Validation Data Gallery
Tested Applications
| Positive WB detected in | unboiled mouse brain tissue |
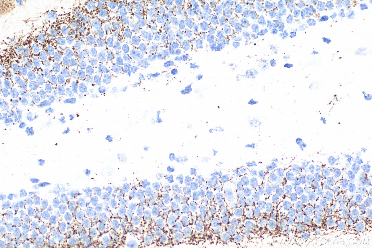
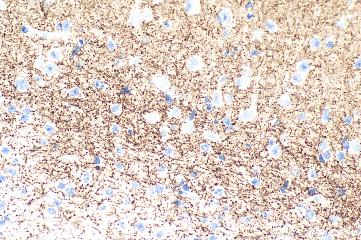
| Positive IHC detected in | mouse brain tissue Note: suggested antigen retrieval with TE buffer pH 9.0; (*) Alternatively, antigen retrieval may be performed with citrate buffer pH 6.0 |
| Positive IF-Fro detected in | mouse brain tissue |
Recommended dilution
| Application | Dilution |
|---|---|
| Western Blot (WB) | WB : 1:5000-1:50000 |
| Immunohistochemistry (IHC) | IHC : 1:1000-1:4000 |
| Immunofluorescence (IF)-FRO | IF-FRO : 1:200-1:800 |
| It is recommended that this reagent should be titrated in each testing system to obtain optimal results. | |
| Sample-dependent, Check data in validation data gallery. | |
Product Information
84083-2-RR targets VGLUT2 in WB, IHC, IF-Fro, ELISA applications and shows reactivity with human, mouse samples.
| Tested Reactivity | human, mouse |
| Host / Isotype | Rabbit / IgG |
| Class | Recombinant |
| Type | Antibody |
| Immunogen |
CatNo: Ag29565 Product name: Recombinant human SLC17A6 protein Source: e coli.-derived, PGEX-4T Tag: GST Domain: 499-582 aa of NM_020346 Sequence: SGEKQPWADPEETSEEKCGFIHEDELDEETGDITQNYINYGTTKSYGATTQANGGWPSGWEKKEEFVQGEVQDSHSYKDRVDYS 相同性解析による交差性が予測される生物種 |
| Full Name | solute carrier family 17 (sodium-dependent inorganic phosphate cotransporter), member 6 |
| Calculated molecular weight | 64 kDa |
| Observed molecular weight | 60 kDa |
| GenBank accession number | NM_020346 |
| Gene Symbol | VGLUT2 |
| Gene ID (NCBI) | 57084 |
| RRID | AB_3671651 |
| Conjugate | Unconjugated |
| Form | |
| Form | Liquid |
| Purification Method | Protein A purification |
| UNIPROT ID | Q9P2U8 |
| Storage Buffer | PBS with 0.02% sodium azide and 50% glycerol{{ptg:BufferTemp}}7.3 |
| Storage Conditions | Store at -20°C. Stable for one year after shipment. Aliquoting is unnecessary for -20oC storage. |
Background Information
VGLUT2, also known as SLC17A6, belongs to the major facilitator superfamily. VGLUT2 is a multifunctional transporter that transports phosphate at the plasma membrane and glutamate in synaptic vesicles (PMID:33440152, 11432869). VGLUT2 is involved in neurotransmitter loading into synaptic vesicles (PMID: 11698620). VGLUT2 is predominantly expressed in adult and fetal brain, with highest expression in the medulla, substantia nigra, subthalamic nucleus, and thalamus, and low levels in the cerebellum and hippocampus (PMID:10820226).
Protocols
| Product Specific Protocols | |
|---|---|
| IF protocol for VGLUT2 antibody 84083-2-RR | Download protocol |
| IHC protocol for VGLUT2 antibody 84083-2-RR | Download protocol |
| WB protocol for VGLUT2 antibody 84083-2-RR | Download protocol |
| Standard Protocols | |
|---|---|
| Click here to view our Standard Protocols |






