Validation Data Gallery
Tested Applications
| Positive WB detected in | mouse brain tissue, A549 cells, C6 cells, MCF-7 cells, rat heart tissue, mouse kidney tissue, rat brain tissue, rat kidney tissue |
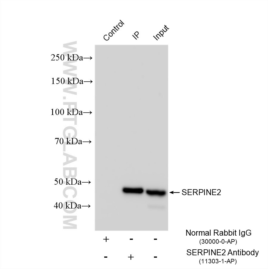
| Positive IP detected in | A549 cells |
| Positive IHC detected in | mouse brain tissue, human pancreas cancer tissue Note: suggested antigen retrieval with TE buffer pH 9.0; (*) Alternatively, antigen retrieval may be performed with citrate buffer pH 6.0 |
| Positive IF-P detected in | human testis tissue, mouse testis tissue |
Recommended dilution
| Application | Dilution |
|---|---|
| Western Blot (WB) | WB : 1:5000-1:50000 |
| Immunoprecipitation (IP) | IP : 0.5-4.0 ug for 1.0-3.0 mg of total protein lysate |
| Immunohistochemistry (IHC) | IHC : 1:200-1:800 |
| Immunofluorescence (IF)-P | IF-P : 1:50-1:500 |
| It is recommended that this reagent should be titrated in each testing system to obtain optimal results. | |
| Sample-dependent, Check data in validation data gallery. | |
Published Applications
| KD/KO | See 3 publications below |
| WB | See 6 publications below |
| IHC | See 4 publications below |
| IF | See 4 publications below |
| IP | See 3 publications below |
Product Information
11303-1-AP targets SERPINE2 in WB, IHC, IF-P, IP, ELISA applications and shows reactivity with human, mouse, rat samples.
| Tested Reactivity | human, mouse, rat |
| Cited Reactivity | human, mouse, rat |
| Host / Isotype | Rabbit / IgG |
| Class | Polyclonal |
| Type | Antibody |
| Immunogen |
CatNo: Ag1830 Product name: Recombinant human SERPINE2 protein Source: e coli.-derived, PGEX-4T Tag: GST Domain: 28-397 aa of BC015663 Sequence: EELGSNTGIQVFNQIVKSRPHDNIVISPHGIASVLGMLQLGADGRTKKQLAMVMRYGVNGVGKILKKINKAIVSKKNKDIVTVANAVFVKNASEIEVPFVTRNKDVFQCEVRNVNFEDPASACDSINAWVKNETRDMIDNLLSPDLIDGVLTRLVLVNAVYFKGLWKSRFQPENTKKRTFVAADGKSYQVPMLAQLSVFRCGSTSAPNDLWYNFIELPYHGESISMLIALPTESSTPLSAIIPHISTKTIDSWMSIMVPKRVQVILPKFTAVAQTDLKEPLKVLGITDMFDSSKANFAKITTGSENLHVSHILQKAKIEVSEDGTKASAATTAILIARSSPPWFIVDRPFLFFIRHNPTGAVLFMGQINK 相同性解析による交差性が予測される生物種 |
| Full Name | serpin peptidase inhibitor, clade E (nexin, plasminogen activator inhibitor type 1), member 2 |
| Calculated molecular weight | 44 kDa |
| Observed molecular weight | 44-50 kDa |
| GenBank accession number | BC015663 |
| Gene Symbol | SERPINE2 |
| Gene ID (NCBI) | 5270 |
| RRID | AB_10732939 |
| Conjugate | Unconjugated |
| Form | |
| Form | Liquid |
| Purification Method | Antigen affinity purification |
| UNIPROT ID | P07093 |
| Storage Buffer | PBS with 0.02% sodium azide and 50% glycerol{{ptg:BufferTemp}}7.3 |
| Storage Conditions | Store at -20°C. Stable for one year after shipment. Aliquoting is unnecessary for -20oC storage. |
Background Information
SERPINE2 also called protease nexin-1 or glial-derived neurite promoting factor, is a member of the serine protease inhibitor (SERPIN) superfamily. It would be a potent inhibitor of the urokinase-plasminogen activator (uPA), tissue-type PA (tPA), thrombin, trypsin, factor Xia, and prostasin. SERPINE2 is widely expressed in various tissues, including endothelial cells, fibroblasts, smooth muscle cells, tumor cells, glial cells, neurons, and placental cells.
Protocols
| Product Specific Protocols | |
|---|---|
| IF protocol for SERPINE2 antibody 11303-1-AP | Download protocol |
| IHC protocol for SERPINE2 antibody 11303-1-AP | Download protocol |
| IP protocol for SERPINE2 antibody 11303-1-AP | Download protocol |
| WB protocol for SERPINE2 antibody 11303-1-AP | Download protocol |
| Standard Protocols | |
|---|---|
| Click here to view our Standard Protocols |
Publications
| Species | Application | Title |
|---|---|---|
Adv Sci (Weinh) Bone Marrow Mesenchymal Stem Cell-Derived Dermcidin-Containing Migrasomes enhance LC3-Associated Phagocytosis of Pulmonary Macrophages and Protect against Post-Stroke Pneumonia | ||
Cancer Lett SERPINE2/PN-1 regulates the DNA damage response and radioresistance by activating ATM in lung cancer.
| ||
Respir Res High expression level of serpin peptidase inhibitor clade E member 2 is associated with poor prognosis in lung adenocarcinoma.
| ||
J Cereb Blood Flow Metab Agomelatine promotes differentiation of oligodendrocyte precursor cells and preserves white matter integrity after cerebral ischemic stroke | ||
J Immunol Deep Coverage Tissue and Cellular Proteomics Revealed IL-1β Can Independently Induce the Secretion of TNF-Associated Proteins from Human Synoviocytes. | ||
Front Cell Dev Biol BAP31 Promotes Tumor Cell Proliferation by Stabilizing SERPINE2 in Hepatocellular Carcinoma. |











