Validation Data Gallery
Tested Applications
| Positive WB detected in | HeLa cells, HepG2 cells, HEK-293 cells, HUVEC cells, HT-1080 cells, RAW264.7 cells, HSC-T6 cells |
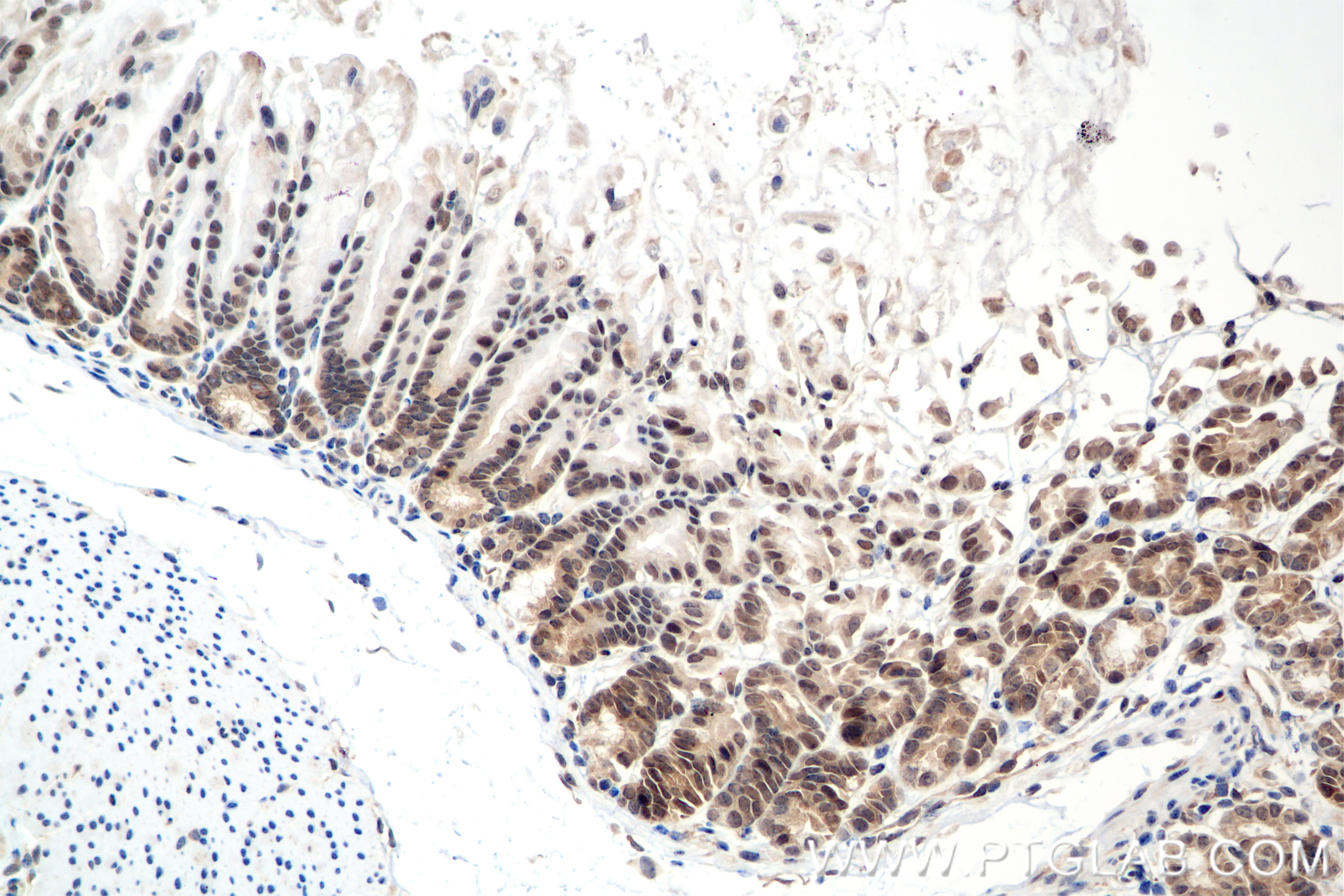
| Positive IHC detected in | mouse stomach tissue Note: suggested antigen retrieval with TE buffer pH 9.0; (*) Alternatively, antigen retrieval may be performed with citrate buffer pH 6.0 |
| Positive FC (Intra) detected in | HeLa cells |
| Positive ChIP-qPCR detected in | BMP2 (50 ng/ml, 1 h) MCF-7 cells |
Recommended dilution
| Application | Dilution |
|---|---|
| Western Blot (WB) | WB : 1:5000-1:50000 |
| Immunohistochemistry (IHC) | IHC : 1:250-1:1000 |
| Flow Cytometry (FC) (INTRA) | FC (INTRA) : 0.25 ug per 10^6 cells in a 100 µl suspension |
| CHIP-QPCR | CHIP-QPCR : 1:10-1:100 |
| It is recommended that this reagent should be titrated in each testing system to obtain optimal results. | |
| Sample-dependent, Check data in validation data gallery. | |
Product Information
85388-1-RR targets SMAD1 in WB, IHC, FC (Intra), ELISA, ChIP-qPCR applications and shows reactivity with human, mouse, rat samples.
| Tested Reactivity | human, mouse, rat |
| Host / Isotype | Rabbit / IgG |
| Class | Recombinant |
| Type | Antibody |
| Immunogen |
CatNo: Ag0701 Product name: Recombinant human SMAD1 protein Source: e coli.-derived, PGEX-4T Tag: GST Domain: 19-229 aa of BC001878 Sequence: GWKQGDEEEKWAEKAVDALVKKLKKKKGAMEELEKALSCPGQPSNCVTIPRSLDGRLQVSHRKGLPHVIYCRVWRWPDLQSHHELKPLECCEFPFGSKQKEVCINPYHYKRVESPVLPPVLVPRHSEYNPQHSLLAQFRNLGQNEPHMPLNATFPDSFQQPNSHPFPHSPNSSYPNSPGSSSSTYPHSPTSSDPGSPFQMPADTPPPAYLP 相同性解析による交差性が予測される生物種 |
| Full Name | SMAD family member 1 |
| Calculated molecular weight | 52 kDa |
| Observed molecular weight | 55 kDa |
| GenBank accession number | BC001878 |
| Gene Symbol | SMAD1 |
| Gene ID (NCBI) | 4086 |
| Conjugate | Unconjugated |
| Form | |
| Form | Liquid |
| Purification Method | Protein A purification |
| UNIPROT ID | Q15797 |
| Storage Buffer | PBS with 0.02% sodium azide and 50% glycerol{{ptg:BufferTemp}}7.3 |
| Storage Conditions | Store at -20°C. Stable for one year after shipment. Aliquoting is unnecessary for -20oC storage. |
Background Information
Transforming growth factor-β (TGF-β) superfamily is recognized as one of the largest families of secreted multifunctional peptides exerting different biological effects on a large variety of cell types, such as regulation of hormone secretion, stimulation of extracellular matrix formation, the inhibition of proliferation of many cell types, cell survival, bone formation, and chemotaxis for inflammatory cells. One of the most important proteins that modulate TGF-β ligand activity is the SMAD family proteins. SMAD1 is one of the receptor-activated Smads. It's also a signal transducers of BMP signaling and binds to several proteins involved in ubiquitin-proteasome system (UPS). Transcriptional modulator activated by BMP (bone morphogenetic proteins) type 1 receptor kinase.
Protocols
| Product Specific Protocols | |
|---|---|
| FC protocol for SMAD1 antibody 85388-1-RR | Download protocol |
| IHC protocol for SMAD1 antibody 85388-1-RR | Download protocol |
| WB protocol for SMAD1 antibody 85388-1-RR | Download protocol |
| Standard Protocols | |
|---|---|
| Click here to view our Standard Protocols |




