Validation Data Gallery
Tested Applications
Recommended dilution
| Application | Dilution |
|---|---|
| It is recommended that this reagent should be titrated in each testing system to obtain optimal results. | |
Product Information
87035-1-PBS targets SMAD3 as part of a matched antibody pair:
MP02853-2: 87035-4-PBS capture and 87035-1-PBS detection (validated in Sandwich ELISA)
Unconjugated rabbit recombinant monoclonal antibody in PBS only (BSA and azide free) storage buffer at a concentration of 1 mg/mL, ready for conjugation. Created using Proteintech’s proprietary in-house recombinant technology. Recombinant production enables unrivalled batch-to-batch consistency, easy scale-up, and future security of supply.
This conjugation ready format makes antibodies ideal for use in many applications including: ELISAs, multiplex assays requiring matched pairs, mass cytometry, and multiplex imaging applications.Antibody use should be optimized by the end user for each application and assay.
| Tested Reactivity | human, mouse, rat |
| Host / Isotype | Rabbit / IgG |
| Class | Recombinant |
| Type | Antibody |
| Immunogen |
CatNo: Ag32623 Product name: Recombinant human SMAD3 protein Source: e coli.-derived, PGEX-4T Tag: GST Domain: 145-260 aa of NM_005902 Sequence: EIPAEFPPLDDYSHSIPENTNFPAGIEPQSNIPETPPPGYLSEDGETSDHQMNHSMDAGSPNLSPNPMSPAHNNLDLQPVTYCEPAFWCSISYYELNQRVGETFHASQPSMTVDGF 相同性解析による交差性が予測される生物種 |
| Full Name | SMAD family member 3 |
| Calculated molecular weight | 48 kDa |
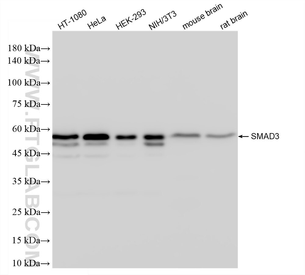
| Observed molecular weight | 52 kDa |
| GenBank accession number | NM_005902 |
| Gene Symbol | SMAD3 |
| Gene ID (NCBI) | 4088 |
| Conjugate | Unconjugated |
| Form | |
| Form | Liquid |
| Purification Method | Protein A purification |
| UNIPROT ID | P84022 |
| Storage Buffer | PBS only{{ptg:BufferTemp}}7.3 |
| Storage Conditions | Store at -80°C. |
Background Information
SMAD3, also named as hMAD 3 or Mad3, is a 425 amino acid protein, which contains one MH1 domain and one MH2 domain. SMAD3 localizes in the nucleus and cytoplasm. SMAD3 plays an essential role in development and maintenance of self-tolerance and is a critical mediator of the TGFB signaling pathway. SMAD3 is involved in TGFB dependent regulation of steroidogenesis and in T-cell response to TGFB.






