Validation Data Gallery
Tested Applications
| Positive WB detected in | HeLa cells, HEK-293 cells, HCT 116 cells, HepG2 cells, MCF-7 cells |
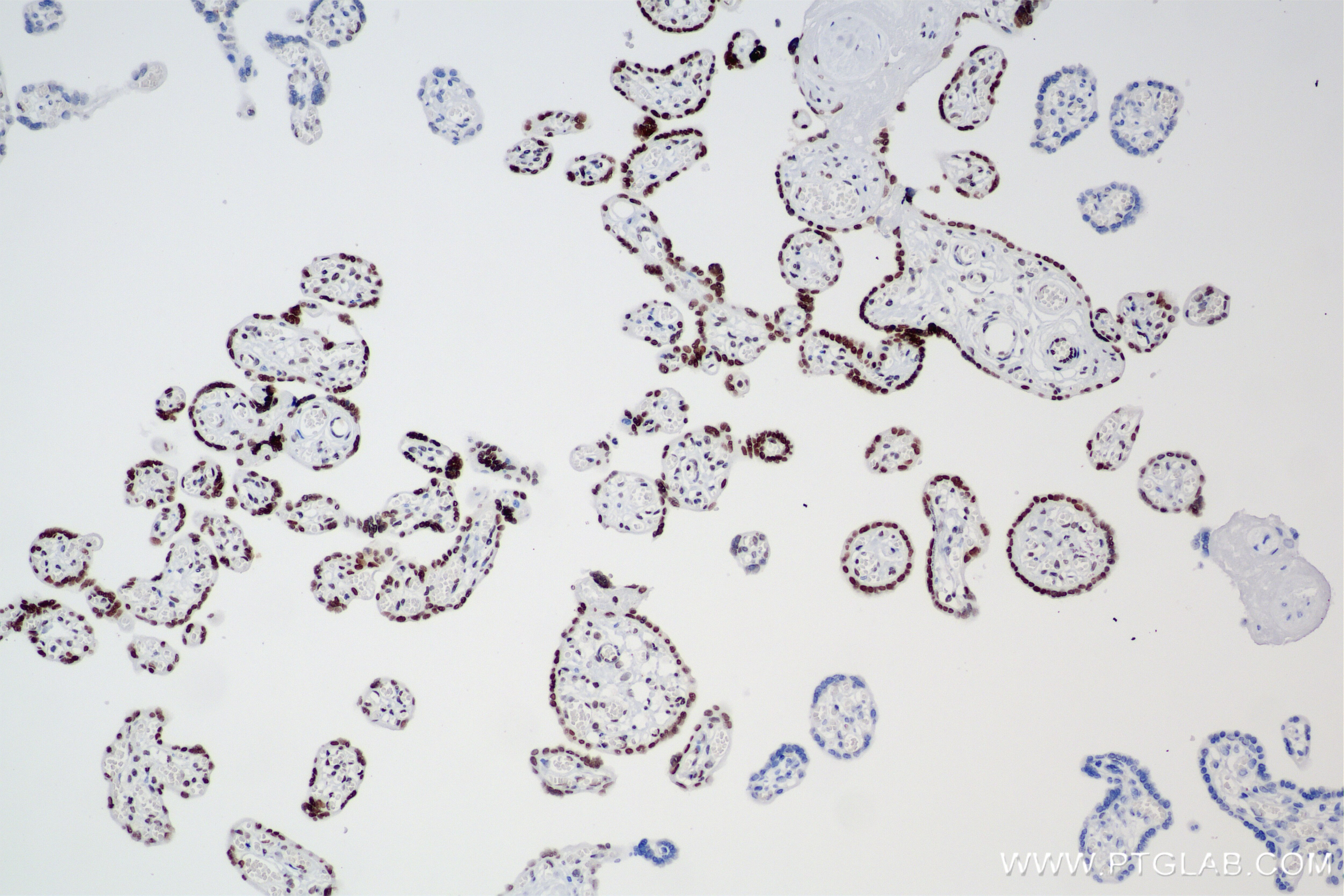
| Positive IHC detected in | human placenta tissue Note: suggested antigen retrieval with TE buffer pH 9.0; (*) Alternatively, antigen retrieval may be performed with citrate buffer pH 6.0 |
| Positive IF/ICC detected in | HeLa cells |
| Positive FC (Intra) detected in | HeLa cells |
Recommended dilution
| Application | Dilution |
|---|---|
| Western Blot (WB) | WB : 1:5000-1:50000 |
| Immunohistochemistry (IHC) | IHC : 1:250-1:1000 |
| Immunofluorescence (IF)/ICC | IF/ICC : 1:250-1:1000 |
| Flow Cytometry (FC) (INTRA) | FC (INTRA) : 0.25 ug per 10^6 cells in a 100 µl suspension |
| It is recommended that this reagent should be titrated in each testing system to obtain optimal results. | |
| Sample-dependent, Check data in validation data gallery. | |
Product Information
85019-3-RR targets SMARCA5 in WB, IHC, IF/ICC, FC (Intra), ELISA applications and shows reactivity with human samples.
| Tested Reactivity | human |
| Host / Isotype | Rabbit / IgG |
| Class | Recombinant |
| Type | Antibody |
| Immunogen |
CatNo: Ag3759 Product name: Recombinant human SMARCA5 protein Source: e coli.-derived, PGEX-4T Tag: GST Domain: 703-1052 aa of BC023144 Sequence: FTMDTESSVYNFEGEDYREKQKIAFTEWIEPPKRERKANYAVDAYFREALRVSEPKAPKAPRPPKQPNVQDFQFFPPRLFELLEKEILFYRKTIGYKVPRNPELPNAAQAQKEEQLKIDEAESLNDEELEEKEKLLTQGFTNWNKRDFNQFIKANEKWGRDDIENIAREVEGKTPEEVIEYSAVFWERCNELQDIEKIMAQIERGEARIQRRISIKKALDTKIGRYKAPFHQLRISYGTNKGKNYTEEEDRFLICMLHKLGFDKENVYDELRQCIRNSPQFRFDWFLKSRTAMELQRRCNTLITLIERENMELEEKEKAEKKKRGPKPSTQKRKMDGAPDGRGRKKKLKL 相同性解析による交差性が予測される生物種 |
| Full Name | SWI/SNF related, matrix associated, actin dependent regulator of chromatin, subfamily a, member 5 |
| Calculated molecular weight | 1052 aa, 122 kDa |
| Observed molecular weight | 135 kDa |
| GenBank accession number | BC023144 |
| Gene Symbol | SMARCA5 |
| Gene ID (NCBI) | 8467 |
| Conjugate | Unconjugated |
| Form | |
| Form | Liquid |
| Purification Method | Protein A purification |
| UNIPROT ID | O60264 |
| Storage Buffer | PBS with 0.02% sodium azide and 50% glycerol{{ptg:BufferTemp}}7.3 |
| Storage Conditions | Store at -20°C. Stable for one year after shipment. Aliquoting is unnecessary for -20oC storage. |
Background Information
SMARCA5, also named as SNF2H or WCRF135, is a 1052 amino acid protein, which localizes in nucleus and is overexpressed in CD34-positive erythrocyte progenitor cells in acute myeloid leukemia. SMARCA5 is one of the most conserved chromatin remodeling factors. It exists in a variety of oligosubunit complexes that move DNA with respect to the histone octamer to generate regularly spaced nucleosomal arrays. Smarca5 interacts with different accessory proteins and represents a molecular motor for DNA replication, repair, and transcription.
Protocols
| Product Specific Protocols | |
|---|---|
| FC protocol for SMARCA5 antibody 85019-3-RR | Download protocol |
| IF protocol for SMARCA5 antibody 85019-3-RR | Download protocol |
| IHC protocol for SMARCA5 antibody 85019-3-RR | Download protocol |
| WB protocol for SMARCA5 antibody 85019-3-RR | Download protocol |
| Standard Protocols | |
|---|---|
| Click here to view our Standard Protocols |





