20oC storage. |
Background Information
Beta I spectrin also known as SPTB, SPTB1, belongs to the spectrin family. Spectrin is the major constituent of the cytoskeletal network underlying the erythrocyte plasma membrane. It associates with band 4.1 and actin to form the cytoskeletal superstructure of the erythrocyte plasma membrane. Mutations in SPTB have been associated with Elliptocytosis 3, spherocytosis type 2, and neonatal hemolytic anemia(PMID: 8018926, 8102379, 9005995).
Protocols
| Product Specific Protocols | |
|---|---|
| IF protocol for SPTB antibody 26936-1-AP | Download protocol |
| IHC protocol for SPTB antibody 26936-1-AP | Download protocol |
| WB protocol for SPTB antibody 26936-1-AP | Download protocol |
| Standard Protocols | |
|---|---|
| Click here to view our Standard Protocols |


