Validation Data Gallery
Tested Applications
Recommended dilution
| Application | Dilution |
|---|---|
| It is recommended that this reagent should be titrated in each testing system to obtain optimal results. | |
Product Information
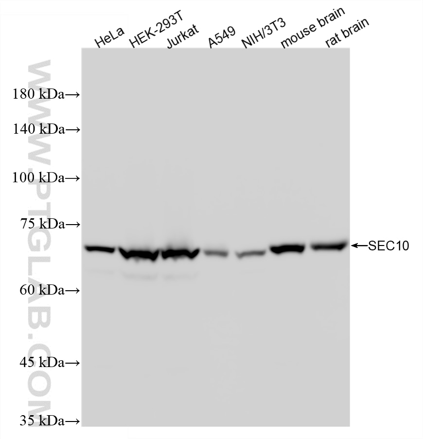
87198-1-PBS targets SEC10/EXOC5 in WB, Indirect ELISA applications and shows reactivity with human, mouse, rat samples.
| Tested Reactivity | human, mouse, rat |
| Host / Isotype | Rabbit / IgG |
| Class | Recombinant |
| Type | Antibody |
| Immunogen |
CatNo: Ag11524 Product name: Recombinant human SEC10 protein Source: e coli.-derived, PGEX-4T Tag: GST Domain: 359-708 aa of BC041126 Sequence: SRSAMILQRYYDSKNHQKRSIGTGGIQDLKERIRQRTNLPLGPSIDTHGETFLSQEVVVNLLQETKQAFERCHRLSDPSDLPRNAFRIFTILVEFLCIEHIDYALETGLAGIPSSDSRNANLYFLDVVQQANTIFHLFDKQFNDHLMPLISSSPKLSECLQKKKEIIEQMEMKLDTGIDRTLNCMIRQMKHILAAEQKKTDFKPEDENNVLIQYTNACVKVCAYVRKQVEKIKNSMDGKNVDTVLMELGVRFHRLIYEHLQQYSYSCMGGMLAICDVAEYRKCAKDFKIPMVLHLFDTLHALCNLLVVAPDNLKQVCSGEQLANLDKNILHSFVQLRADYRSARLARHFS 相同性解析による交差性が予測される生物種 |
| Full Name | exocyst complex component 5 |
| Calculated molecular weight | 708 aa, 82 kDa |
| Observed molecular weight | 70-77 kDa |
| GenBank accession number | BC041126 |
| Gene Symbol | EXOC5 |
| Gene ID (NCBI) | 10640 |
| Conjugate | Unconjugated |
| Form | |
| Form | Liquid |
| Purification Method | Protein A purification |
| UNIPROT ID | O00471 |
| Storage Buffer | PBS only{{ptg:BufferTemp}}7.3 |
| Storage Conditions | Store at -80°C. |
Background Information
The exocyst complex, composed of eight evolutionarily conserved subunits (SEC3, SEC5, SEC6, SEC8, SEC10, SEC15, EXO70, and EXO84), is essential for targeting exocytic vesicles to specific docking sites on the plasma membrane. The complex is also essential for the biogenesis of epithelial cell surface polarity. SEC10, as a central component of the eight-protein exocyst complex, plays a crucial role in exocytosis.

